症例詳細
Case detail
前歯が磨きにくい 目立たないワイヤー装置による矯正治療
治療症例の内容
- 診療科目
- 担当医
- 藤巻太一朗(ドクタープロフィール)
- 患者様
- 20代女性
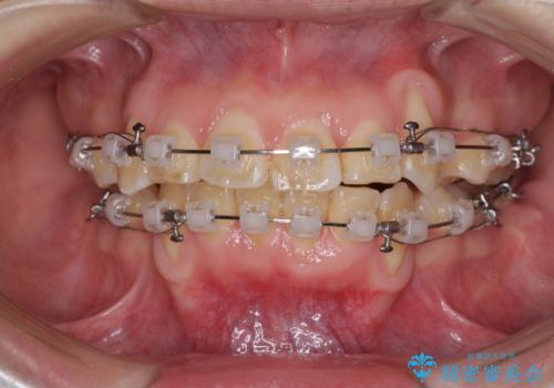
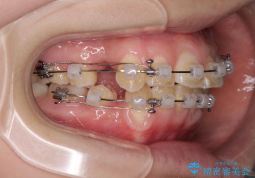
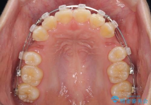
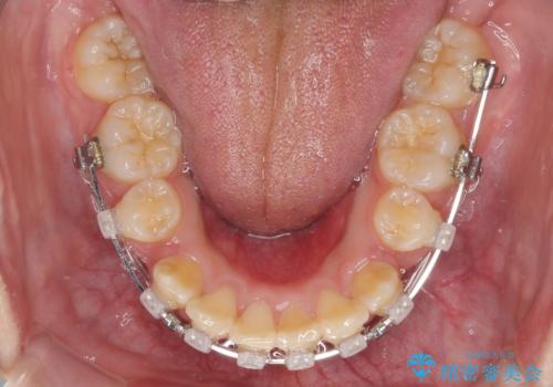
- 矯正装置
- クリアブラケット
- 治療期間
- 2年1ヶ月
- 治療回数
- 10-30回
- 治療計画
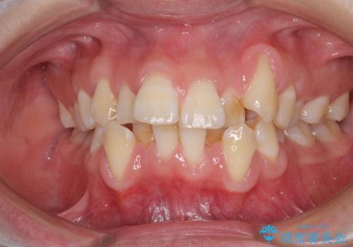
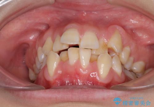
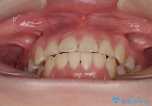
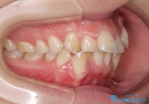
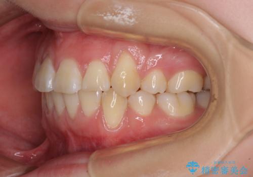
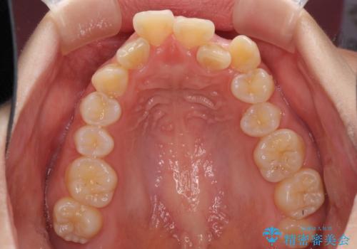
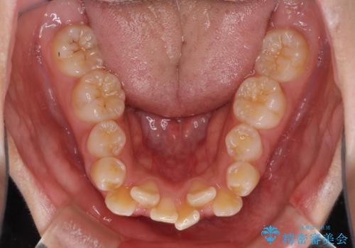
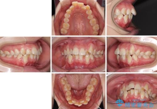
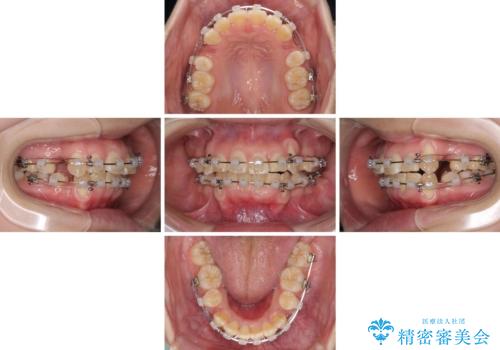
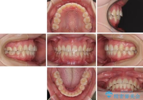
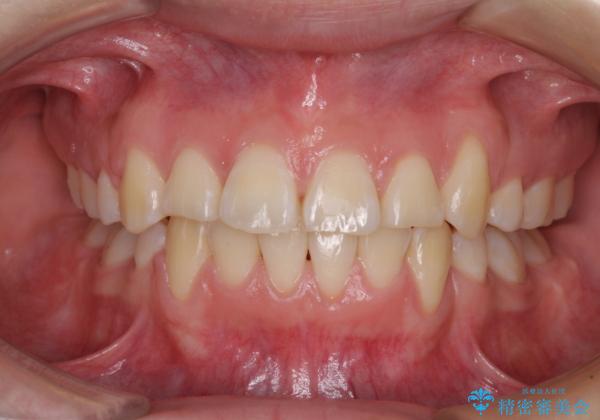
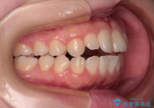
- 上下前歯の叢生と八重歯を気にして来院された患者様です。
前歯部叢生のスペースを獲得するため、上下顎左右小臼歯各1歯を抜歯することとしました。
- 費用(概算)
- 治療費の目安: 100万円(税込)費用は治療当時の料金となります
治療について
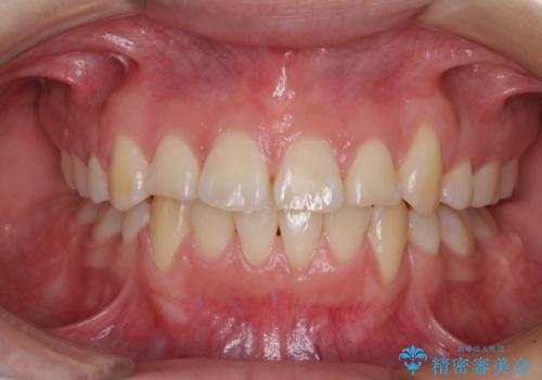
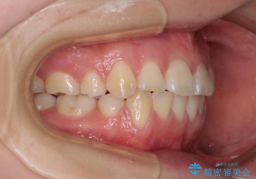
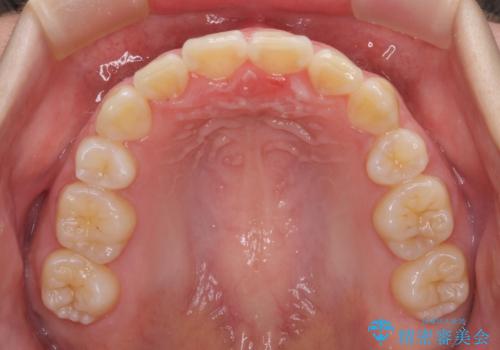
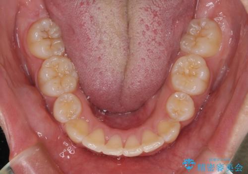
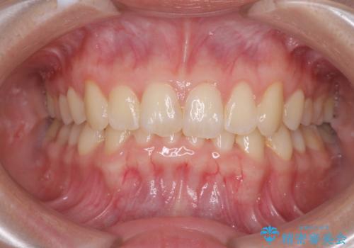
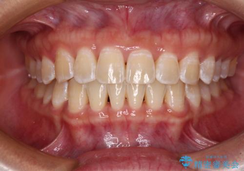
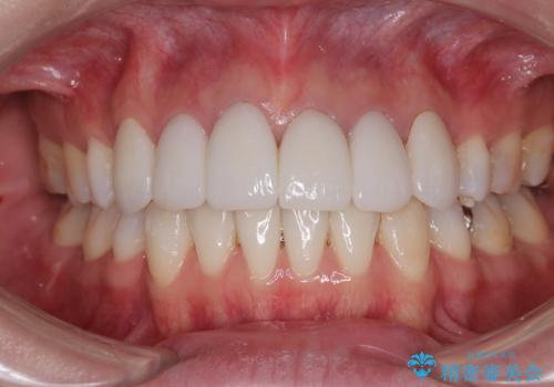
歯列はきれいに整いますが、歯肉ラインは治療前の歯肉の位置を踏襲します。
特に八重歯であった歯は歯冠が長く見えますので、改善を希望される場合には、歯肉移植術を行う必要があります。
ワイヤー矯正の注意事項(リスク・副作用など)
- 治療中は違和感や痛みが起こることがあります
- 症状により、抜歯が必要な場合があります
- 治療中は歯磨きがしにくくなるため、虫歯や歯周病になりやすくなります
- 矯正治療後の保定が不十分だと後戻り(元の位置に戻ろうとする動き)をします
- 自費診療(保険適用外)となります
当サイトの内容、テキスト、画像等の無断転載、複製、複写、盗用を固く禁じます。


























