症例詳細
Case detail
話しにくいオープンバイト ワイヤー装置による抜歯矯正治療
治療症例の内容
- 診療科目
- 治療カテゴリ
- 担当医
- 藤巻太一朗(ドクタープロフィール)
- 患者様
- 20代女性
- 矯正装置
- 審美装置
- 治療期間
- 3年3ヶ月
- 治療回数
- 10-30回
- 治療計画
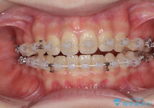
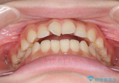
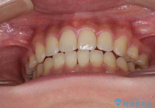
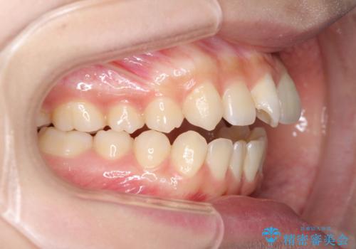
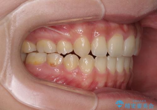
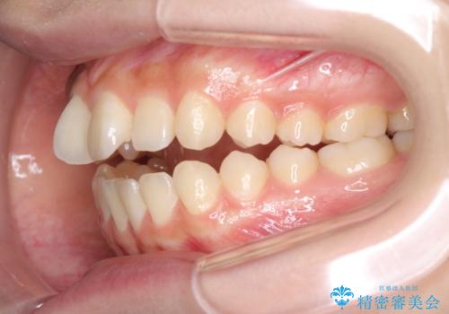
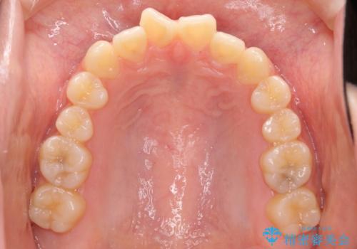
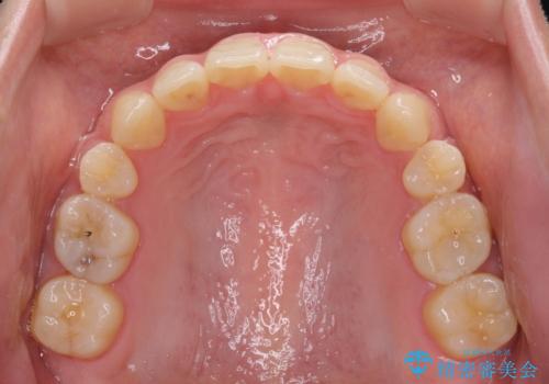
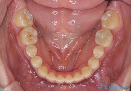
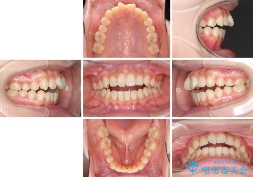
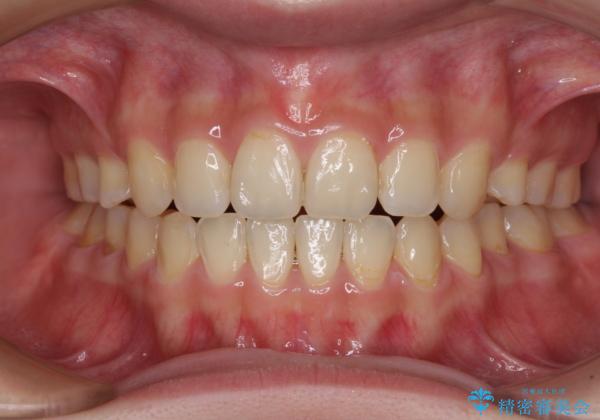
- 前歯のオープンバイトを気にして来院された患者様です。
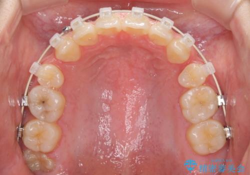
上下前歯の前後位置が大きくずれていたため、上顎左右第一小臼歯2本を抜歯してワイヤー装置による矯正治療を行うこととしました。
- 費用(概算)
- 治療費の目安: 105万円(税込)費用は治療当時の料金となります
治療について
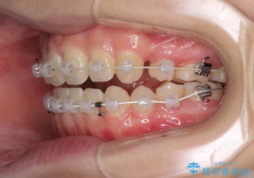
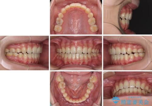
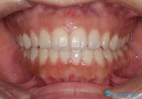
オープンバイトの原因は舌の突出癖であり、癖が改善されないと治療経過に影響を及ぼすため、舌のトレーニングを指示しました。
なかなか癖が改善されず、トレーニングも断続的に行ったため、治療期間は長期化しました。
ワイヤー矯正の注意事項(リスク・副作用など)
- 治療中は違和感や痛みが起こることがあります
- 症状により、抜歯が必要な場合があります
- 治療中は歯磨きがしにくくなるため、虫歯や歯周病になりやすくなります
- 矯正治療後の保定が不十分だと後戻り(元の位置に戻ろうとする動き)をします
- 自費診療(保険適用外)となります
当サイトの内容、テキスト、画像等の無断転載、複製、複写、盗用を固く禁じます。


























