症例詳細
Case detail
クラウンがすぐに外れてしまう 歯冠長延長術を用いた補綴治療
治療症例の内容
- 診療科目
- 治療カテゴリ
- 担当医
- 藤巻太一朗(ドクタープロフィール)
- 患者様
- 20代女性
- 治療期間
- 5ヶ月
- 治療回数
- 5-10回
- 治療計画
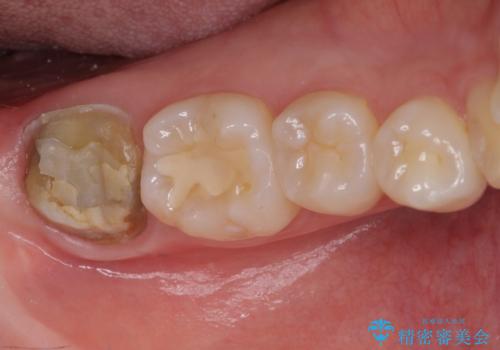
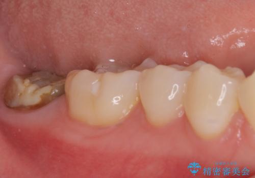
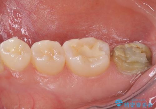
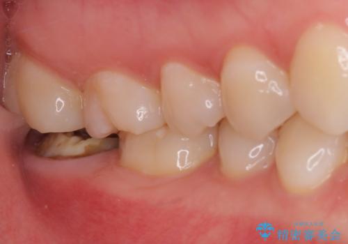
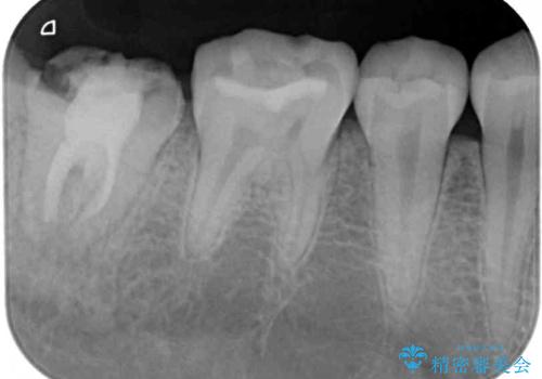
- 奥歯のかぶせものが頻繁に脱離することを気にされて来院された患者様です。
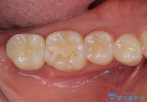
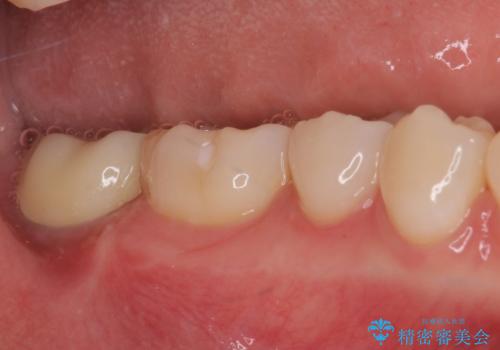
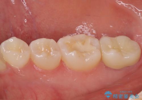
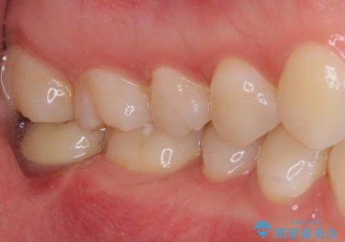
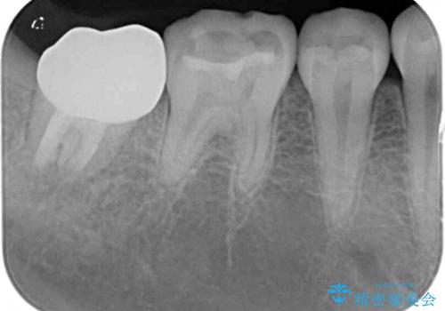
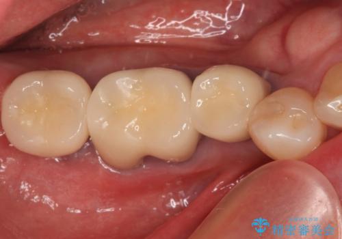
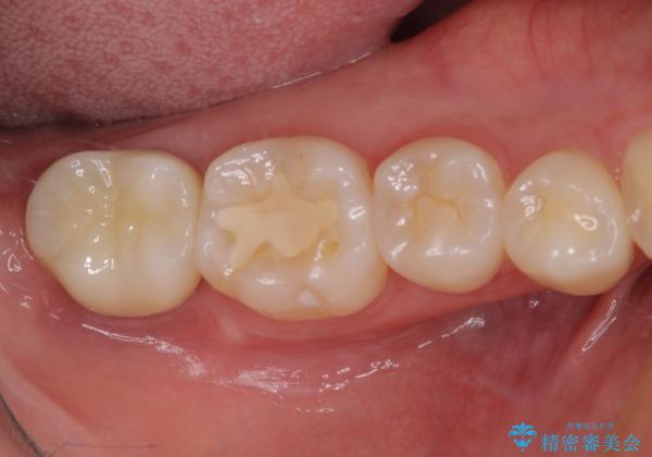
歯の高さが低く、かぶせものを安定して維持させることができないため、歯冠長延長術により歯の高さを増大させた上で、オールセラミッククラウンにて補綴することとしました。
クラウンが外れている期間も長く、虫歯が進行していたため、根管治療も行うこととしました。
- 費用(概算)
- 治療費の目安: 35万円(税込)費用は治療当時の料金となります
治療について
歯の高さが増したことで、かぶせものが外れにくくなったことはもちろん、今まで無理と言われていたセラミッククラウンも装着でき、さらには歯間部の清掃性も向上したため、患者様には大変満足していただけました。
セラミック治療の注意事項(リスク・副作用など)
- 天然歯を削ります
- 硬い素材は天然歯を傷つけてしまう場合があります
- かみ合わせや歯ぎしりが強すぎる方はセラミックが割れてしまう可能性があります
- 自費診療(保険適用外治療)となります
外科処置の注意事項(リスク・副作用など)
- 外科手術のため、術後に出血、痛みや腫れ、違和感を伴います
- 口腔内の状態によっては適応できないことがあります
根管治療の注意事項(リスク・副作用など)
- 根管治療により類似の全ての症例の問題が解決するわけではなく、症例はあくまでも一例です
- 根管治療により痛みや腫れがひかない事や、術後に痛みや腫れが生じる事、治療によるファイル破折やパーフォレーションなどの偶発症、術後の歯根破折を生じる可能性もあります
- 自費診療(保険適用外)となります
当サイトの内容、テキスト、画像等の無断転載、複製、複写、盗用を固く禁じます。












