症例詳細
Case detail
銀歯を白くしたい 隙間がしみる
治療症例の内容
- 診療科目
 
- 担当医
 - 大元洋佑(ドクタープロフィール)
 
- 患者様
 - 30代女性
 
- 治療期間
 - 1ヶ月
 
- 治療回数
 - 2-5回
 
- 治療計画
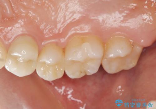
 - 前に詰めた銀歯のところがしみる、白くしたいと希望され来院されました。
X線写真より不適合な銀歯が確認できました。
銀歯・虫歯を丁寧に除去し、残存歯質にピッタリと合ったセラミック修復を計画します。 
- 費用(概算)
 - 25万円(emaxインレー×2・仮歯・ファイバーコア・ジルコニアクラウン)費用は治療当時の料金となります
 
修復治療について
修復物は歯にピッタリと精密な形で形成。印象をする必要があります。
精度が悪いと今回の銀歯のように不適合な状態で装着されてしまいのちのちしみたり、虫歯の原因となることもしばしばです。
拡大鏡を用いた精密な形成や、シリコン印象を行うことで精度の高い修復処置を行うことができます。
セラミック治療の注意事項(リスク・副作用など)
- 天然歯を削ります
 - 硬い素材は天然歯を傷つけてしまう場合があります
 - かみ合わせや歯ぎしりが強すぎる方はセラミックが割れてしまう可能性があります
 - 自費診療(保険適用外治療)となります
 
当サイトの内容、テキスト、画像等の無断転載、複製、複写、盗用を固く禁じます。

                      
                                                          


