症例詳細
Case detail
インビザラインチェンジで成功 インビザラインで八重歯の抜歯矯正
治療症例の内容
- 担当医
- 井上季実子(ドクタープロフィール)
- 患者様
- 10代女子
- 矯正装置
- インビザライン、ワイヤー矯正併用
- 治療期間
- 3年3ヶ月
- 治療回数
- 10-30回
- 治療計画
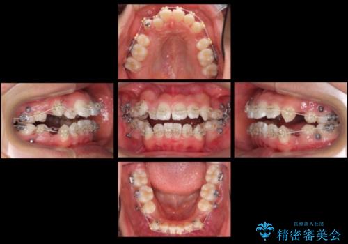
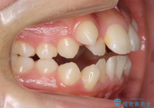
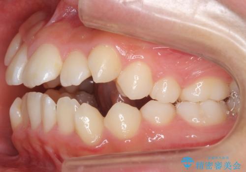
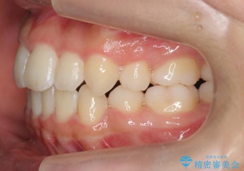
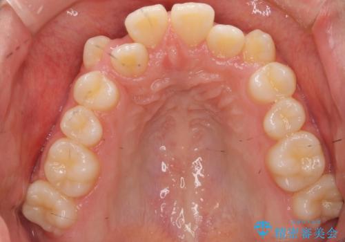
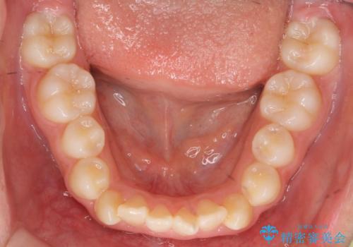
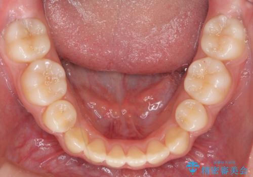
- かみ合わせを主訴に来院。
八重歯や、前歯のオープンバイト(開咬)の症状があり、マウスピース(インビザライン)矯正単独では治すのが難しい症状が複合していました。
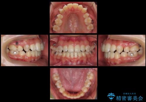
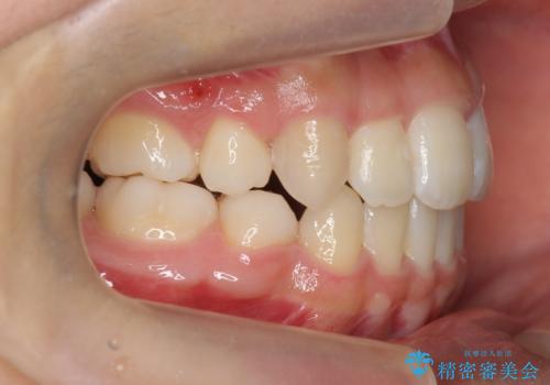
八重歯や抜歯したスペースの閉鎖をワイヤー矯正で前半行い、治療後半は目立たないインビザラインでかみ合わせを調整しました。
ワイヤー矯正からインビザラインへの変更は、歯磨きも簡単になり、目立たず、さらにワイヤーと併用することで妥協せずしっかり治療結果も出すことができます。
- 費用(概算)
- 130万円費用は治療当時の料金となります
治療について
上の奥歯を後ろ下げるために、矯正用ミニスクリューを使用しています。
マウスピース矯正の注意事項(リスク・副作用など)
- 口腔内・歯並びの状態によっては対応できない場合があります
- マウスピース型矯正装置の長時間装着(1日20時間以上)が必須です
- 治療計画通りに進めるためには、患者様の意志が重要になります
- 矯正治療後の保定が不十分だと後戻り(元の位置に戻ろうとする動き)をします
- 薬機法対象外の矯正歯科装置のため医薬品副作用被害救済制度の対象外となる場合があります
- 自費診療(保険適用外)となります
ワイヤー矯正の注意事項(リスク・副作用など)
- 治療中は違和感や痛みが起こることがあります
- 症状により、抜歯が必要な場合があります
- 治療中は歯磨きがしにくくなるため、虫歯や歯周病になりやすくなります
- 矯正治療後の保定が不十分だと後戻り(元の位置に戻ろうとする動き)をします
- 自費診療(保険適用外)となります
当サイトの内容、テキスト、画像等の無断転載、複製、複写、盗用を固く禁じます。
















