症例詳細
Case detail
30代女性 色違いの前歯をセラミックできれいに
治療症例の内容
- 診療科目
- 治療カテゴリ
- 担当医
- 藤巻太一朗(ドクタープロフィール)
- 患者様
- 30代女性
- 治療期間
- 1ヶ月
- 治療回数
- 2-5回
- 治療計画
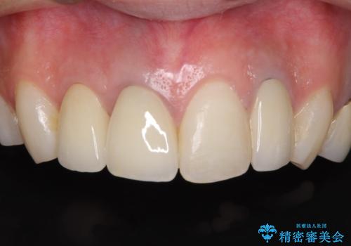
- 10年以上前に被せた前歯のクラウンと、レジンにより虫歯治療した前歯の色の違いを気にして来院された患者様です。
2歯をオールセラミッククラウン(ジルコニアクラウン)にて補綴することとしました。
- 費用(概算)
- 治療費の目安: 25万円費用は治療当時の料金となります
治療を終えて
10年以上もの間、前歯の色の違いに悩んでいらっしゃったようですが、歯茎のラインの黒ずみが見えたことをきっかけに治療を決意されました。
わずか1ヶ月半の間にまるで自分の歯のようなセラミッククラウンが装着され、患者様には大変満足していただきました。
リスクについて
セラミックは破折などにより修復や再製作が必要となることがあります。
セラミック治療の注意事項(リスク・副作用など)
- 天然歯を削ります
- 硬い素材は天然歯を傷つけてしまう場合があります
- かみ合わせや歯ぎしりが強すぎる方はセラミックが割れてしまう可能性があります
- 自費診療(保険適用外治療)となります
当サイトの内容、テキスト、画像等の無断転載、複製、複写、盗用を固く禁じます。










