症例詳細
Case detail
歯ぐきから出る膿 何度治療しても治らない 精密根管治療 50代男性
治療症例の内容
- 診療科目
- 治療カテゴリ
- 担当医
- 患者様
- 50代男性
- 治療期間
- 3ヶ月
- 治療回数
- 2-5回
- 治療計画
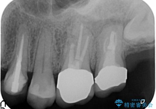
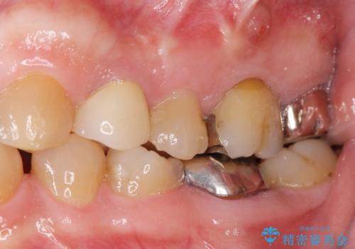
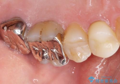
- 歯ぐき(ちょうど根の先のあたり)から膿が出て、根の治療を何度しても治らないことを主訴に来院された患者様です。
精査したところ、奥歯(左上67)の根尖部に位置した歯茎に瘻孔(膿の出口)ができており、CTを撮影し確認すると奥歯2本(左上67)の根尖病変は大きくつながっていました。
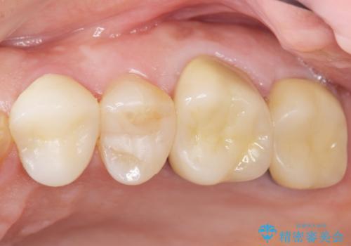
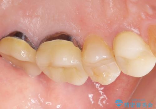
銀座しらゆり歯科の林院長による精密根管治療を受けて頂いたのち、メタルボンドクラウンによる補綴を行いました。
- 費用(概算)
- ¥594,000 (精密根管治療×2本、土台×2本、仮歯×2本、クラウン×2本) ※税込費用は治療当時の料金となります
治療について
「今まで何回治療しても治らなった膿が出なくなった!」と喜んで下さいました。
銀座しらゆり歯科の林院長の精密根管治療は素晴らしく、難易度の高いケースも治して下さり患者様の満足度も非常に高いため、紹介した私も嬉しくなります。
クラウンの種類:メタルボンドクラウン エコノミー
根管治療の注意事項(リスク・副作用など)
- 根管治療により類似の全ての症例の問題が解決するわけではなく、症例はあくまでも一例です
- 根管治療により痛みや腫れがひかない事や、術後に痛みや腫れが生じる事、治療によるファイル破折やパーフォレーションなどの偶発症、術後の歯根破折を生じる可能性もあります
- 自費診療(保険適用外)となります
セラミック治療の注意事項(リスク・副作用など)
- 天然歯を削ります
- 硬い素材は天然歯を傷つけてしまう場合があります
- かみ合わせや歯ぎしりが強すぎる方はセラミックが割れてしまう可能性があります
- 自費診療(保険適用外治療)となります
当サイトの内容、テキスト、画像等の無断転載、複製、複写、盗用を固く禁じます。










