症例詳細
Case detail
金属アレルギー インプラントは嫌 親知らずの移植 30代女性
治療症例の内容
- 担当医
- 患者様
- 30代女性
- 治療期間
- 4ヶ月
- 治療回数
- 2-5回
- 治療計画
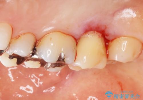
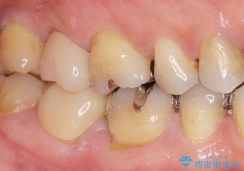
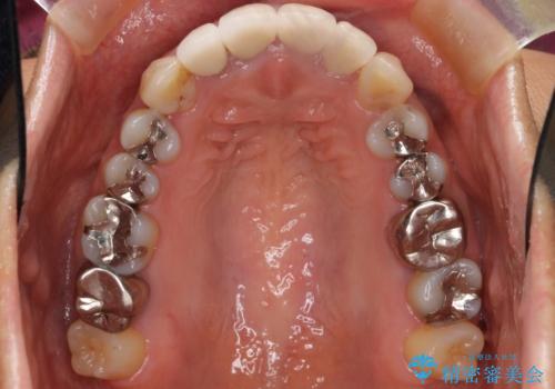
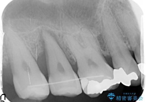
- 奥歯に違和感があることを主訴に来院された患者様です。
精査したところ、右上の奥歯(右上7)はう蝕が深く骨吸収も進行しており保存不可能な状態でした。
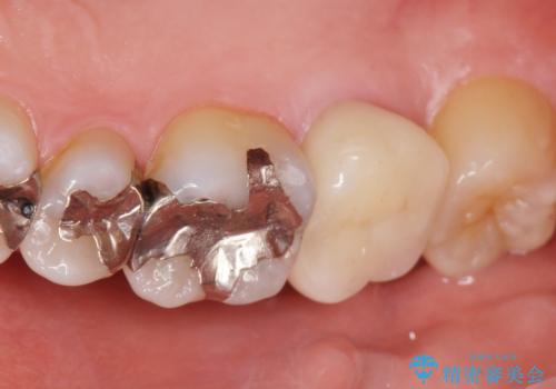
金属アレルギーの疑いがあり、インプラントも避けたいとの患者様のご希望により、親知らずを移植することにしました。
移植がうまくいかない可能性を考慮し、ブリッジもできるよう隣の親知らず(右上8)は残し、反対側の親知らず(左上8)を移植しました。
- 費用(概算)
- ¥275,000 (自家歯牙移植、根管治療、土台、仮歯、クラウン) ※税込費用は治療当時の料金となります
治療について
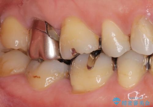
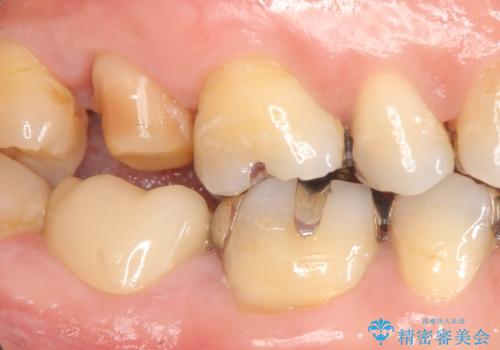
「状態の悪い銀歯がなくなりすっきりした」と喜んで下さいました。
見た目や使用感にご満足頂き、他の部位も現在治療中です。
クラウンの種類:オールセラミッククラウン ベレッツァ
自家歯牙移植の注意事項(リスク・副作用など)
- 外科手術のため、術後に痛みや腫れ、違和感を伴います
- 適応範囲に制限があります(健康な親知らず・移植歯が必要など)
- 移植歯が生着しない可能性があります
- 予後が不安定で歯によっては長く持たない可能性があります
セラミック治療の注意事項(リスク・副作用など)
- 天然歯を削ります
- 硬い素材は天然歯を傷つけてしまう場合があります
- かみ合わせや歯ぎしりが強すぎる方はセラミックが割れてしまう可能性があります
- 自費診療(保険適用外治療)となります
当サイトの内容、テキスト、画像等の無断転載、複製、複写、盗用を固く禁じます。

















