症例詳細
Case detail
ダンサーとしての仕事を続けながら インビザラインによる抜歯矯正
治療症例の内容
- 診療科目
- 担当医
- 藤巻太一朗(ドクタープロフィール)
- 患者様
- 20代女性
- 矯正装置
- インビザライン
- 治療期間
- 3年3ヶ月
- 治療回数
- 10-30回
- 治療計画
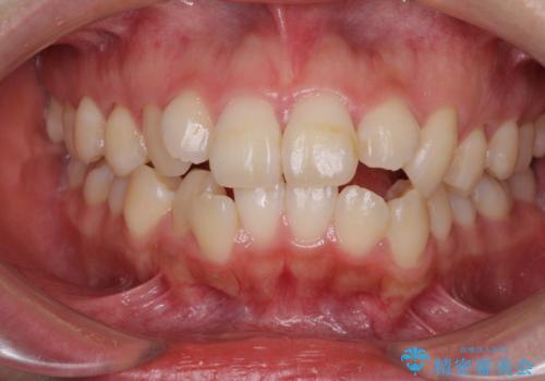
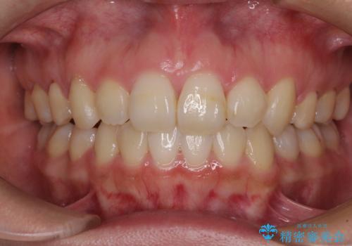
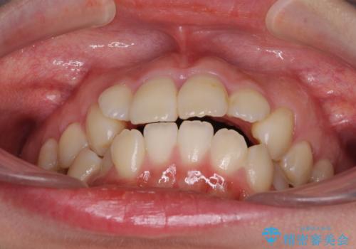
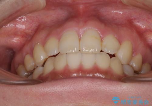
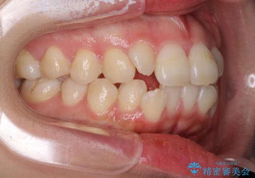
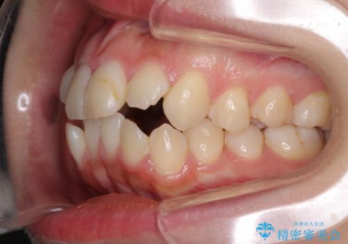
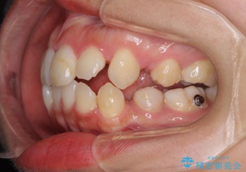
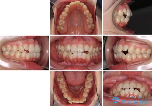
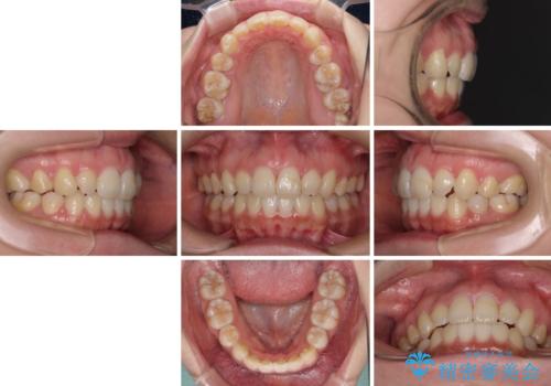
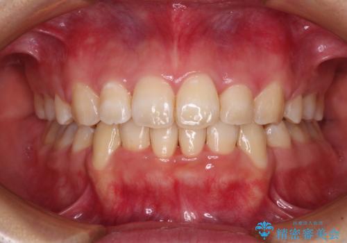
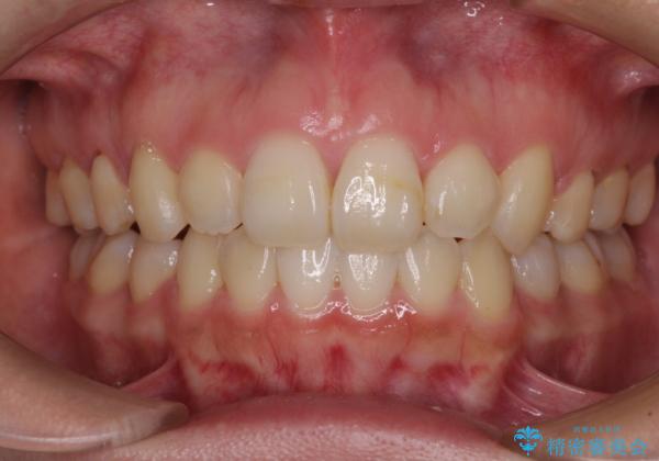
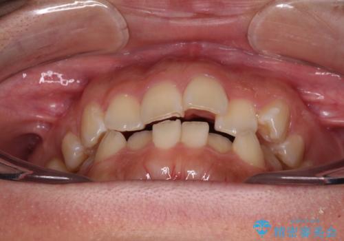
- 口元の突出感を気にして来院された患者様です。
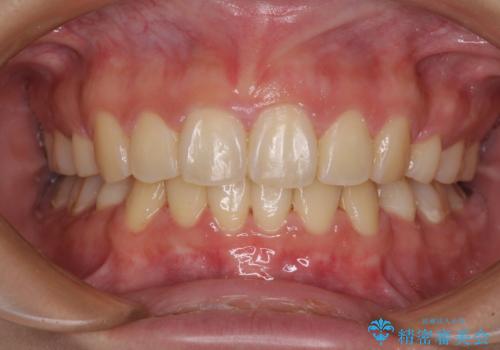
診断の結果、上顎左右第一小臼歯4本抜歯により、叢生を解消するとともに口元を引っ込めていくことが望ましいと判断しました。
抜歯矯正による口元の改善にはワイヤー矯正が望ましいのですが、ダンサーとしての仕事を行っているため、インビザラインにて治療を行うこととしました。
- 費用(概算)
- 治療費の目安: 105万円費用は治療当時の料金となります
治療について
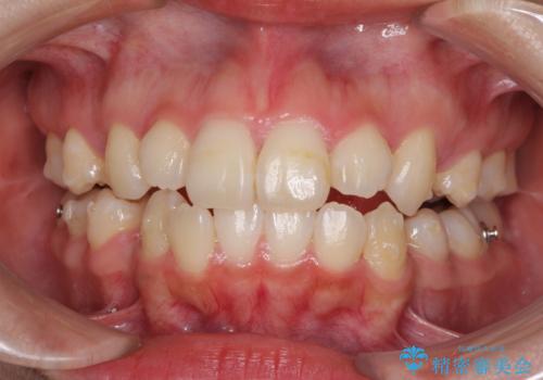
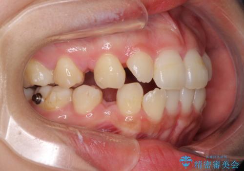
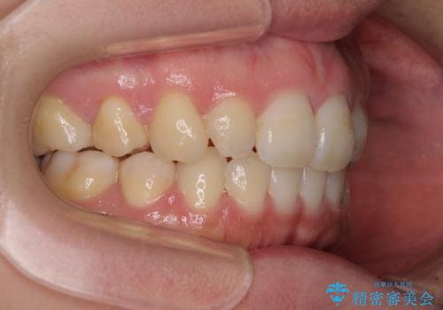
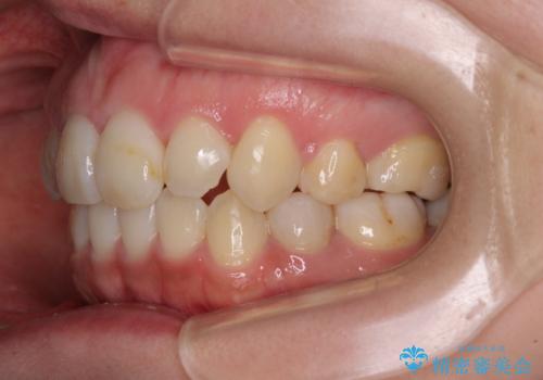
インビザラインによる矯正治療は、どれだけマウスピースを外す時間を短くできるかが成功の鍵となりますが、抜歯矯正ではよりシビアに要求されます。
こちらの患者様は、1日22時間以上を厳守してくださり、3年強で終えることができました。
マウスピース矯正の注意事項(リスク・副作用など)
- 口腔内・歯並びの状態によっては対応できない場合があります
- マウスピース型矯正装置の長時間装着(1日20時間以上)が必須です
- 治療計画通りに進めるためには、患者様の意志が重要になります
- 矯正治療後の保定が不十分だと後戻り(元の位置に戻ろうとする動き)をします
- 薬機法対象外の矯正歯科装置のため医薬品副作用被害救済制度の対象外となる場合があります
- 自費診療(保険適用外)となります
当サイトの内容、テキスト、画像等の無断転載、複製、複写、盗用を固く禁じます。


























