症例詳細
Case detail
上顎の出っ歯とすきっ歯 補助装置を用いたインビザライン矯正
治療症例の内容
- 診療科目
- 担当医
- 藤巻太一朗(ドクタープロフィール)
- 患者様
- 30代男性
- 矯正装置
- インビザライン
- 治療期間
- 1年8ヶ月
- 治療回数
- 10-30回
- 治療計画
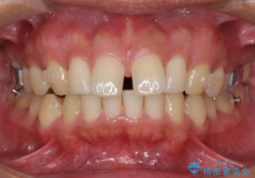
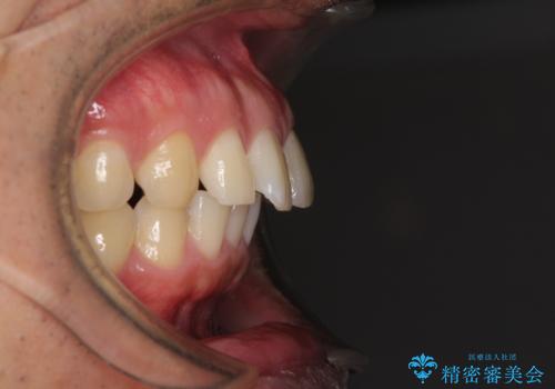
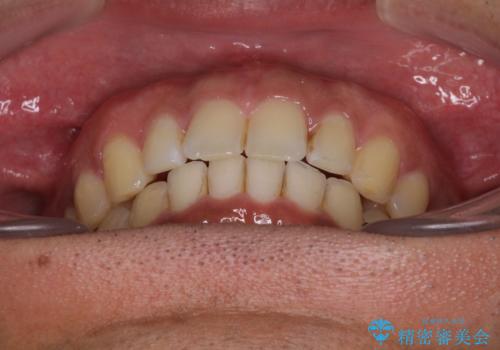
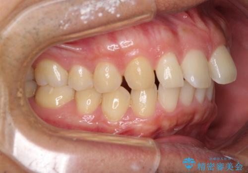
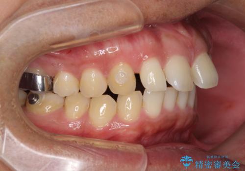
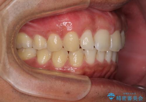
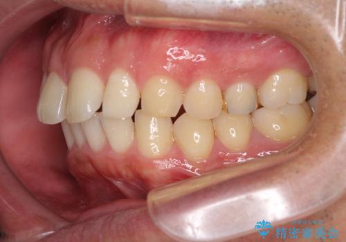
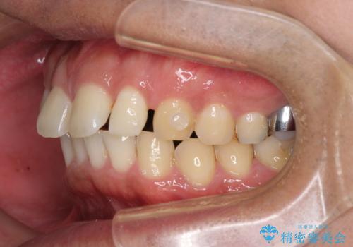
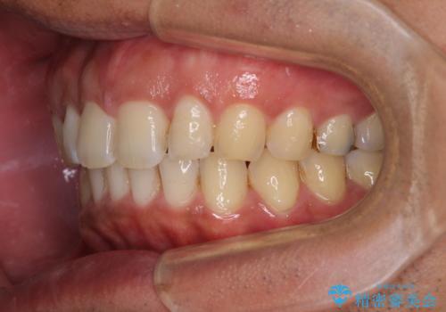
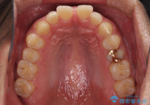
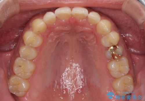
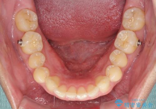
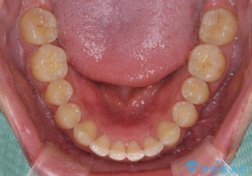
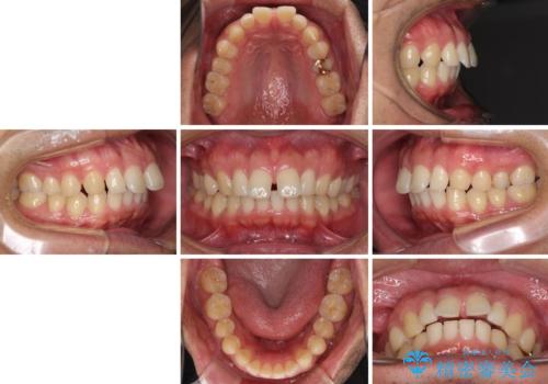
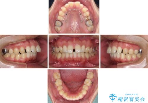
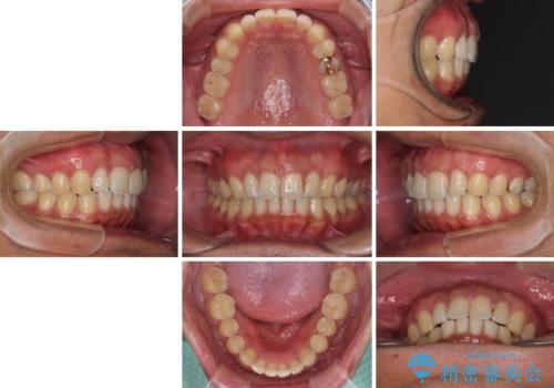
- 上顎前歯の突出感とすきっ歯を気にして来院された患者様です。
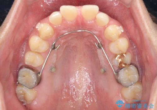
奥歯の咬み合わせを見ると、下顎に対して上顎が前方に位置していたため、補助装置により上顎歯列全体を後方に移動させ、その後インビザラインにて歯列全体を整えることとしました。
- 費用(概算)
- 治療費の目安: 85万円費用は治療当時の料金となります
治療について
インビザライン開始前に奥歯の咬み合わせを変える補助装置は幾つかあります。
咬み合わせの強さや下顎の歯列の状態などによって、最適な補助装置を選択しています。
インビザライン単独で咬み合わせを改善することもできますが、治しきれない可能性が高いため、事前に補助装置で治しておくことは、治療の仕上がりの点で非常に重要となります。
マウスピース矯正の注意事項(リスク・副作用など)
- 口腔内・歯並びの状態によっては対応できない場合があります
- マウスピース型矯正装置の長時間装着(1日20時間以上)が必須です
- 治療計画通りに進めるためには、患者様の意志が重要になります
- 矯正治療後の保定が不十分だと後戻り(元の位置に戻ろうとする動き)をします
- 薬機法対象外の矯正歯科装置のため医薬品副作用被害救済制度の対象外となる場合があります
- 自費診療(保険適用外)となります
当サイトの内容、テキスト、画像等の無断転載、複製、複写、盗用を固く禁じます。



























