症例詳細
Case detail
短期間で仕上げたい ワイヤーでの非抜歯矯正
治療症例の内容
- 担当医
- 藤巻太一朗(ドクタープロフィール)
- 患者様
- 30代女性
- 矯正装置
- 審美装置
- 治療期間
- 1年2ヶ月
- 治療回数
- 10-30回
- 治療計画
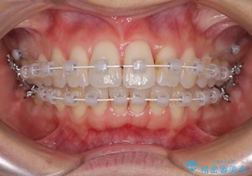
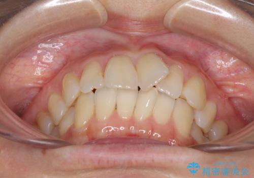
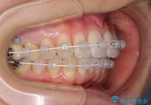
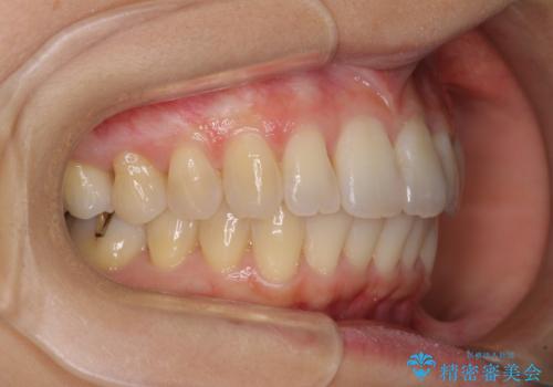
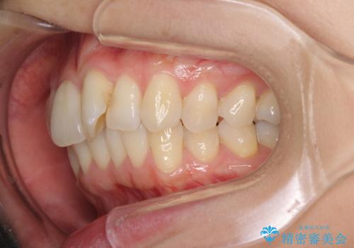
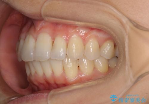
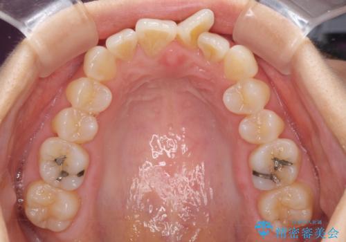
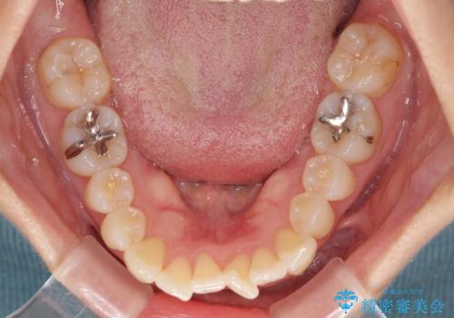
- 前歯の捻れと、それに伴う口元の突出感を気にして来院された患者様です。
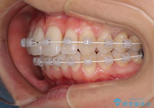
早く治療を終えたいとのことで、ワイヤー装置による矯正治療を行うこととしました。
- 費用(概算)
- 治療費の目安: 90万円費用は治療当時の料金となります
治療について
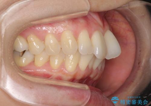
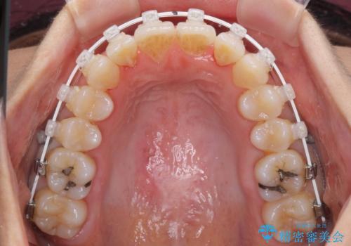
上顎前歯の叢生が解消されると出っ歯になることが分かっていたので、両側奥歯付近にアンカースクリューを入れ、出っ歯を改善するためのゴムかけを行いました。
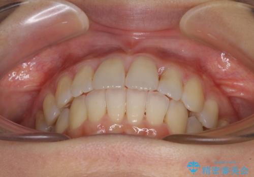
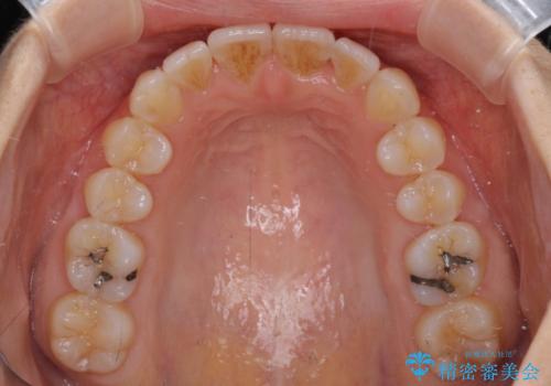
ゴムかけを頑張っていただいたので、当初の予定通り、1年強で治療を終えることができました。
ワイヤー矯正の注意事項(リスク・副作用など)
- 治療中は違和感や痛みが起こることがあります
- 症状により、抜歯が必要な場合があります
- 治療中は歯磨きがしにくくなるため、虫歯や歯周病になりやすくなります
- 矯正治療後の保定が不十分だと後戻り(元の位置に戻ろうとする動き)をします
- 自費診療(保険適用外)となります
当サイトの内容、テキスト、画像等の無断転載、複製、複写、盗用を固く禁じます。


























