症例詳細
Case detail
妊娠中に治療を終了 ワイヤー装置によるスピーディーな矯正治療
治療症例の内容
- 診療科目
- 治療カテゴリ
- 担当医
- 藤巻太一朗(ドクタープロフィール)
- 患者様
- 30代女性
- 矯正装置
- 審美装置
- 治療期間
- 1年
- 治療回数
- 10-30回
- 治療計画
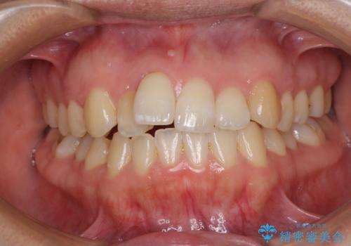
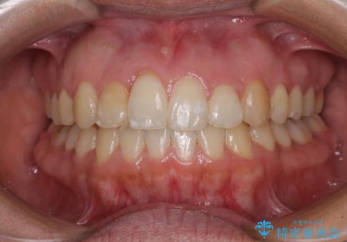
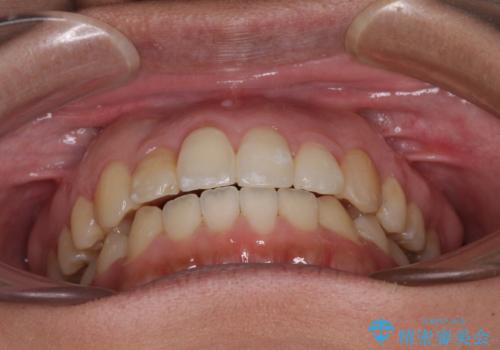
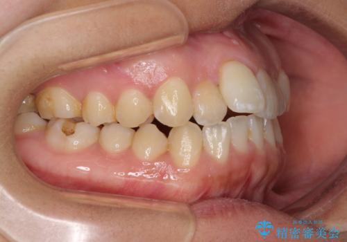
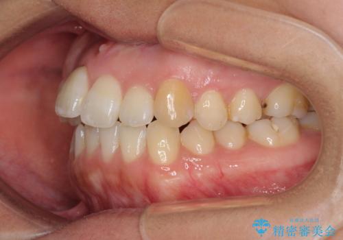
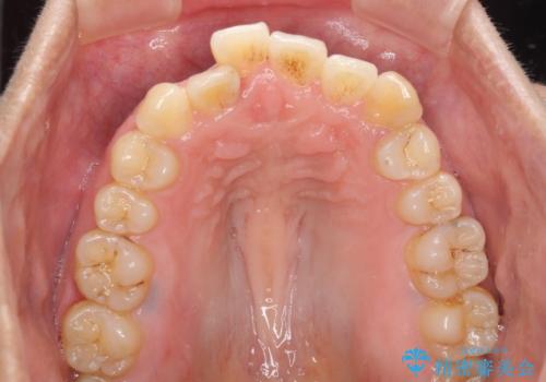
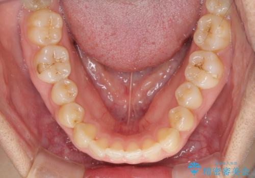
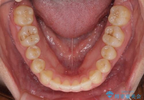
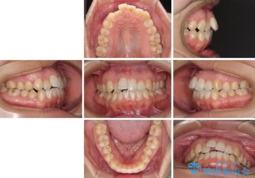
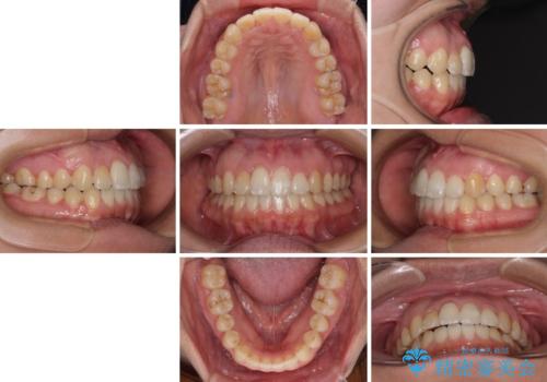
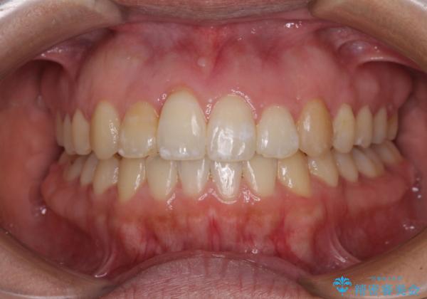
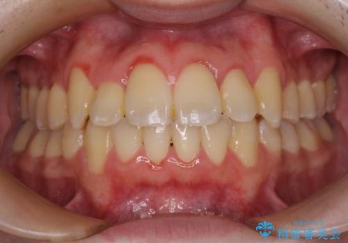
- 上下のデコボコを改善したいとのことで来院された患者様です。
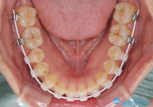
近々妊娠する予定であり、極力短期間で治療したいとのことで、ワイヤー装置による非抜歯矯正治療を行うこととしました。
- 費用(概算)
- 治療費の目安: 90万円費用は治療当時の料金となります
治療について
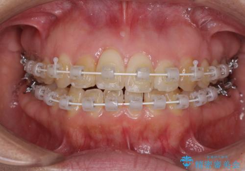
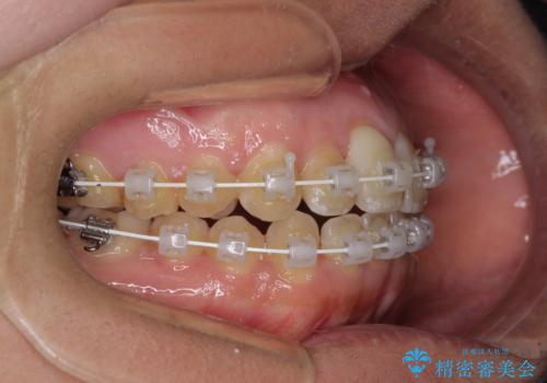
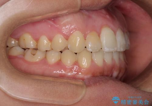
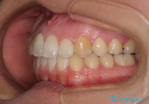
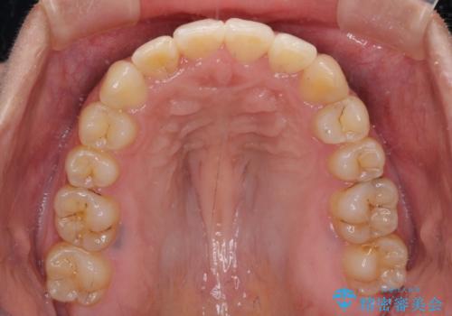
治療開始後すぐに妊娠され、つわりと闘いながらの矯正治療となりました。
上下顎でゴムかけを行ったのですが、早く終わらすためにしっかりと装着していただき、無事出産前に装置を外すことができました。
ワイヤー矯正の注意事項(リスク・副作用など)
- 治療中は違和感や痛みが起こることがあります
- 症状により、抜歯が必要な場合があります
- 治療中は歯磨きがしにくくなるため、虫歯や歯周病になりやすくなります
- 矯正治療後の保定が不十分だと後戻り(元の位置に戻ろうとする動き)をします
- 自費診療(保険適用外)となります
当サイトの内容、テキスト、画像等の無断転載、複製、複写、盗用を固く禁じます。


























