症例詳細
Case detail
メタルボンドクラウンによる虫歯の治療
治療症例の内容
- 診療科目
- 治療カテゴリ
- 担当医
- 河口智英(ドクタープロフィール)
- 患者様
- 30代女性
- 治療期間
- 2ヶ月
- 治療回数
- 2-5回
- 治療計画
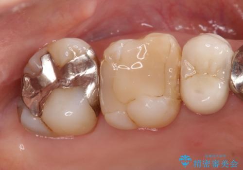
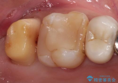
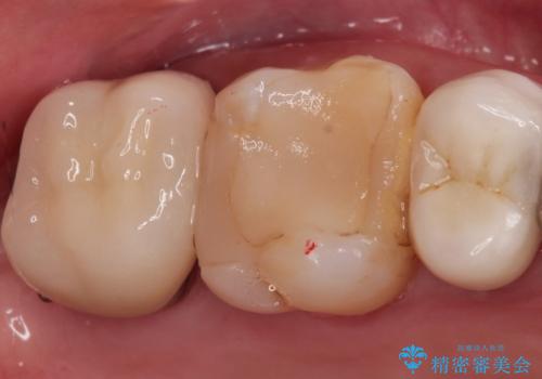
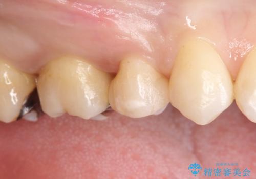
- 定期検診にて虫歯を見つけ、メタルボンドクラウンにて修復補綴治療を行なっております。
歯肉縁下まで虫歯が進行していたため歯周外科を併用して治療を行なっております。
- 費用(概算)
- 10万円費用は治療当時の料金となります
治療について
メタルボンドクラウンは内側に金属のフレーム、外側にセラミックを使用した被せ物です。
セラミック治療の注意事項(リスク・副作用など)
- 天然歯を削ります
- 硬い素材は天然歯を傷つけてしまう場合があります
- かみ合わせや歯ぎしりが強すぎる方はセラミックが割れてしまう可能性があります
- 自費診療(保険適用外治療)となります
当サイトの内容、テキスト、画像等の無断転載、複製、複写、盗用を固く禁じます。








