症例詳細
Case detail
【前歯ブリッジ】下顎前歯の先天性欠如の補綴治療
治療症例の内容
- 診療科目
- 治療カテゴリ
- 担当医
- 河口智英(ドクタープロフィール)
- 患者様
- 30代女性
- 治療期間
- 1ヶ月
- 治療回数
- 2-5回
- 治療計画
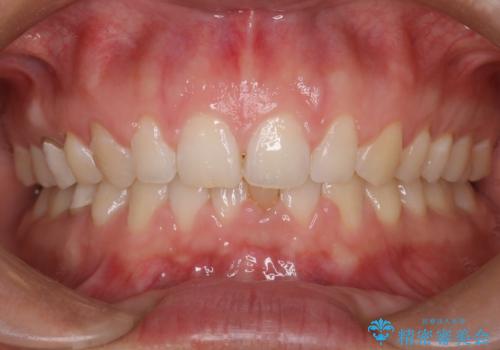
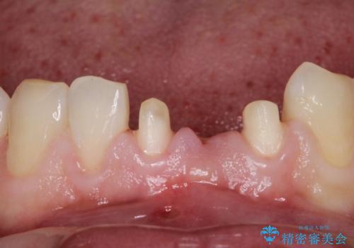
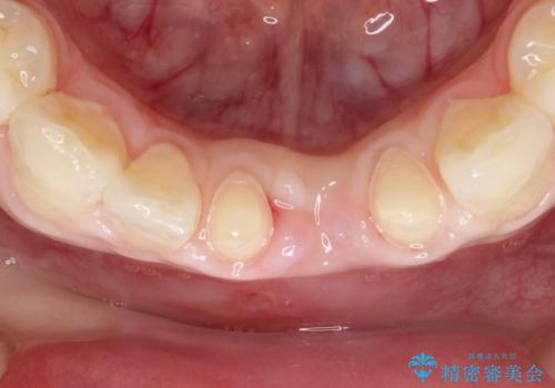
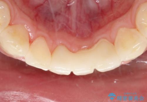
- 晩期残存した下顎乳中切歯の変色を主訴に来院されました。
後続永久歯は先天性欠如しており、下顎前歯のブリッジにて補綴治療を行なっております。
- 費用(概算)
- 33万円費用は治療当時の料金となります
治療について
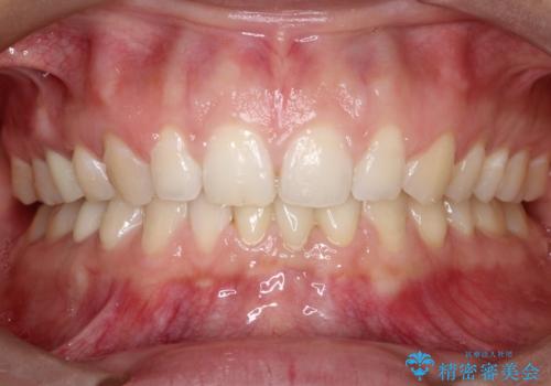
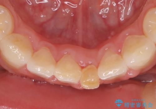
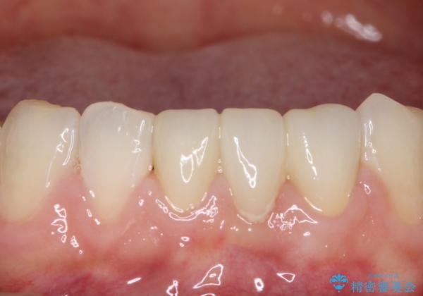
色調も周りの歯に合わせることができ、患者さんには満足していただきました。
セラミック治療の注意事項(リスク・副作用など)
- 天然歯を削ります
- 硬い素材は天然歯を傷つけてしまう場合があります
- かみ合わせや歯ぎしりが強すぎる方はセラミックが割れてしまう可能性があります
- 自費診療(保険適用外治療)となります
当サイトの内容、テキスト、画像等の無断転載、複製、複写、盗用を固く禁じます。









