症例詳細
Case detail
【中心結節破折】MTAセメントを用いたアペキシフィケーション
治療症例の内容
- 診療科目
- 担当医
- 河口智英(ドクタープロフィール)
- 患者様
- 30代女性
- 治療期間
- 6ヶ月
- 治療回数
- 2-5回
- 治療計画
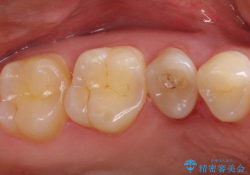
- 定期検診にて根尖部にレントゲン透過像を認め、検査にて歯髄壊死と診断された患者様です。
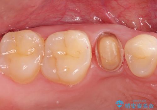
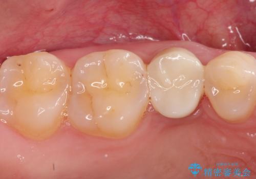
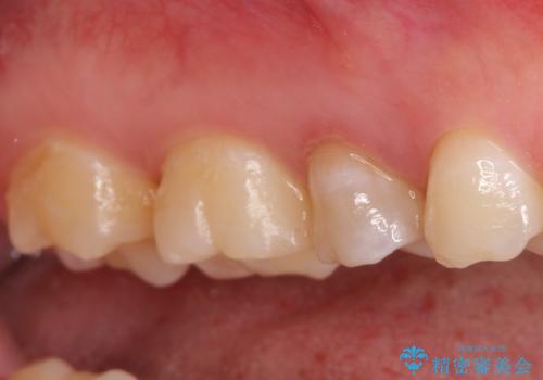
根尖が閉鎖していないことから、MTAを用いたアペキシフィケーションを行ないました。症状の消失およびX線透過像の縮小を認め最終補綴を行なっております。
- 費用(概算)
- 23万円費用は治療当時の料金となります
治療について
根管治療を行なった歯は速やかに被せ物の治療を行う必要があります。
根未完成歯には生体親和性の高いMTAセメントを用いて根管充填を行ないます。
セラミック治療の注意事項(リスク・副作用など)
- 天然歯を削ります
- 硬い素材は天然歯を傷つけてしまう場合があります
- かみ合わせや歯ぎしりが強すぎる方はセラミックが割れてしまう可能性があります
- 自費診療(保険適用外治療)となります
根管治療の注意事項(リスク・副作用など)
- 根管治療により類似の全ての症例の問題が解決するわけではなく、症例はあくまでも一例です
- 根管治療により痛みや腫れがひかない事や、術後に痛みや腫れが生じる事、治療によるファイル破折やパーフォレーションなどの偶発症、術後の歯根破折を生じる可能性もあります
- 自費診療(保険適用外)となります
当サイトの内容、テキスト、画像等の無断転載、複製、複写、盗用を固く禁じます。









