症例詳細
Case detail
金属を白くしたい、セラミックへ
治療症例の内容
- 担当医
- 吉﨑ゆりな(ドクタープロフィール)
- 患者様
- 40代女性
- 治療期間
- 4ヶ月
- 治療回数
- 2-5回
- 治療計画
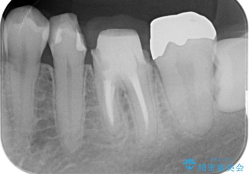
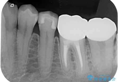
- 金属をセラミックにかえたいと来院されました。
左下6はメタルクラウン、左下7はメタルアンレーがあり、左下5には虫歯がありました。
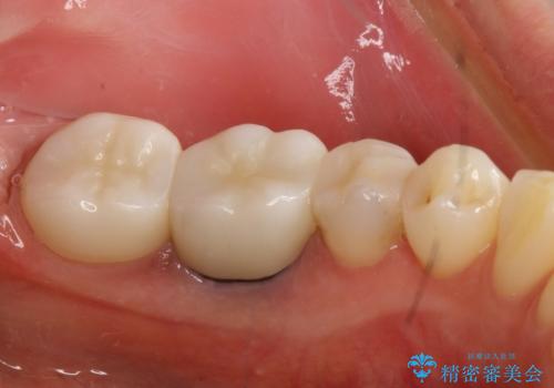
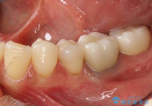
左下5はセラミックインレー修復、左下6,7はオールセラミッククラウンにて修復していくこととしました。
左下6に関しては、メタルコアをファイバーコアへのやりかえ、やりかえの際根管の汚染が強かったため根管治療からやりなおすこととなりました。
- 費用(概算)
- ¥377,000費用は治療当時の料金となります
治療について
見た目、使用感ともに満足していただきました。現在は他の部位も治療中です。
セラミック治療の注意事項(リスク・副作用など)
- 天然歯を削ります
- 硬い素材は天然歯を傷つけてしまう場合があります
- かみ合わせや歯ぎしりが強すぎる方はセラミックが割れてしまう可能性があります
- 自費診療(保険適用外治療)となります
根管治療の注意事項(リスク・副作用など)
- 根管治療により類似の全ての症例の問題が解決するわけではなく、症例はあくまでも一例です
- 根管治療により痛みや腫れがひかない事や、術後に痛みや腫れが生じる事、治療によるファイル破折やパーフォレーションなどの偶発症、術後の歯根破折を生じる可能性もあります
- 自費診療(保険適用外)となります
当サイトの内容、テキスト、画像等の無断転載、複製、複写、盗用を固く禁じます。











