症例詳細
Case detail
憧れの芸能人のような白い歯に 30代男性
治療症例の内容
- 診療科目
- 担当医
- 患者様
- 30代男性
- 治療期間
- 5ヶ月
- 治療回数
- 2-5回
- 治療計画
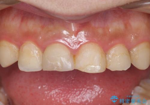
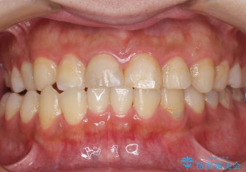
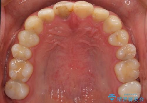
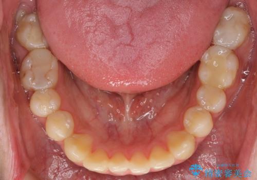
- 憧れの芸能人(ヴィジュアル系バンドマン)のような歯になりたいとのご希望で来院された患者様です。
咬み合わせが悪く矯正も検討されていたそうですが、歯を真っ白にしたいというご希望もあり、28本のすべての歯をセラミックにしたいとのことでした。
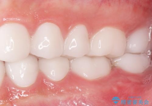
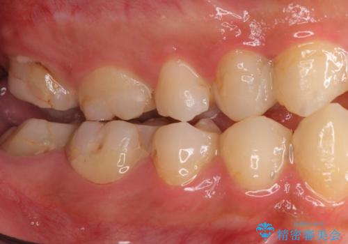
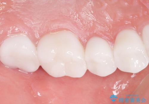
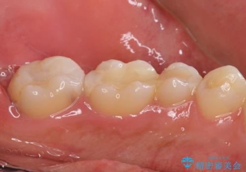
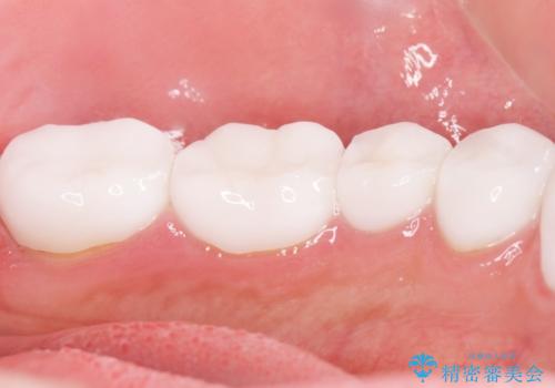
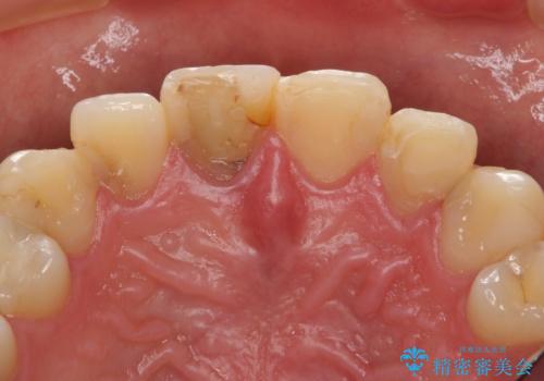
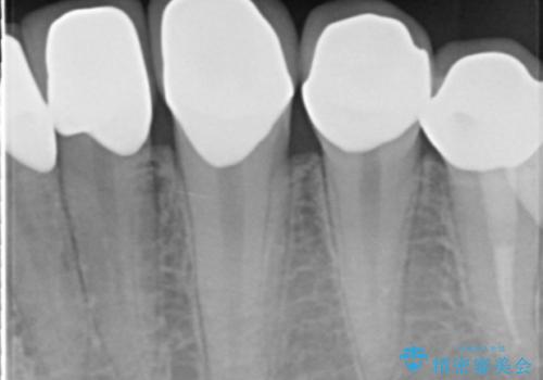
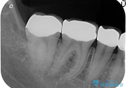
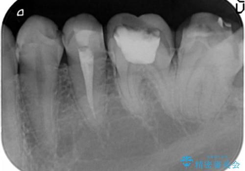
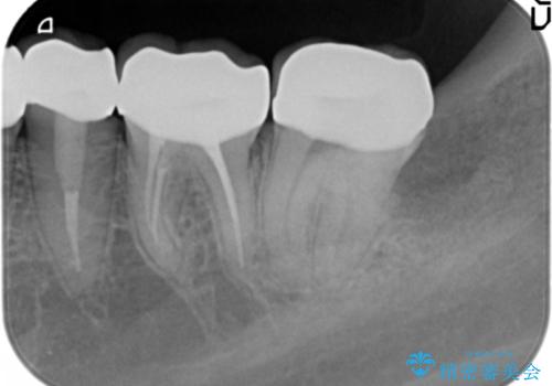
精査したところ、ほとんどの歯が保険内のレジンで充填されており、咬み合わせも悪く咬合していない歯もありました。
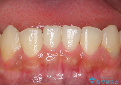
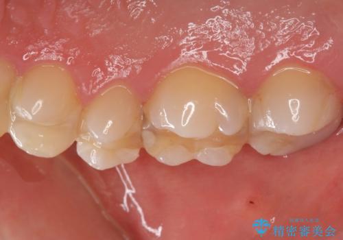
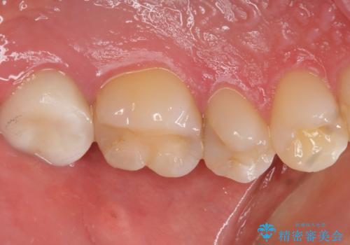
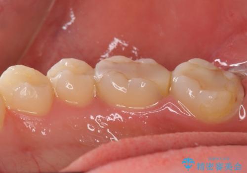
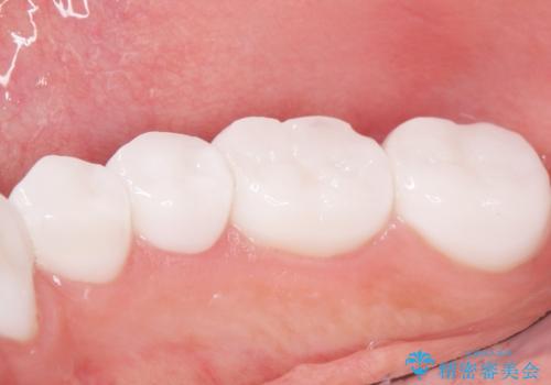
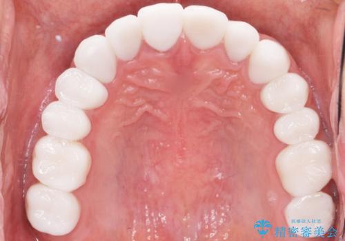
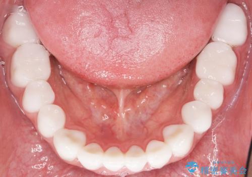
虫歯をしっかりと治療したのち、オールセラミッククラウンによる補綴治療を行いました。
下顎の埋伏していた親知らずも抜去しました。
- 費用(概算)
- ¥3,476,000 (仮歯×28本、土台×4本、クラウン×28本) ※税込費用は治療当時の料金となります
治療について
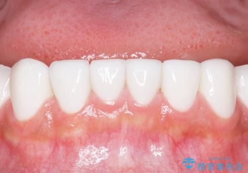
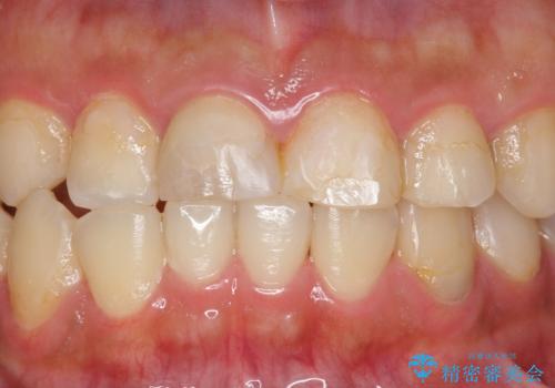
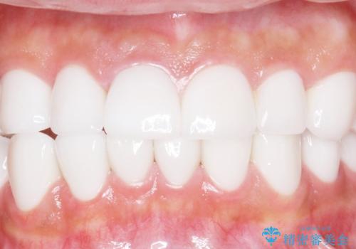
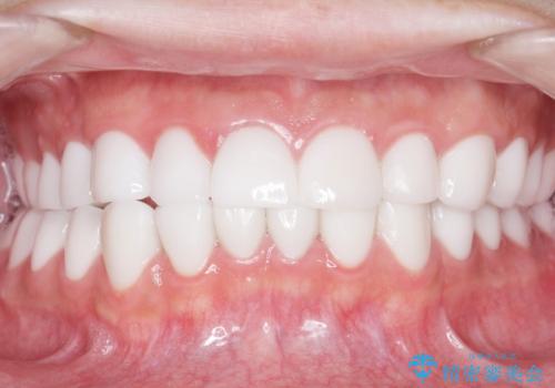
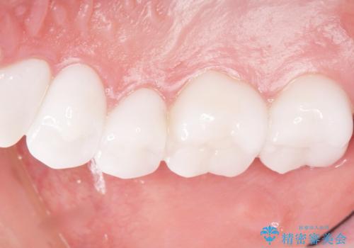
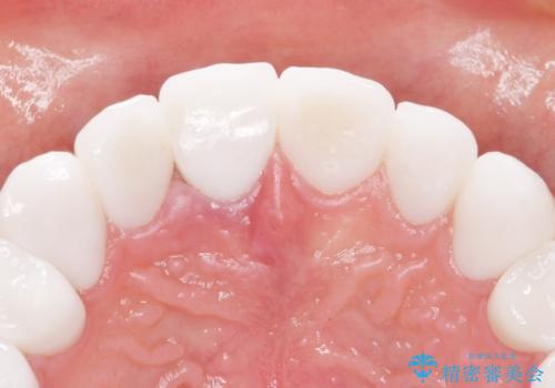
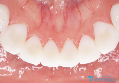
憧れのヴィジュアル系バンドマンのような白い歯になり、喜んで下さいました。
不適なレジン充填によるデコボコがなくなったことで歯磨きしやすくなり、また気にされていた咬み合わせも良くなり、ご満足頂けました。
クラウンの種類:オールセラミッククラウン スタンダード
シェード:NW0
セラミック治療の注意事項(リスク・副作用など)
- 天然歯を削ります
- 硬い素材は天然歯を傷つけてしまう場合があります
- かみ合わせや歯ぎしりが強すぎる方はセラミックが割れてしまう可能性があります
- 自費診療(保険適用外治療)となります
当サイトの内容、テキスト、画像等の無断転載、複製、複写、盗用を固く禁じます。
















































