症例詳細
Case detail
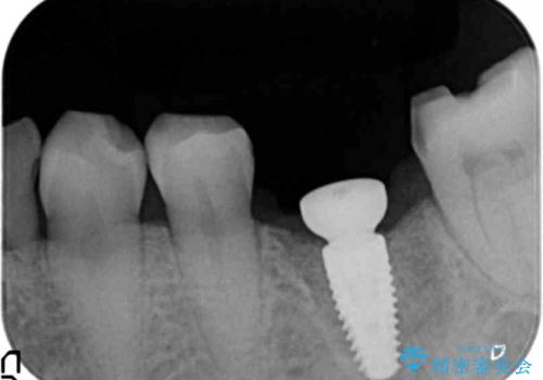
強い噛み合わせによる歯牙破折後のインプラント治療
治療症例の内容
- 担当医
- 大元洋佑(ドクタープロフィール)
- 患者様
- 50代女性
- 治療期間
- 6ヶ月
- 治療回数
- 5-10回
- 治療計画
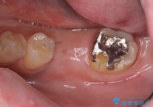
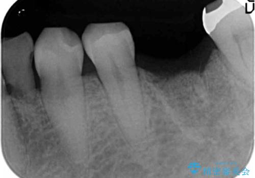
- 強く噛みしめる癖や歯ぎしりにより歯が割れてしまい、抜歯後のインプラント治療を求めて来院されました。
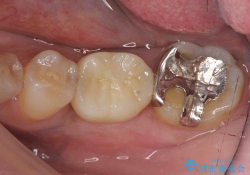
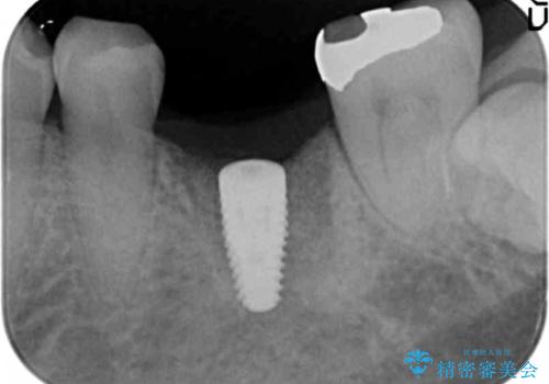
ブリッジや入れ歯といった周囲の歯の負担を増やす方法ではなく、より強大な咬合力にしっかりと耐え噛むことのできるインプラントを用いた機能回復を計画します。
- 費用(概算)
- 34万円(税別)(ストローマンインプラント・アバットメント・仮歯・フルジルコニアクラウン)費用は治療当時の料金となります
強い噛みしめや歯ぎしりについて
歯に大きな力がかかると、特に大きな銀歯の入った歯や神経治療をしたことのある歯は割れてしまい抜歯を余儀なくされる可能性が高まります。
今回の治療では、周囲の歯に負担を増やし破折リスクを高めるブリッジや入れ歯ではなくインプラント治療を選択しました。
インプラント治療の注意事項(リスク・副作用など)
- 外科手術のため、術後に痛みや腫れ、違和感を伴います
- メンテナンスを怠ったり喫煙により、お口の中に大きな悪影響を及ぼすインプラント周囲炎等にかかる可能性があります
- 糖尿病、肝硬変、心臓病等の場合、インプラント治療ができない可能性があります
- 高血圧、貧血・不整脈等の場合、インプラント治療後に治癒不全を招く可能性があります
- 自費診療(保険適用外治療)となります
当サイトの内容、テキスト、画像等の無断転載、複製、複写、盗用を固く禁じます。












