症例詳細
Case detail
骨格的に左右にずれいている 前歯のデコボコをインビザラインで解消
治療症例の内容
- 診療科目
- 担当医
- 藤巻太一朗(ドクタープロフィール)
- 患者様
- 20代女性
- 矯正装置
- インビザライン
- 治療期間
- 3年3ヶ月
- 治療回数
- 10-30回
- 治療計画
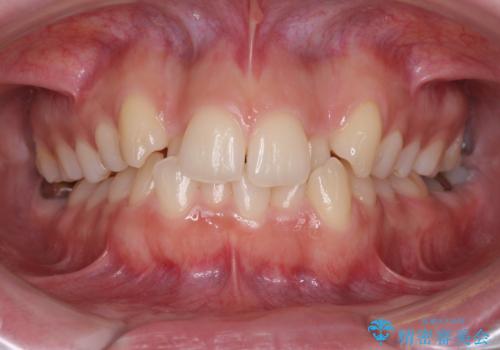
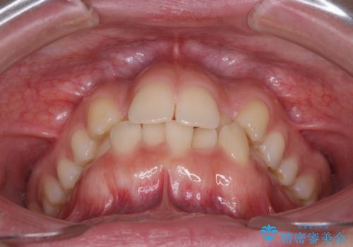
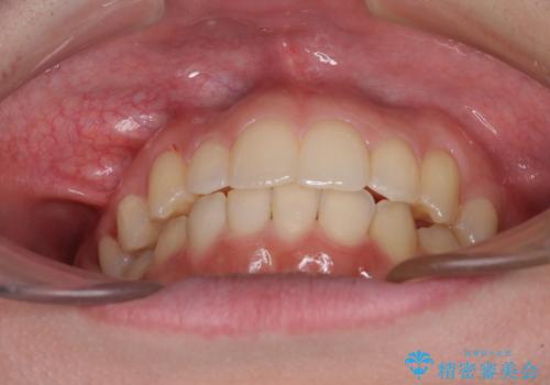
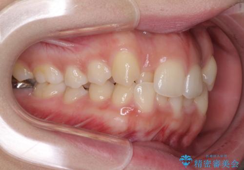
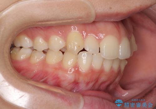
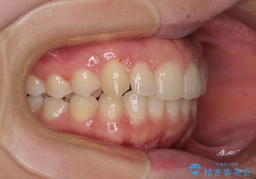
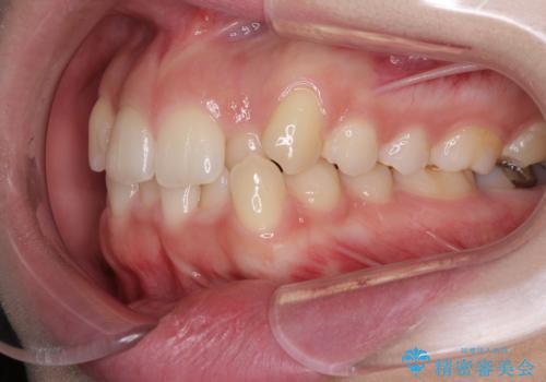
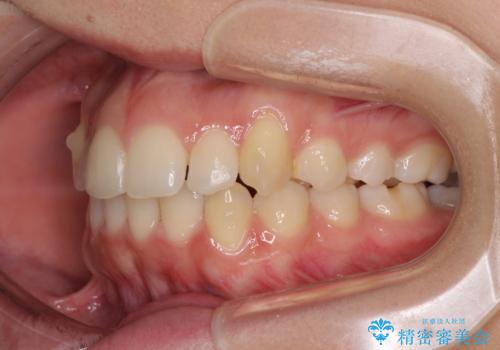
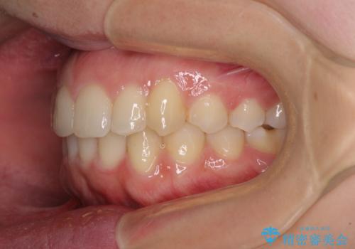
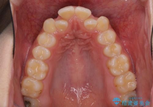
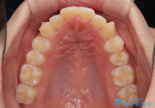
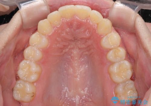
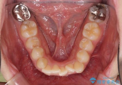
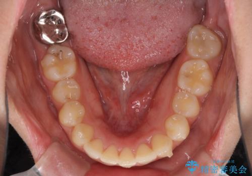
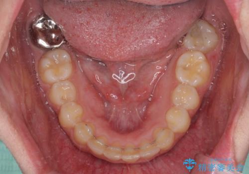
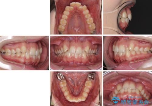
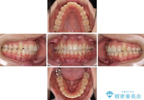
- 前歯のデコボコと八重歯を気にして来院された患者様です。
叢生の程度は中等度であったため、IPR(歯と歯の間を削る)と歯列の側方拡大をメインに、インビザラインを用いて歯列を改善することとしました。
また、下顎骨の右側変位による右側臼歯の咬合を改善させるよう試みることとしました。
- 費用(概算)
- 治療費の目安: 85万円費用は治療当時の料金となります
治療について
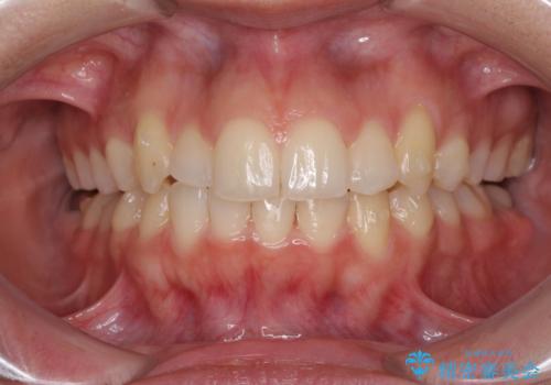
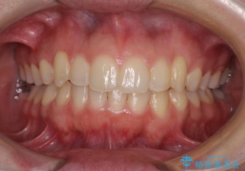
右側の咬合改善を目標に様々な手法を用いましたが、骨格的なズレによる不正咬合はインビザラインでは改善することができませんでした。
マウスピース矯正の注意事項(リスク・副作用など)
- 口腔内・歯並びの状態によっては対応できない場合があります
- マウスピース型矯正装置の長時間装着(1日20時間以上)が必須です
- 治療計画通りに進めるためには、患者様の意志が重要になります
- 矯正治療後の保定が不十分だと後戻り(元の位置に戻ろうとする動き)をします
- 薬機法対象外の矯正歯科装置のため医薬品副作用被害救済制度の対象外となる場合があります
- 自費診療(保険適用外)となります
当サイトの内容、テキスト、画像等の無断転載、複製、複写、盗用を固く禁じます。


























