症例詳細
Case detail
話しにくく見栄えの悪い前歯 オールセラミックブリッジ
治療症例の内容
- 診療科目
- 治療カテゴリ
- 担当医
- 藤巻太一朗(ドクタープロフィール)
- 患者様
- 50代男性
- 治療期間
- 2ヶ月
- 治療回数
- 2-5回
- 治療計画
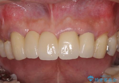
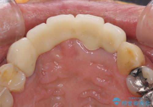
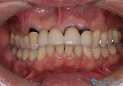
- 前歯のブリッジのせいで話しにくく、金属の縁などが露出して見栄えが悪いので、作り直したいとのことで来院された患者様です。
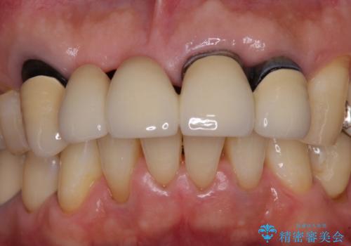
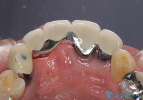
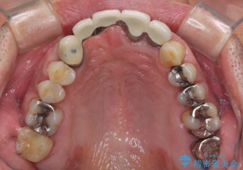
土台となる歯は根管治療の結果が良好ではないため、根管治療からやり直しをした後、オールセラミックブリッジにて補綴することとしました。
- 費用(概算)
- 治療費の目安: 130万円費用は治療当時の料金となります
治療について
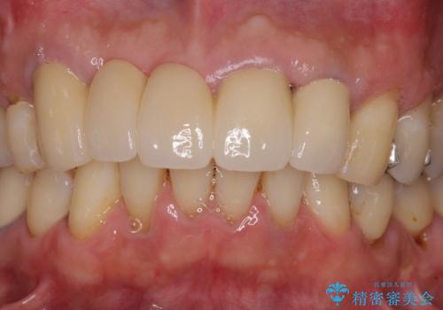
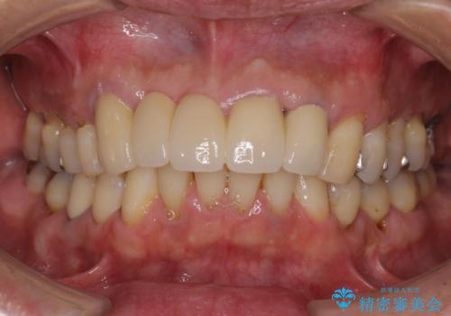
露出していた歯根や金属の縁が見えてしまい、人前で話すときの目線が気になっていらっしゃいましたが、歯肉の位置に縁を合わせてことで自然な仕上がりとなりました。
露出していた歯根が覆われるため、歯冠が長く見えてしまうことが懸念されましたが特に気になることはなく、患者様には大変満足していただきました。
セラミック治療の注意事項(リスク・副作用など)
- 天然歯を削ります
- 硬い素材は天然歯を傷つけてしまう場合があります
- かみ合わせや歯ぎしりが強すぎる方はセラミックが割れてしまう可能性があります
- 自費診療(保険適用外治療)となります
当サイトの内容、テキスト、画像等の無断転載、複製、複写、盗用を固く禁じます。












