症例詳細
Case detail
保険診療の変色したクラウン 前歯の審美歯科治療
治療症例の内容
- 診療科目
- 治療カテゴリ
- 担当医
- 藤巻太一朗(ドクタープロフィール)
- 患者様
- 20代女性
- 治療期間
- 1ヶ月
- 治療回数
- 2-5回
- 治療計画
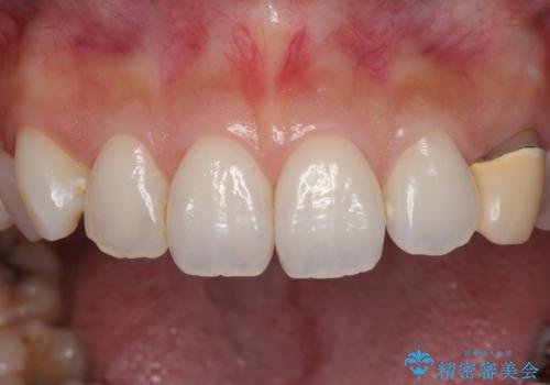
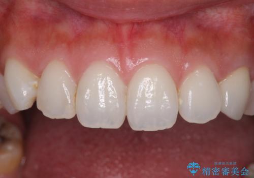
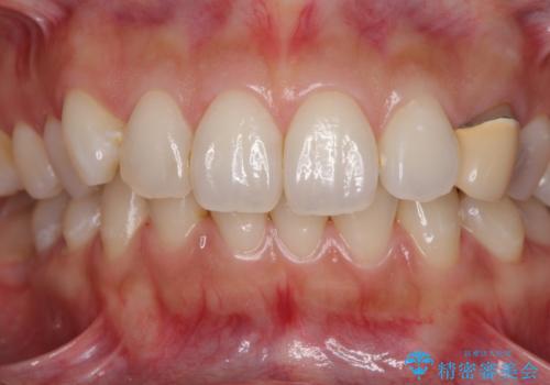
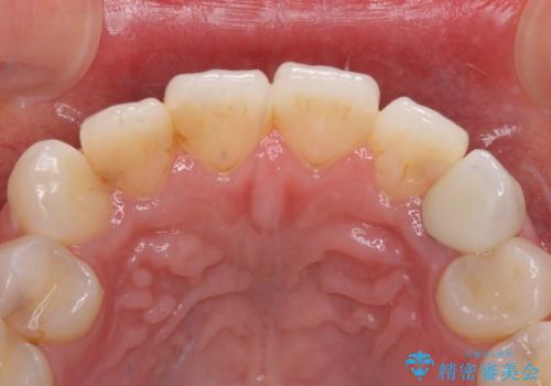
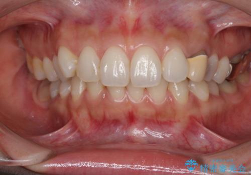
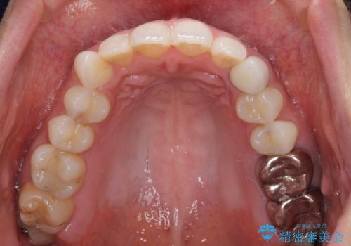
- 前歯の保険のかぶせものをセラミックに替えたいと来院された患者様です。
保険のかぶせもの特有の変色や縁の金属色、歯根が一部見えている点が気になるとのことでした。
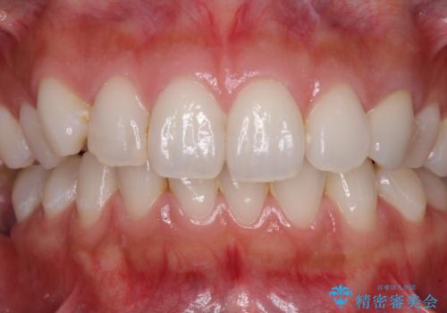
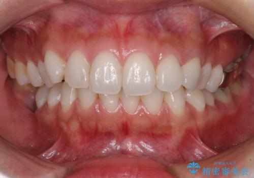
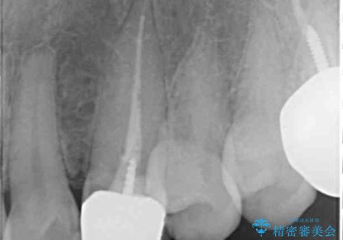
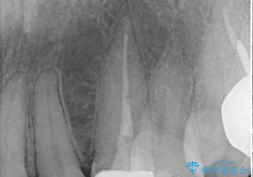
土台の金属を除去してファイバーコアによる土台植立を行い、オールセラミッククラウンにて補綴することとしました。
- 費用(概算)
- 治療費の目安: 16万円費用は治療当時の料金となります
治療について
保険診療では樹脂を用いた素材で製作するため、水分が吸収されやすく、一緒に色素が取り込まれるために変色をしてしまいます。
また、裏打ちに主に銀を用いた金属材料を使用するため、金属自体が黒くなったり、イオンとなり溶け出したりして、歯肉ラインが黒くなってしまうことがあります。
前歯1本の治療では、オールセラミッククラウンといえども周囲と調和しなければ自然な仕上がりにはなりません。
今回は既製の色調のセラミックを選択されましたが、もっと色合いにこだわりたい場合には、オーダーメイドタイプのセラミッククラウンをご選択いただいています。
セラミック治療の注意事項(リスク・副作用など)
- 天然歯を削ります
- 硬い素材は天然歯を傷つけてしまう場合があります
- かみ合わせや歯ぎしりが強すぎる方はセラミックが割れてしまう可能性があります
- 自費診療(保険適用外治療)となります
当サイトの内容、テキスト、画像等の無断転載、複製、複写、盗用を固く禁じます。














