症例詳細
Case detail
被せ物がかけた 綺麗で丈夫なセラミックのブリッジへ 60代女性
治療症例の内容
- 診療科目
- 治療カテゴリ
- 担当医
- 患者様
- 60代女性
- 治療期間
- 2ヶ月
- 治療回数
- 2-5回
- 治療計画
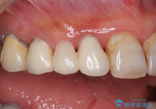
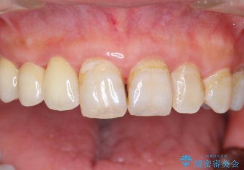
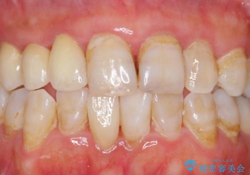
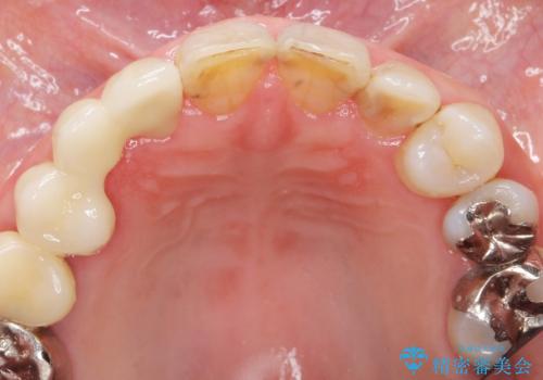
- 被せ物がかけてしまったことを主訴に来院された患者様です。
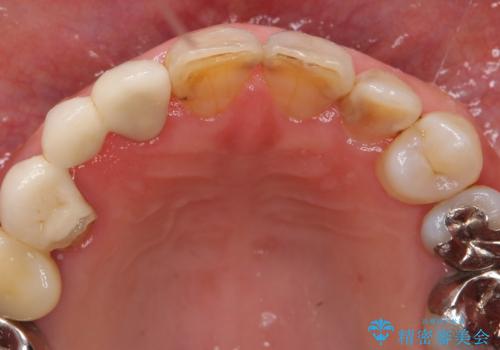
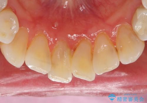
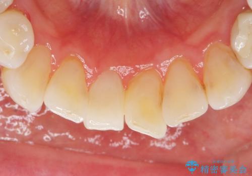
口腔内を精査したところ、右上のブリッジの内側(口蓋側)がかけており、下の前歯(右下1)には唇舌側に瘻孔を伴う大きな根尖病変ができていました。
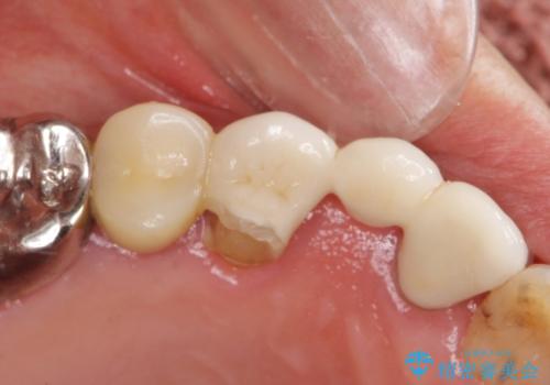
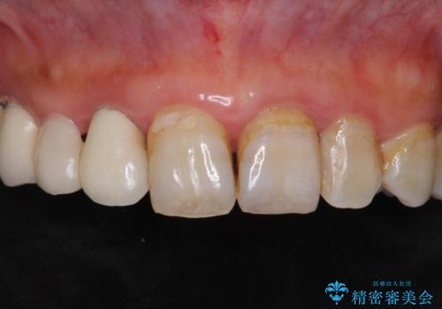
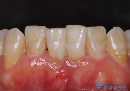
右上のブリッジ(右上④3②)のやりかえと、下の前歯(右下1)の根管治療を行った後セラミッククラウンによる補綴治療を行いました。
とにかく早く終わらせたいとのご希望により、1回の治療時間を長くおとりして治療期間の短縮に努めました。
(初診を含め、治療期間:2ヶ月、来院回数:7回)
- 費用(概算)
- ¥490,000 (根管治療×1本、土台×1本、仮歯×4本、クラウン×4本)費用は治療当時の料金となります
治療について
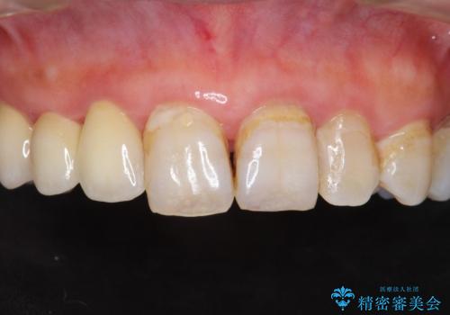
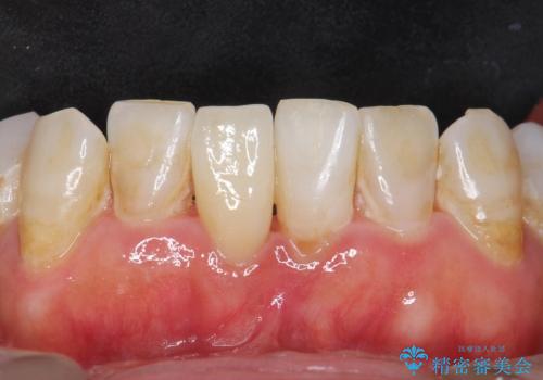
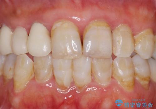
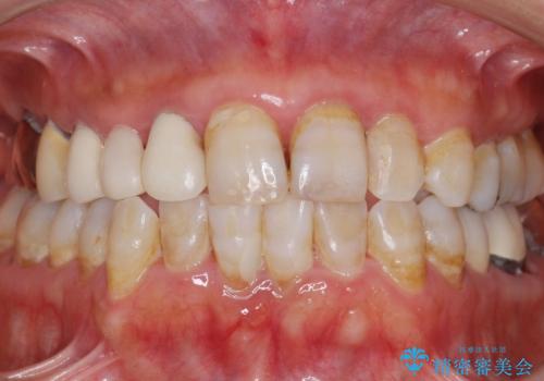
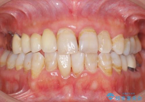
ブリッジとクラウンの自然な仕上がりと咬み心地に喜んで下さいました。
精密な根管治療により、下の前歯の歯ぐきにできていた瘻孔もなくなりました。
短期間(2ヶ月)でしっかりとした治療が受けられたとご満足頂けました。
~クラウンの種類~
右上④3②ブリッジ:オールセラミッククラウン スタンダード
右下1クラウン:オールセラミッククラウン エコノミー
セラミック治療の注意事項(リスク・副作用など)
- 天然歯を削ります
- 硬い素材は天然歯を傷つけてしまう場合があります
- かみ合わせや歯ぎしりが強すぎる方はセラミックが割れてしまう可能性があります
- 自費診療(保険適用外治療)となります
根管治療の注意事項(リスク・副作用など)
- 根管治療により類似の全ての症例の問題が解決するわけではなく、症例はあくまでも一例です
- 根管治療により痛みや腫れがひかない事や、術後に痛みや腫れが生じる事、治療によるファイル破折やパーフォレーションなどの偶発症、術後の歯根破折を生じる可能性もあります
- 自費診療(保険適用外)となります
当サイトの内容、テキスト、画像等の無断転載、複製、複写、盗用を固く禁じます。
























