症例詳細
Case detail
Kポップアイドルのような歯にしたい! 20代男性
治療症例の内容
- 診療科目
- 担当医
- 患者様
- 20代男性
- 治療期間
- 3ヶ月
- 治療回数
- 2-5回
- 治療計画
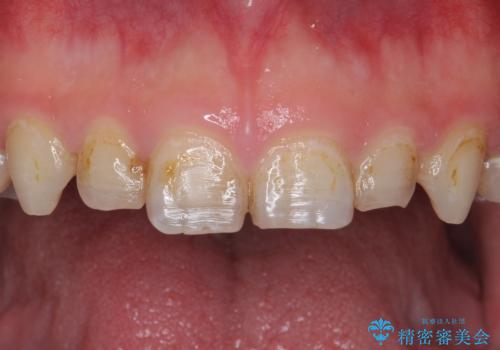
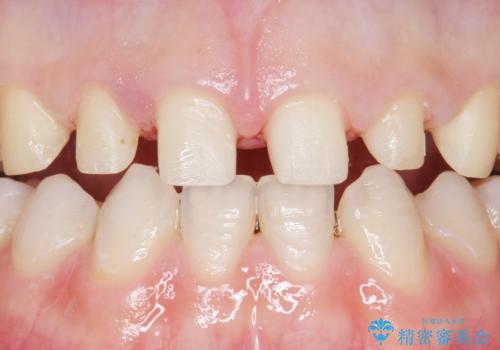
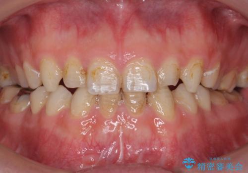
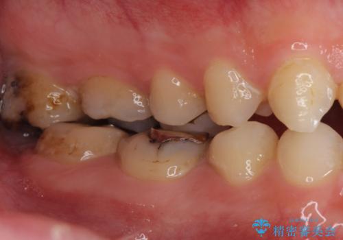
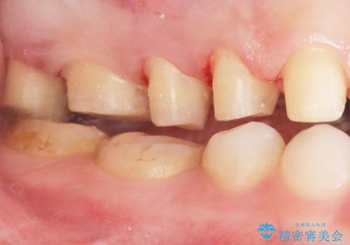
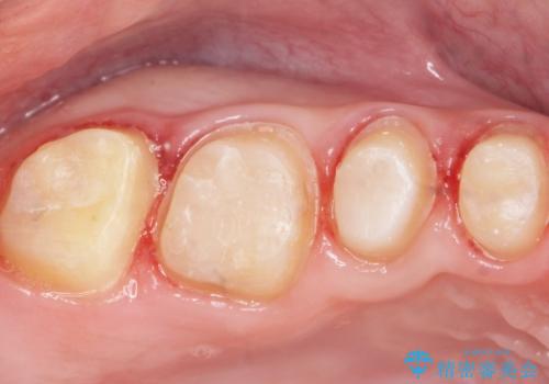
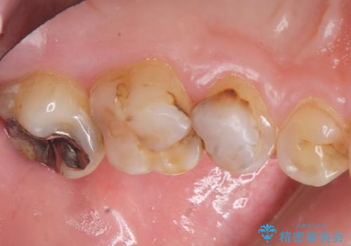
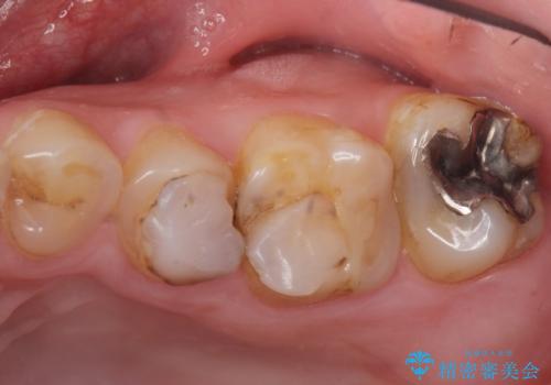
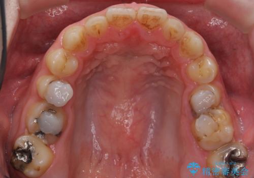
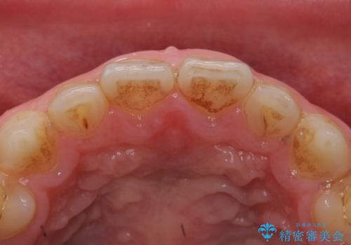
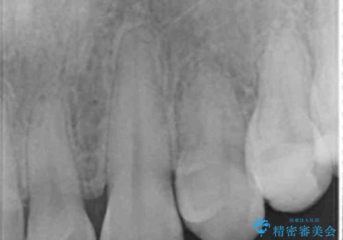
- K-POP(Kポップ)アイドルのような歯にしたいと希望され来院された患者様です。
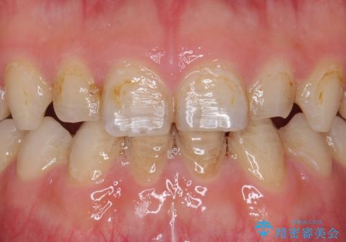
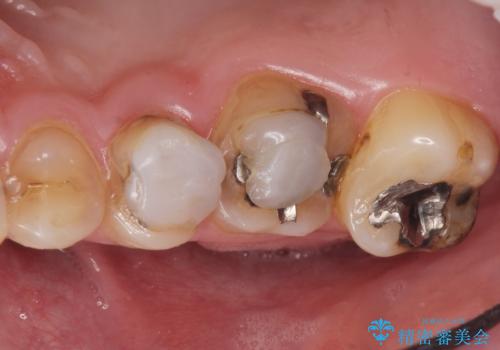
矯正を途中でやめてしまったとのことで、歯に矯正の接着材が残っており着色も顕著でした。
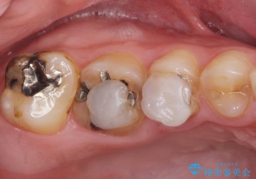
奥歯の咬合面にはレジンが盛られた状態でした。
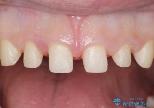
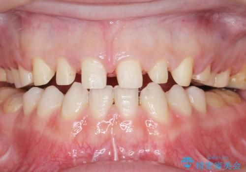
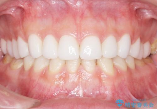
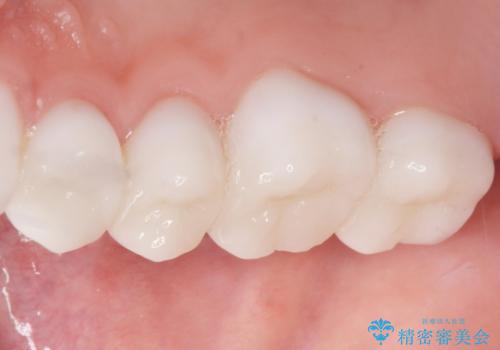
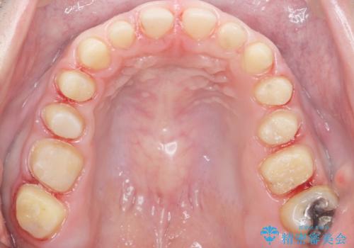
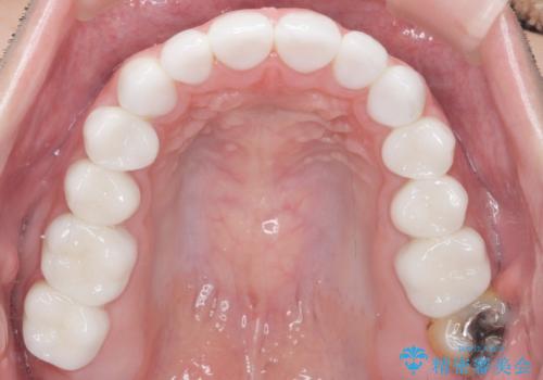
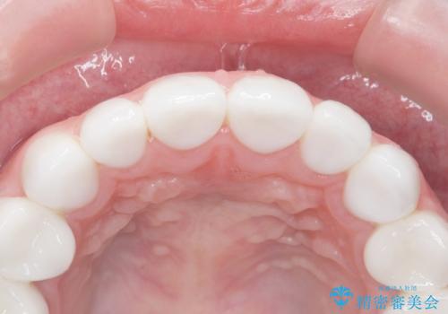
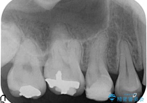
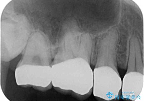
見た目と咬み合わせを改善するため、セラミッククラウンによる治療を行いました。
- 費用(概算)
- ¥1,430,000 (仮歯×13本、クラウン×13本)費用は治療当時の料金となります
治療について
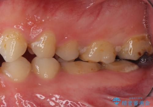
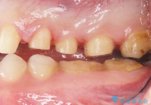
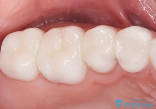
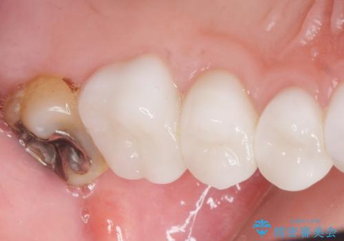
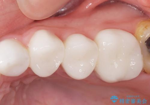
綺麗な仕上がりにご満足下さいました。
奥歯の咬み合わせも良くなったと喜んで頂けました。
患者様の理想とする韓流アイドルの写真を技工士さんに送り、最終的なクラウンの形や色をできるだけ理想に近づけられるよう努めました。
下顎はホワイトニングを行っております。
「今後も繰り返しホワイトニングをして白さを追求していきます!」とおっしゃって下さいました。
クラウンの種類:オールセラミッククラウン スタンダード
セラミック治療の注意事項(リスク・副作用など)
- 天然歯を削ります
- 硬い素材は天然歯を傷つけてしまう場合があります
- かみ合わせや歯ぎしりが強すぎる方はセラミックが割れてしまう可能性があります
- 自費診療(保険適用外治療)となります
当サイトの内容、テキスト、画像等の無断転載、複製、複写、盗用を固く禁じます。














































