症例詳細
Case detail
[ 審美歯科 ]前歯のブリッジをやりかえたい
治療症例の内容
- 診療科目
- 治療カテゴリ
- 担当医
- 大元洋佑(ドクタープロフィール)
- 患者様
- 20代男性
- 治療期間
- 6ヶ月
- 治療回数
- 2-5回
- 治療計画
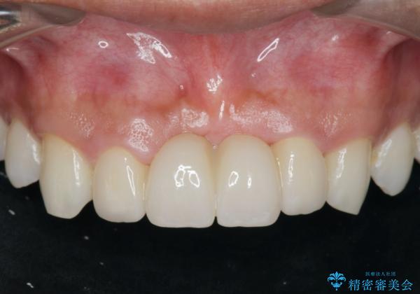
- 幼少期に歯をぶつけて歯が折れ、その際に製作したブリッジをより審美的にやりかえたいと希望され来院されました。
X線写真から支台となる歯の吸収が見られるので、抜歯を行い新しく審美的なブリッジを装着できるよう治療を計画します。
- 費用(概算)
- 44万円(仮歯・ファイバーコア・ジルコニアクラウン×4)費用は治療当時の料金となります
前歯のブリッジ治療について
金属を使わないジルコニアブリッジでやりかえることで自然な透明感のある審美的なブリッジにやり変えることができました。
セラミック治療の注意事項(リスク・副作用など)
- 天然歯を削ります
- 硬い素材は天然歯を傷つけてしまう場合があります
- かみ合わせや歯ぎしりが強すぎる方はセラミックが割れてしまう可能性があります
- 自費診療(保険適用外治療)となります
当サイトの内容、テキスト、画像等の無断転載、複製、複写、盗用を固く禁じます。

![[ 審美歯科 ]前歯のブリッジをやりかえたいの治療前](https://seimitsushinbi.jp/wp/wp-content/uploads/2021/06/cbe211d7933d903b4d598dc115cdabae-500x350.jpg?v=1623988680)
![[ 審美歯科 ]前歯のブリッジをやりかえたいの治療中](https://seimitsushinbi.jp/wp/wp-content/uploads/2021/06/d37590a7f6cc409cc0a269e4c71e7658-500x350.jpg?v=1623988689)
![[ 審美歯科 ]前歯のブリッジをやりかえたいの治療後](https://seimitsushinbi.jp/wp/wp-content/uploads/2021/06/41e62ec4756c704eb3b8077ef9b2f37d-500x350.jpg?v=1623988706)
![[ 審美歯科 ]前歯のブリッジをやりかえたいの治療前](https://seimitsushinbi.jp/wp/wp-content/uploads/2021/06/CI1-side-500x350.jpg?v=1623988712)
![[ 審美歯科 ]前歯のブリッジをやりかえたいの治療中](https://seimitsushinbi.jp/wp/wp-content/uploads/2021/06/60fc4e478a621dfbf33cbe0817bdb0f6-500x350.jpg?v=1623988693)
![[ 審美歯科 ]前歯のブリッジをやりかえたいの治療後](https://seimitsushinbi.jp/wp/wp-content/uploads/2021/06/CI3-side-500x350.jpg?v=1623988714)
![[ 審美歯科 ]前歯のブリッジをやりかえたいの治療前](https://seimitsushinbi.jp/wp/wp-content/uploads/2021/06/8356dbd359d01bcbfb369e208695ee06-500x350.jpg?v=1623988676)
![[ 審美歯科 ]前歯のブリッジをやりかえたいの治療後](https://seimitsushinbi.jp/wp/wp-content/uploads/2021/06/b6488efa9aee7b997214cf515ea1804a-500x350.jpg?v=1623988702)
![[ 審美歯科 ]前歯のブリッジをやりかえたいの治療前](https://seimitsushinbi.jp/wp/wp-content/uploads/2021/06/f505defce5fa6d774f1962bd52983924-500x350.jpg?v=1623988684)
![[ 審美歯科 ]前歯のブリッジをやりかえたいの治療後](https://seimitsushinbi.jp/wp/wp-content/uploads/2021/06/3c40b5115b5a5781bfd498e7dabdb1f2-500x350.jpg?v=1623988711)