症例詳細
Case detail
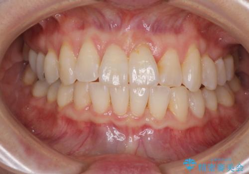
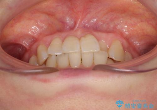
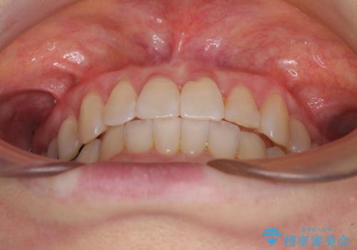
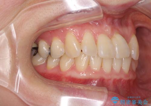
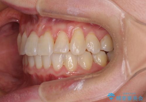
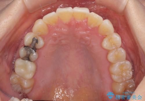
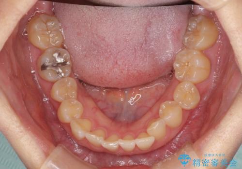
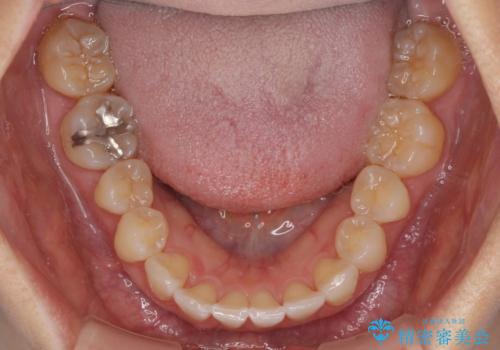
前歯のクロスバイト インビザライン矯正で改善
治療症例の内容
- 診療科目
- 担当医
- 藤巻太一朗(ドクタープロフィール)
- 患者様
- 40代女性
- 矯正装置
- インビザライン
- 治療期間
- 1年8ヶ月
- 治療回数
- 30回以上
- 治療計画
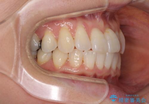
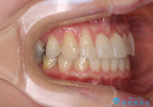
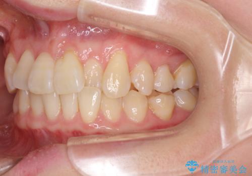
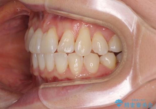
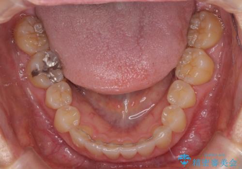
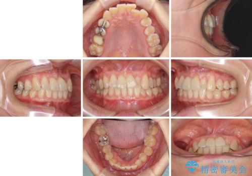
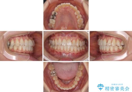
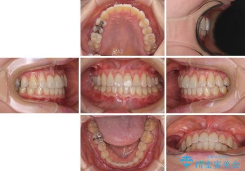
- むし歯治療を契機に、長年気にしていた前歯のクロスバイトの改善を希望された患者様です。
汚れが溜まりやすく、歯ぎしりがうまくできないため、インビザラインを用いて矯正治療を行うこととしました。
- 費用(概算)
- 治療費の目安: 75万円費用は治療当時の料金となります
治療について
インビザラインによる前歯のクロスバイトの改善は、治療期間中に前歯でしか咬めない時期が続いたり、歯肉退縮や歯髄壊死のリスクが高まったりと、治療中にトラブルを抱えることがあります。
特に上顎側切歯(真ん中から2番目の歯)が舌側に引っ込んでいるケースは、インビザラインでは改善しきれないことがあると言われています。
マウスピース矯正の注意事項(リスク・副作用など)
- 口腔内・歯並びの状態によっては対応できない場合があります
- マウスピース型矯正装置の長時間装着(1日20時間以上)が必須です
- 治療計画通りに進めるためには、患者様の意志が重要になります
- 矯正治療後の保定が不十分だと後戻り(元の位置に戻ろうとする動き)をします
- 薬機法対象外の矯正歯科装置のため医薬品副作用被害救済制度の対象外となる場合があります
- 自費診療(保険適用外)となります
当サイトの内容、テキスト、画像等の無断転載、複製、複写、盗用を固く禁じます。


























