症例詳細
Case detail
転んで前歯が2本ぬけた 自然なブリッジへ 60代男性
治療症例の内容
- 診療科目
 
- 治療カテゴリ
 
- 担当医
 
- 患者様
 - 60代男性
 
- 治療期間
 - 5ヶ月
 
- 治療回数
 - 2-5回
 
- 治療計画
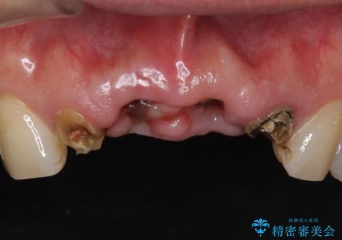
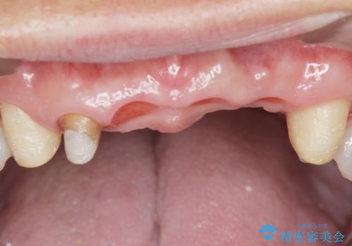
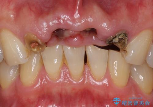
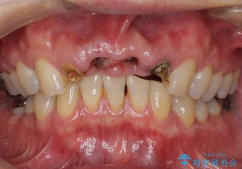
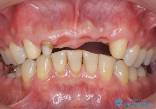
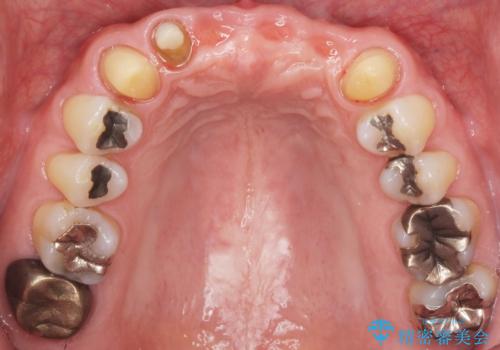
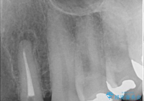
 - お風呂場で転んで上の前歯が2本抜けてしまったことを主訴に来院された患者様です。
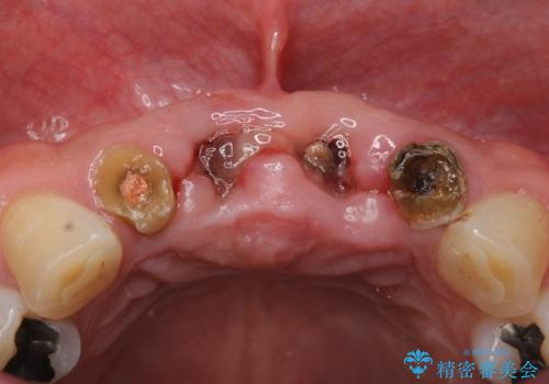
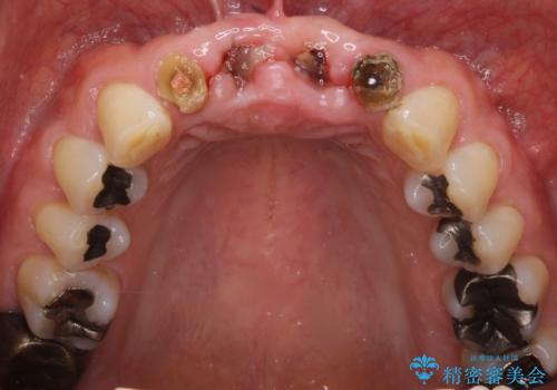
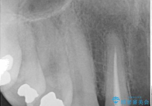
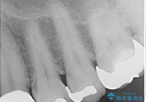
精査したところ、左上の側切歯(左上2)も破折しており保存不可能な状態でした。
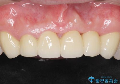
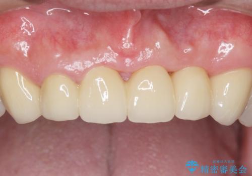
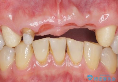
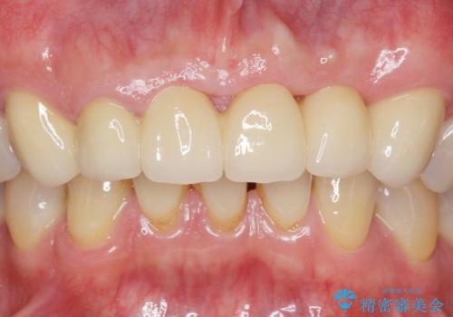
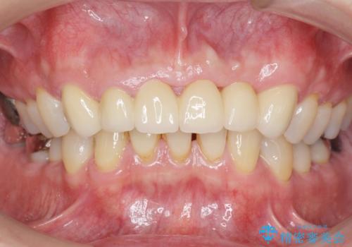
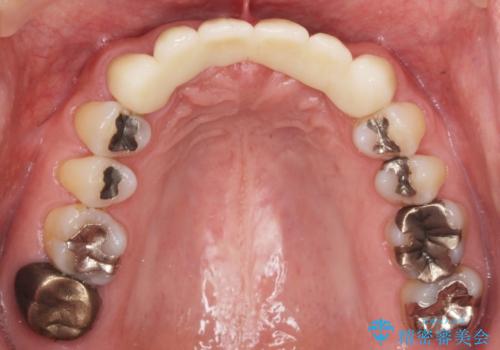
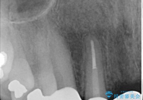
左上の側切歯(左上2)を抜去し、右上の側切歯(右上2)の再根管治療後、セラミックのブリッジによる補綴を行いました。
 
- 費用(概算)
 - ¥770,000 (根管治療×1本、土台×1本、仮歯×6本、クラウン×6本)費用は治療当時の料金となります
 
治療について
自然な仕上がりと咬み心地に大変ご満足頂けました。
「以前は出っ歯だったのにブリッジにしたことで歯並びもきれいになった!」と喜んで下さいました。
クラウンの種類:オールセラミッククラウン スタンダード
セラミック治療の注意事項(リスク・副作用など)
- 天然歯を削ります
 - 硬い素材は天然歯を傷つけてしまう場合があります
 - かみ合わせや歯ぎしりが強すぎる方はセラミックが割れてしまう可能性があります
 - 自費診療(保険適用外治療)となります
 
当サイトの内容、テキスト、画像等の無断転載、複製、複写、盗用を固く禁じます。

                      
                                                          
























