症例詳細
Case detail
歯の位置異常 はやく治したい 矯正は嫌 20代女性
治療症例の内容
- 診療科目
- 治療カテゴリ
- 担当医
- 患者様
- 20代女性
- 治療期間
- 4ヶ月
- 治療回数
- 2-5回
- 治療計画
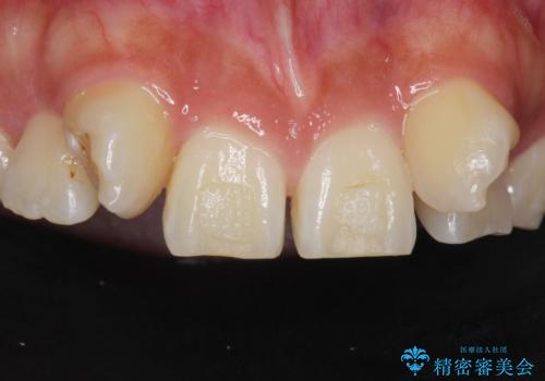
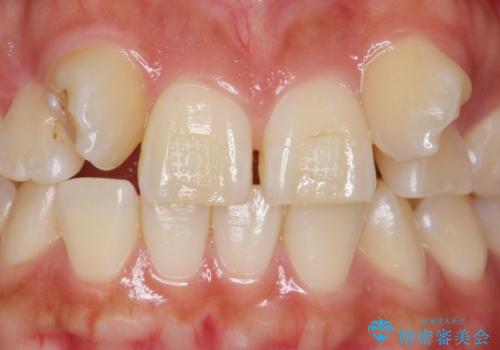
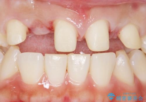
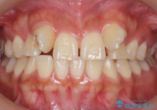
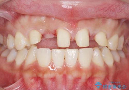
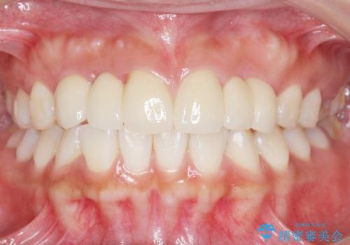
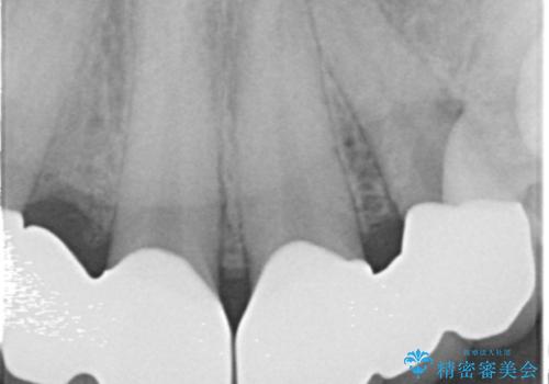
- 生まれつき上の側切歯と犬歯が逆に生えていることを主訴に来院された患者様です。
他院で矯正を行っていたそうですが、なかなか終わらないため途中で治療をやめてしまったとのことでした。
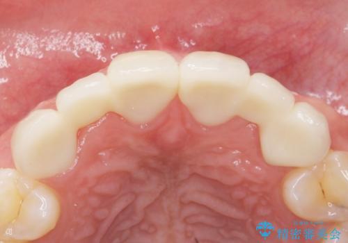
矯正以外の治療法で早く治したいとのご希望により、上顎両側犬歯を抜去しオールセラミックのブリッジによる補綴治療を行いました。
- 費用(概算)
- ¥660,000 (仮歯×6本、クラウン×6本)費用は治療当時の料金となります
治療について
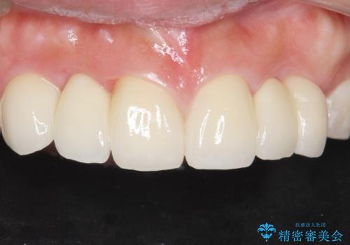
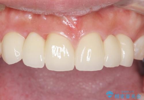
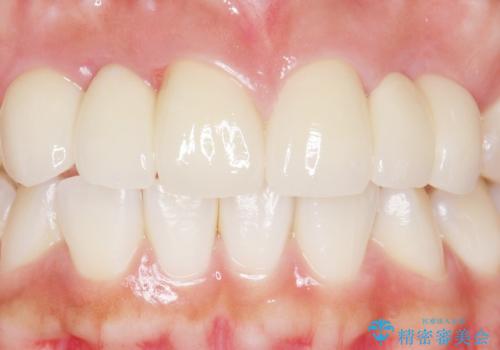
自然な仕上がりにご満足頂けました。
治療終了後、奥歯に残っていた矯正の接着剤を除去し、ホワイトニングも行いました。
クラウンの種類:オールセラミッククラウン スタンダード
セラミック治療の注意事項(リスク・副作用など)
- 天然歯を削ります
- 硬い素材は天然歯を傷つけてしまう場合があります
- かみ合わせや歯ぎしりが強すぎる方はセラミックが割れてしまう可能性があります
- 自費診療(保険適用外治療)となります
当サイトの内容、テキスト、画像等の無断転載、複製、複写、盗用を固く禁じます。
























