症例詳細
Case detail
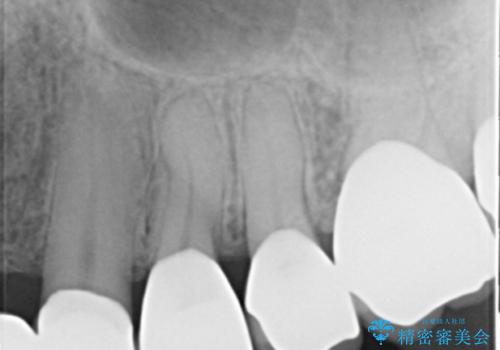
奥歯の被せ物のやり直し 精密根管治療
治療症例の内容
- 患者様
- 40代女性
- 治療期間
- 3ヶ月
- 治療回数
- 2-5回
- 治療計画
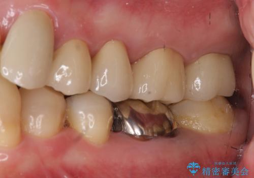
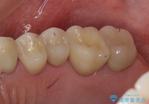
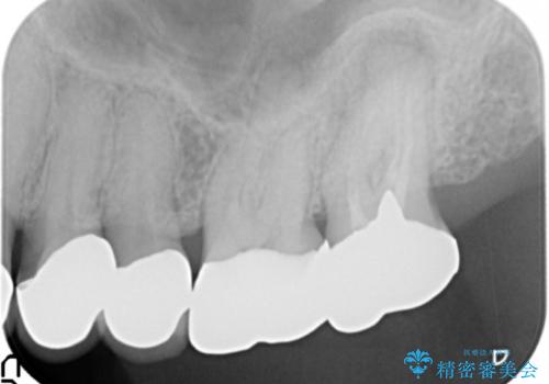
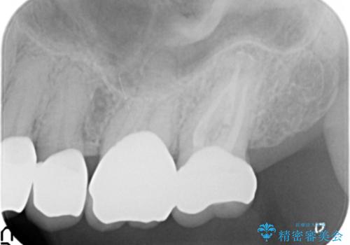
- 左上の一番奥の歯の根の治療を行いつつ、手前の歯の被せ物のやり直しも一緒に行いました。
手前の被せ物は、メタルボンドクラウンだったため、歯ぐきとの境目が黒くなっていたためやり直しを行いました。
オールジルコニアクラウンに変え、審美的な被せ物になりました。
- 費用(概算)
- 約70万円 内訳:ジルコニアクラウン10万円x4、TeC 1万円x4 根管治療15万円、ファイバーコア2万円費用は治療当時の料金となります
治療について
根の治療は当法人の根管治療の認定医である林先生にお願いしました。
セラミック治療の注意事項(リスク・副作用など)
- 天然歯を削ります
- 硬い素材は天然歯を傷つけてしまう場合があります
- かみ合わせや歯ぎしりが強すぎる方はセラミックが割れてしまう可能性があります
- 自費診療(保険適用外治療)となります
根管治療の注意事項(リスク・副作用など)
- 根管治療により類似の全ての症例の問題が解決するわけではなく、症例はあくまでも一例です
- 根管治療により痛みや腫れがひかない事や、術後に痛みや腫れが生じる事、治療によるファイル破折やパーフォレーションなどの偶発症、術後の歯根破折を生じる可能性もあります
- 自費診療(保険適用外)となります
当サイトの内容、テキスト、画像等の無断転載、複製、複写、盗用を固く禁じます。











