症例詳細
Case detail
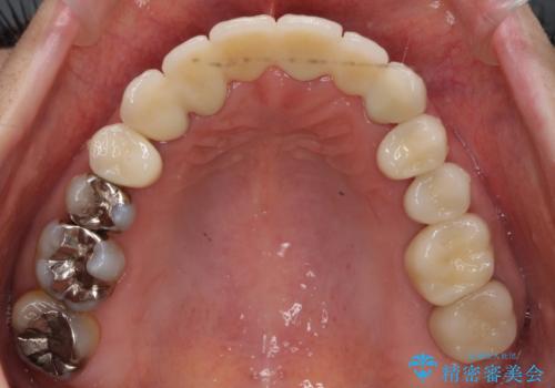
前歯のブリッジの下が虫歯 ブリッジのやりかえ
治療症例の内容
- 担当医
- 井上季実子(ドクタープロフィール)
- 患者様
- 40代女性
- 治療期間
- 6ヶ月
- 治療回数
- 2-5回
- 治療計画
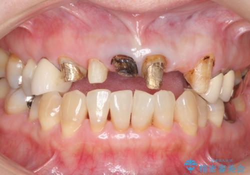
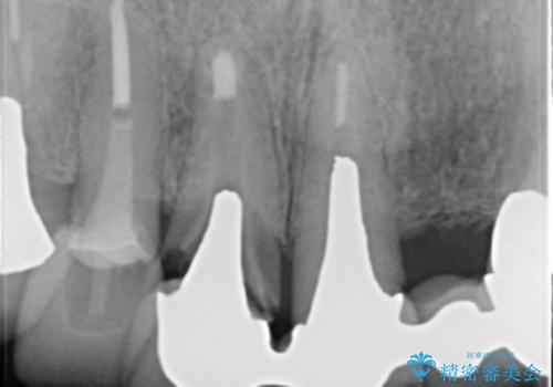
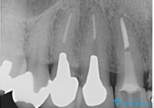
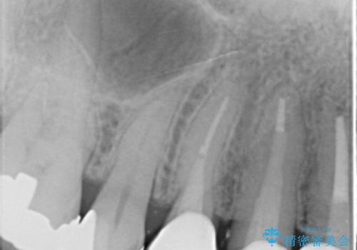
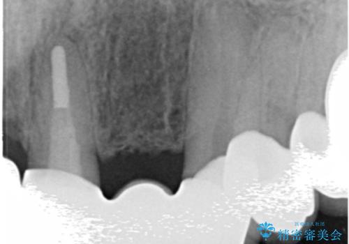
- 若い時に作った前歯のブリッジがの根元が黒くなってきているとのことで来院。
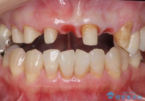
支える歯が1本虫歯がひどく、割れていました。
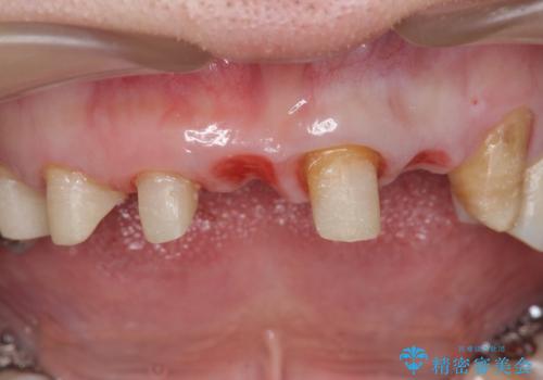
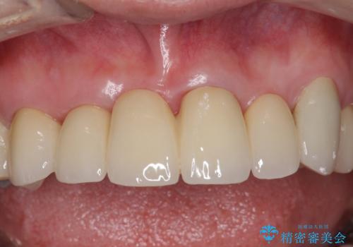
根の治療からやり直して新しいブリッジにしています。
- 費用(概算)
- 約110万円 費用は治療当時の料金となります
治療について
ブリッジの支台歯は、根の再治療を含めて行なっています。
下の歯は、患者様の希望によりホワイトニングを行なっています。
セラミック治療の注意事項(リスク・副作用など)
- 天然歯を削ります
- 硬い素材は天然歯を傷つけてしまう場合があります
- かみ合わせや歯ぎしりが強すぎる方はセラミックが割れてしまう可能性があります
- 自費診療(保険適用外治療)となります
当サイトの内容、テキスト、画像等の無断転載、複製、複写、盗用を固く禁じます。





















