症例詳細
Case detail
20代女性 出っ歯 口元を引っ込めたい
治療症例の内容
- 担当医
- 井上季実子(ドクタープロフィール)
- 患者様
- 20代女性
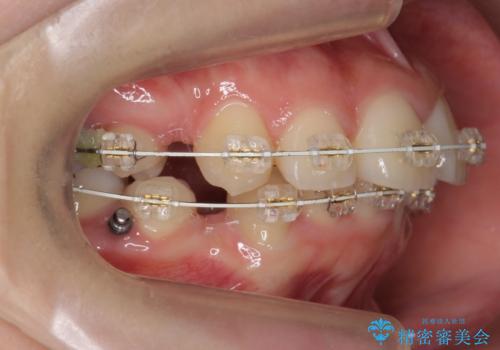
- 矯正装置
- 審美装置
- 治療期間
- 2年1ヶ月
- 治療回数
- 10-30回
- 治療計画
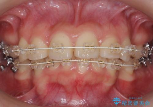
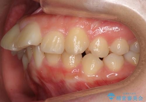
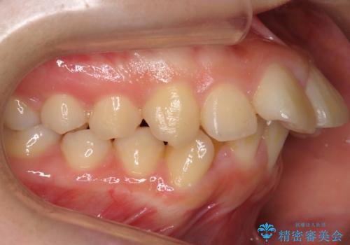
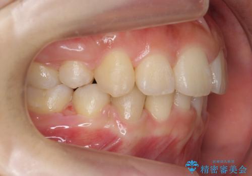
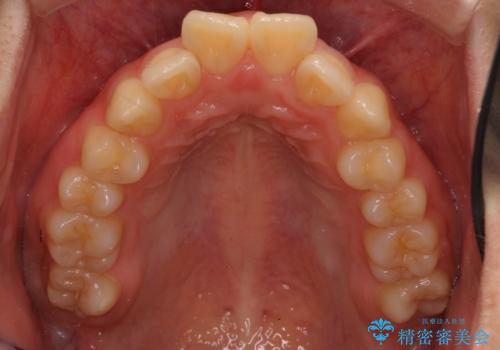
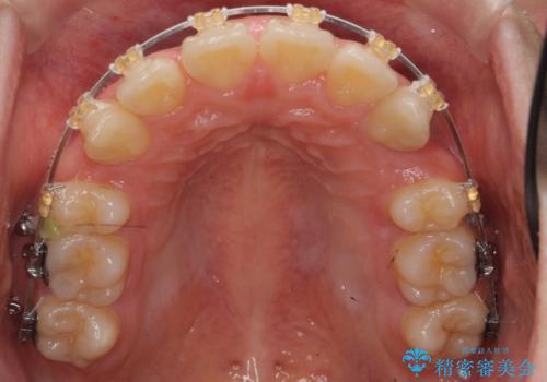
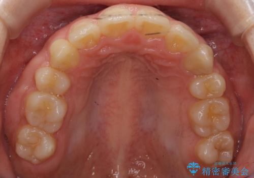
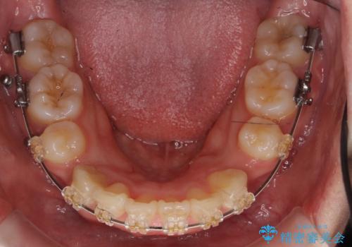
- 出っ歯と前歯を気にして来院。
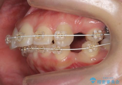
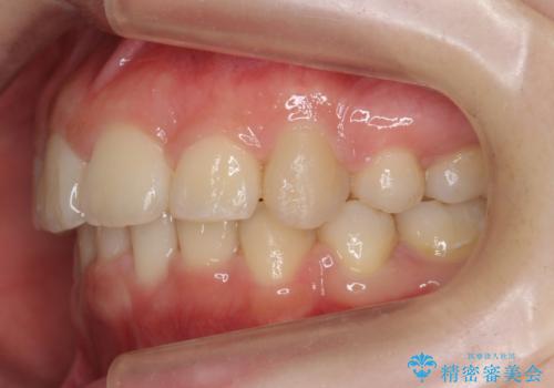
口元を下げたいとのことで、歯を抜いてワイヤー矯正を行いました。
歴史のある古典的な治療法ですが、毎月の通院、歯磨き等、大変手間がかかります。
口元、横顔の変化については、美容整形よりもゆっくりとした自然な変化が期待できます。
- 費用(概算)
- 110万円費用は治療当時の料金となります
治療について
上下左右の小臼歯を抜歯しています。
ワイヤー矯正の注意事項(リスク・副作用など)
- 治療中は違和感や痛みが起こることがあります
- 症状により、抜歯が必要な場合があります
- 治療中は歯磨きがしにくくなるため、虫歯や歯周病になりやすくなります
- 矯正治療後の保定が不十分だと後戻り(元の位置に戻ろうとする動き)をします
- 自費診療(保険適用外)となります
当サイトの内容、テキスト、画像等の無断転載、複製、複写、盗用を固く禁じます。





















