症例詳細
Case detail
奥歯がないまま過ごしていたら前歯もぐらぐらしてきた 60代女性
- 患者様
- 60代女性
- 治療期間
- 1年4ヶ月
- 治療回数
- 5-10回
- 治療計画
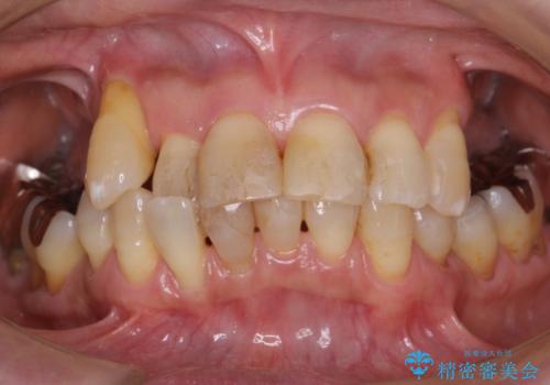
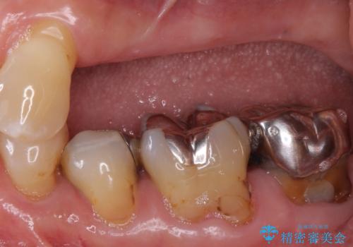
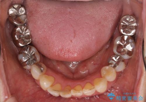
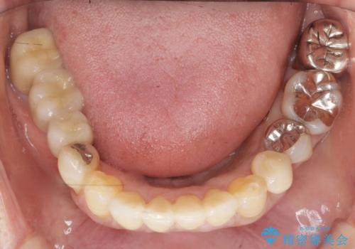
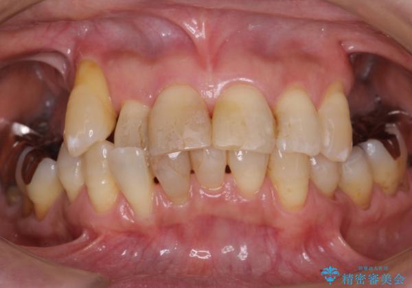
- 上の奥歯がないまま長年過ごしていたら前歯もぐらぐらしてきてしまったことを主訴に来院された患者様です。
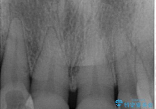
奥歯の咬み合わせがないことにより前歯に負担がかかり動揺が出ていました。
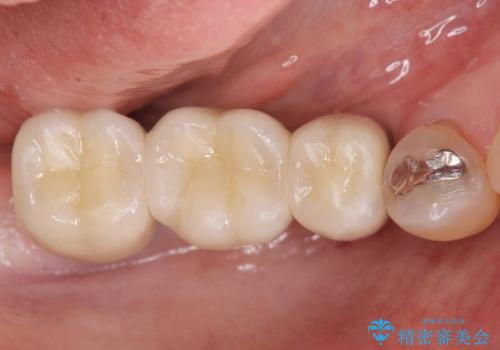
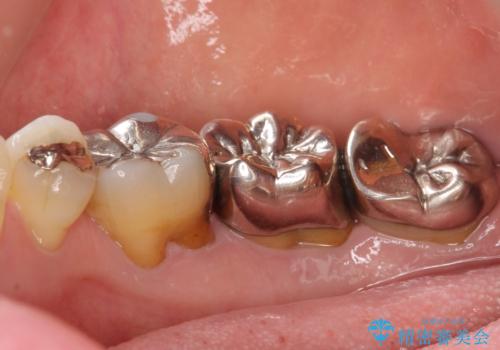
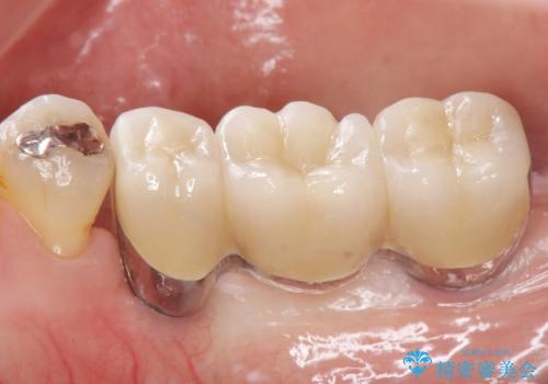
精査したところ右下の奥歯も歯周病により保存不可能な状態でした。
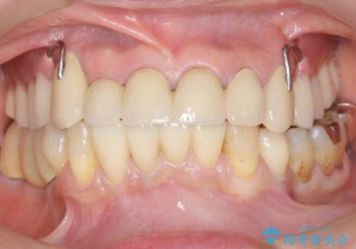
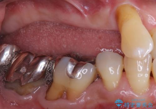
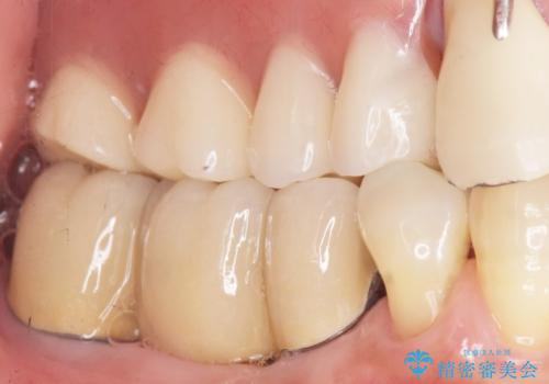
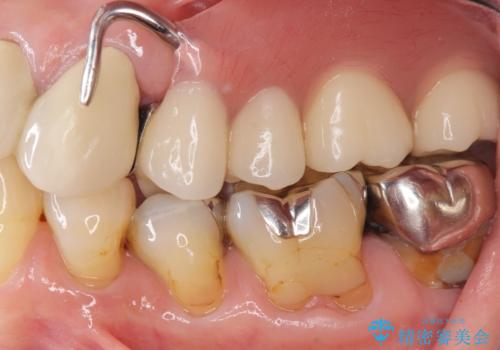
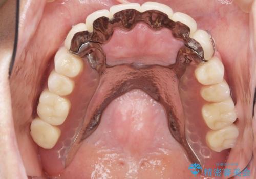
なるべく予算を抑えたいとのご希望から、上顎は入れ歯、右下臼歯部はインプラントによる治療を行いました。
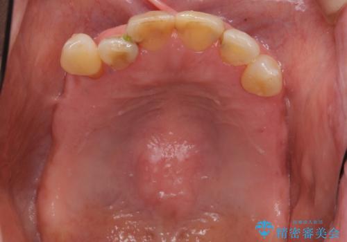
上の前歯は動揺を抑え、入れ歯の着脱にも耐えうるように被せ物を連結させることにしました。
下の前歯の治療に関してはこちらです。→ https://seimitsushinbi.jp/case/68222/
- 費用(概算)
- ¥1,750,000 費用は治療当時の料金となります
治療について
しっかりと咬むことができるようになり喜んで頂けました。
全体的な歯の動揺もなくなり安心して頂けました。
4年経過しましたが問題なく調子が良いとおっしゃって下さいました。
左下のインプラント治療もご希望され、現在治療中です。
被せ物の種類:メタルボンドクラウン エコノミー
インプラントの種類:スプラインツイスト
セラミック治療の注意事項(リスク・副作用など)
- 天然歯を削ります
- 硬い素材は天然歯を傷つけてしまう場合があります
- かみ合わせや歯ぎしりが強すぎる方はセラミックが割れてしまう可能性があります
- 自費診療(保険適用外治療)となります
インプラント治療の注意事項(リスク・副作用など)
- 外科手術のため、術後に痛みや腫れ、違和感を伴います
- メンテナンスを怠ったり喫煙により、お口の中に大きな悪影響を及ぼすインプラント周囲炎等にかかる可能性があります
- 糖尿病、肝硬変、心臓病等の場合、インプラント治療ができない可能性があります
- 高血圧、貧血・不整脈等の場合、インプラント治療後に治癒不全を招く可能性があります
- 自費診療(保険適用外治療)となります
入れ歯の注意事項(リスク・副作用など)
- ブリッジやインプラントと比較して、色が合いづらい、見た目の違和感があります
- ブリッジやインプラントと比較して、話しにくい、舌が当たる等の違和感があります
- 慣れるまで微調整で何度か通って頂くことがあります
- 就寝時や食後に毎回取り外して、清掃する必要があります
- 自費診療(保険適用外)となります
当サイトの内容、テキスト、画像等の無断転載、複製、複写、盗用を固く禁じます。





























