症例詳細
Case detail
歯が割れた 親知らずの移植 30代女性
治療症例の内容
- 診療科目
- 担当医
- 患者様
- 30代女性
- 治療期間
- 3ヶ月
- 治療回数
- 2-5回
- 治療計画
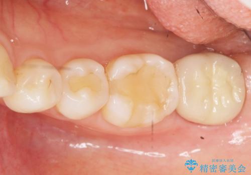
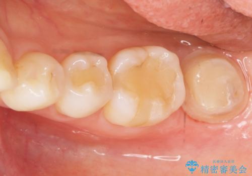
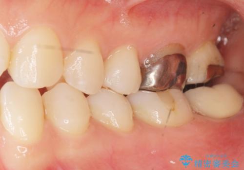
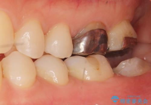
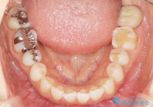
- 昔何回か根管治療した奥歯が膿んでいていて痛みがあることを主訴に来院された患者様です。
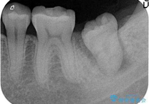
精査したところ、左下の奥歯にはひびが入っていて、保存不可能な状態でした。
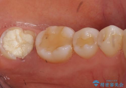
義歯・インプラント・親知らずの移植の選択肢を提案したところ、移植をご希望されました。
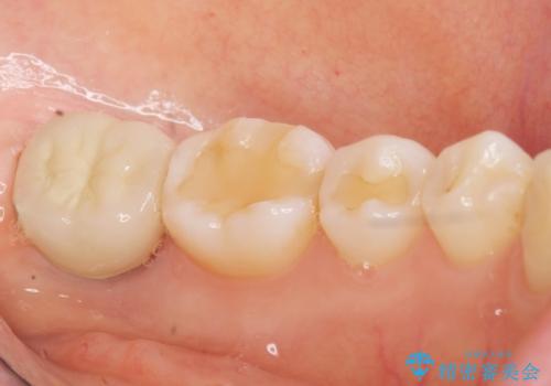
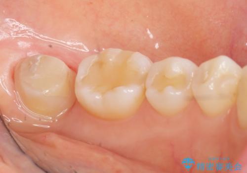
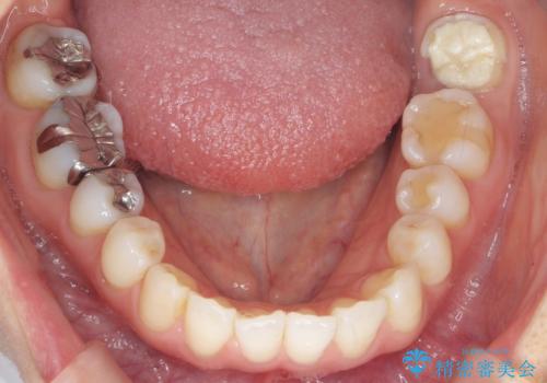
割れている奥歯を抜去後左上の機能していない親知らずを移植し、生着したのち根管治療・補綴を行いました。
- 費用(概算)
- ¥320,000 (親知らずの移植、根管治療、土台、仮歯、被せ物)費用は治療当時の料金となります
治療について
インプラントや義歯を用いることなく咬合を回復することができ、喜んで頂けました。
治療期間も抜歯後3ヶ月以内かつ少ない来院回数(初診含めて6回)で治療を終えることができ、ご満足頂けました。
被せ物の種類:メタルボンドクラウン エコノミー フルベイク
セラミック治療の注意事項(リスク・副作用など)
- 天然歯を削ります
- 硬い素材は天然歯を傷つけてしまう場合があります
- かみ合わせや歯ぎしりが強すぎる方はセラミックが割れてしまう可能性があります
- 自費診療(保険適用外治療)となります
自家歯牙移植の注意事項(リスク・副作用など)
- 外科手術のため、術後に痛みや腫れ、違和感を伴います
- 適応範囲に制限があります(健康な親知らず・移植歯が必要など)
- 移植歯が生着しない可能性があります
- 予後が不安定で歯によっては長く持たない可能性があります
当サイトの内容、テキスト、画像等の無断転載、複製、複写、盗用を固く禁じます。





















