症例詳細
Case detail
状況に応じた前歯の補綴計画
治療症例の内容
- 診療科目
- 治療カテゴリ
- 担当医
- 大元洋佑(ドクタープロフィール)
- 患者様
- 50代女性
- 治療期間
- 7ヶ月
- 治療回数
- 2-5回
- 治療計画
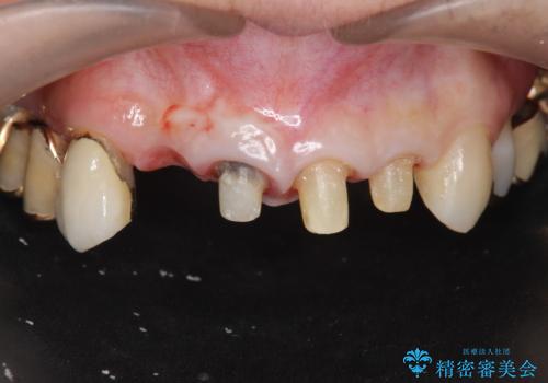
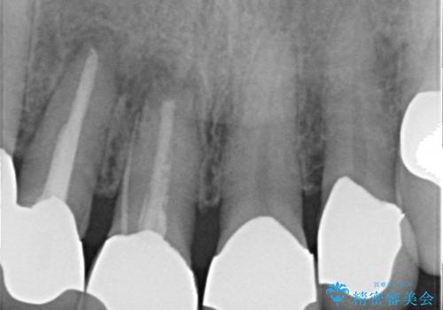
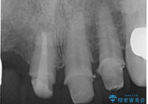
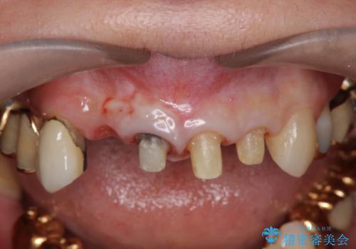
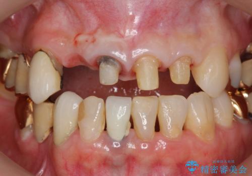
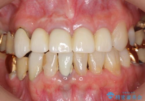
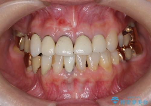
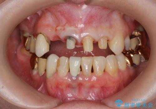
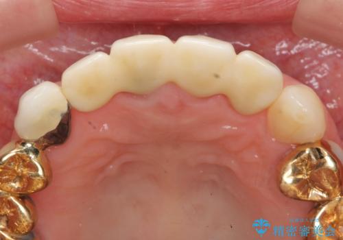
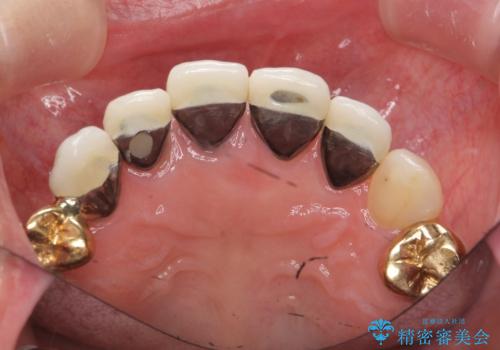
- 前歯の痛み・排膿・ぐらつきの改善を求めて来院されました。
視診・X線写真検査より根尖性歯周炎が認められ再治療が必要な状態です。
再根管治療を行うべくクラウン除去を行ったところ、右上側切歯に保存不可能な垂直性の破折が認められたため抜去が必要になりました。
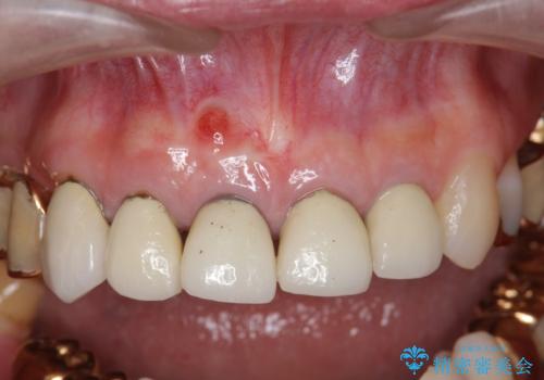
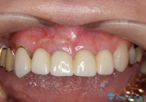
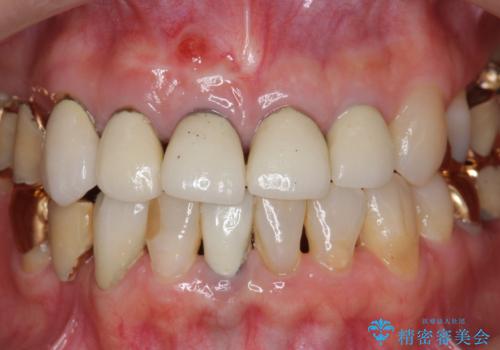
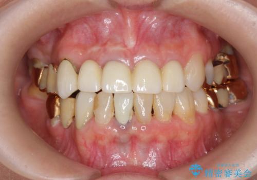
即切歯の抜歯を行う場合犬歯を含めたブリッジによる補綴計画を立てることが多いですが、今回は犬歯から大臼歯にかかる大きなブリッジが既に装着されていたため予算とご希望を相談し前歯のみの延長ブリッジ補綴で治療を行っていくこととしました。
- 費用(概算)
- 54万円(仮歯・感染根管治療・ファイバーコア・ジルコニアクラウン×4) (税別)費用は治療当時の料金となります
治療について
歯列全体を治療の対象とする治療計画が予算や期間により難しい場合、状況に応じて最善の治療結果が出せるよう治療のゴールを相談しながら決定することが可能です。
セラミック治療の注意事項(リスク・副作用など)
- 天然歯を削ります
- 硬い素材は天然歯を傷つけてしまう場合があります
- かみ合わせや歯ぎしりが強すぎる方はセラミックが割れてしまう可能性があります
- 自費診療(保険適用外治療)となります
当サイトの内容、テキスト、画像等の無断転載、複製、複写、盗用を固く禁じます。

























