症例詳細
Case detail
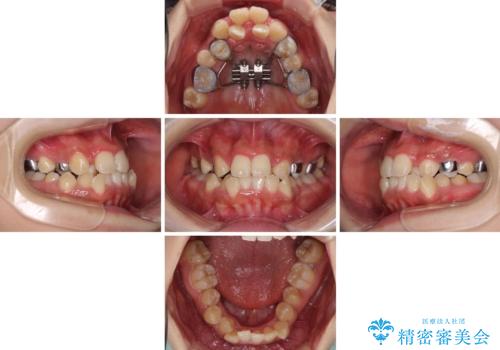
前後に重なった前歯 ワイヤー装置と急速拡大装置を併用したインビザライン矯正
治療症例の内容
- 患者様
- 20代女性
- 矯正装置
- インビザライン
- 治療期間
- 1年10ヶ月
- 治療回数
- 10-30回
- 治療計画
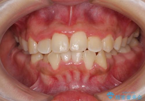
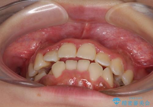
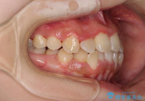
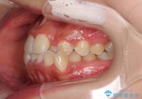
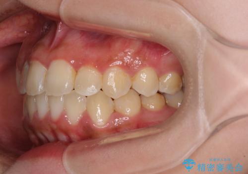
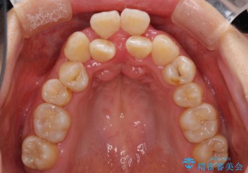
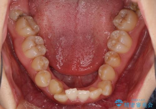
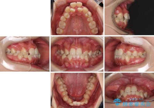
- 前歯の著しい叢生とクロスバイトを気にして来院された患者様です。
叢生が強いため、一見すると抜歯矯正と判断したくなりますが、下顎臼歯が舌側に倒れていることから、上顎骨を側方拡大し、非抜歯矯正の可能性を検討することとしました。
非抜歯矯正が可能となった場合には、インビザラインにて矯正治療を行うこととしました。
- 費用(概算)
- 治療費の目安: 90万円費用は治療当時の料金となります
治療について
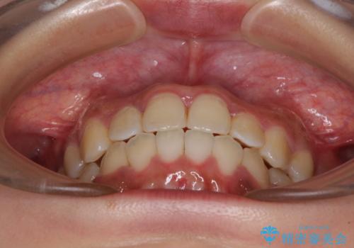
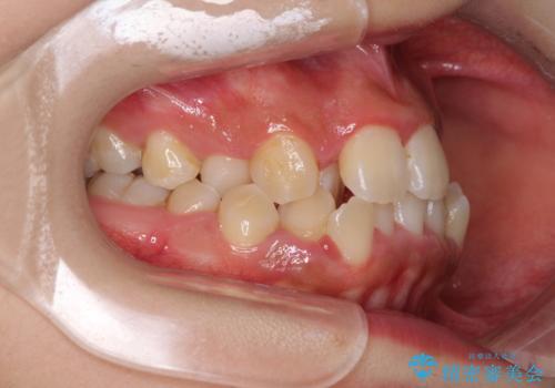
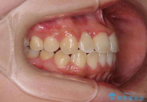
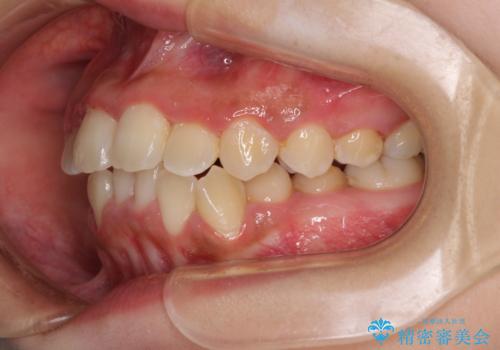
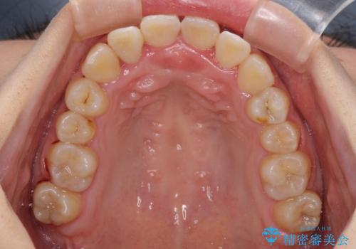
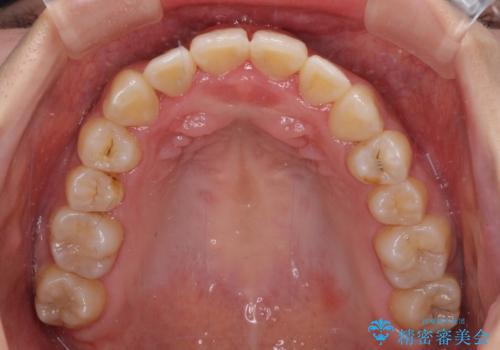
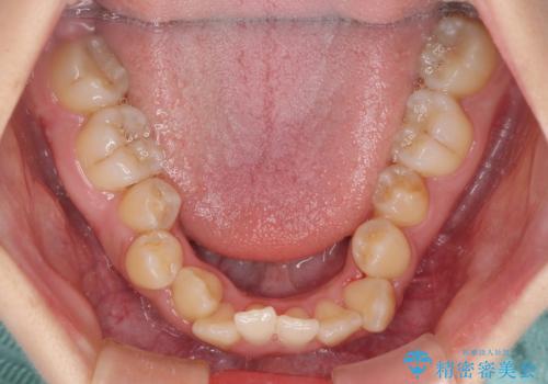
急速拡大装置による上顎骨の側方拡大が思った以上にうまくいき、非抜歯での矯正が可能となりました。
内側に倒れていた下顎の臼歯は起き上がり、清掃性も大幅に改善されました。
マウスピース矯正の注意事項(リスク・副作用など)
- 口腔内・歯並びの状態によっては対応できない場合があります
- マウスピース型矯正装置の長時間装着(1日20時間以上)が必須です
- 治療計画通りに進めるためには、患者様の意志が重要になります
- 矯正治療後の保定が不十分だと後戻り(元の位置に戻ろうとする動き)をします
- 薬機法対象外の矯正歯科装置のため医薬品副作用被害救済制度の対象外となる場合があります
- 自費診療(保険適用外)となります
当サイトの内容、テキスト、画像等の無断転載、複製、複写、盗用を固く禁じます。































