症例詳細
Case detail
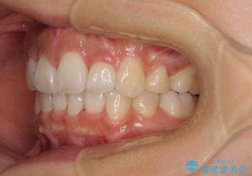
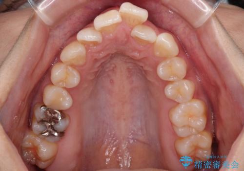
スッキリとした口元へ 出っ歯の抜歯矯正
治療症例の内容
- 診療科目
- 担当医
- 藤巻太一朗(ドクタープロフィール)
- 患者様
- 20代女性
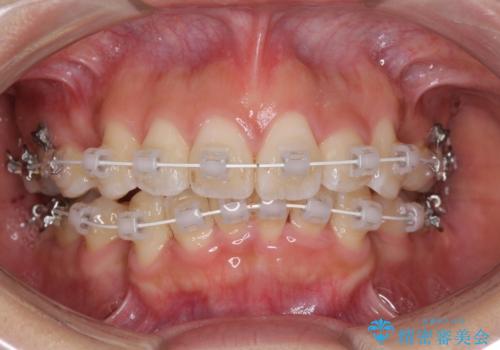
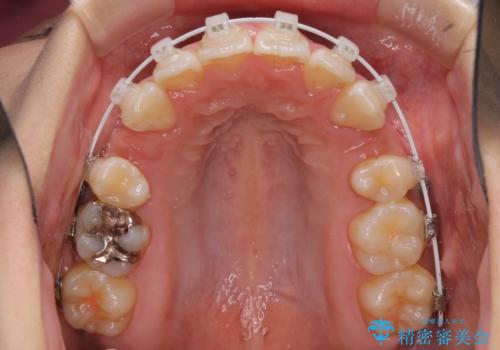
- 矯正装置
- 審美装置
- 治療期間
- 2年5ヶ月
- 治療回数
- 10-30回
- 治療計画
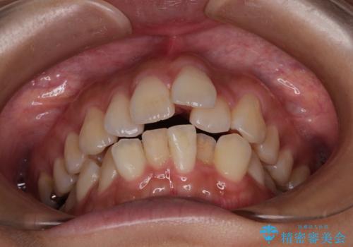
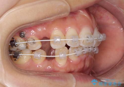
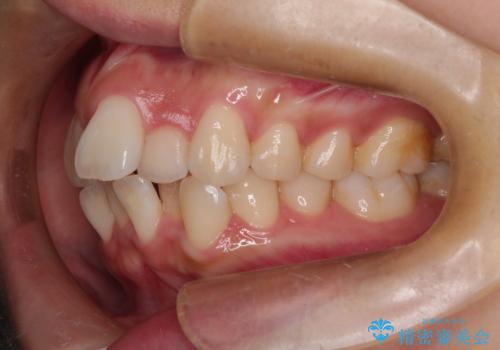
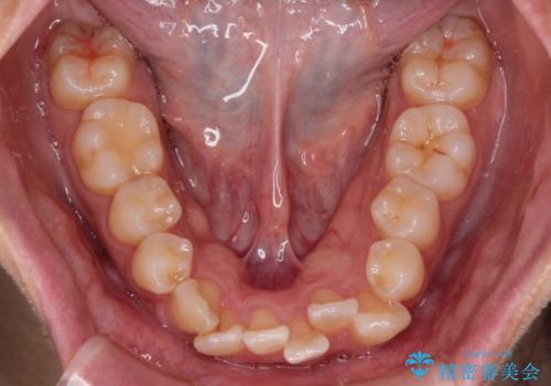
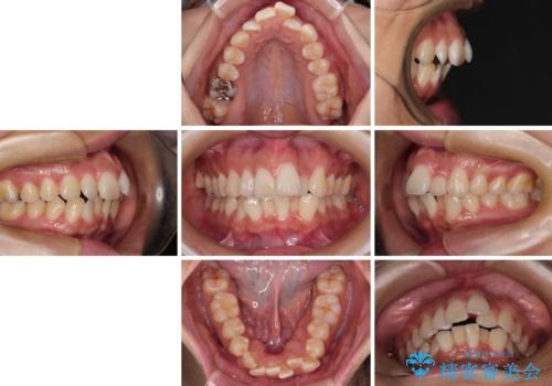
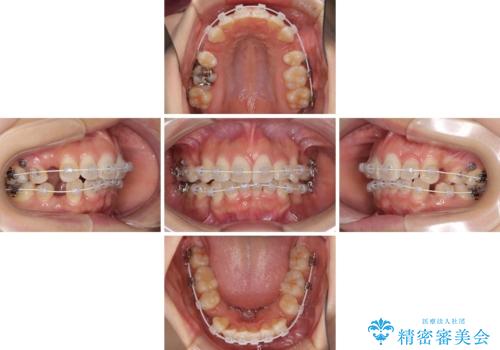
- 上下の出っ歯を気にして来院された患者様です。
口元を積極的に引っ込めるために、上下左右の第一小臼歯を4本抜歯することとしました。
- 費用(概算)
- 治療費の目安: 95万円費用は治療当時の料金となります
治療について
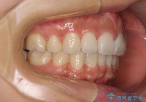
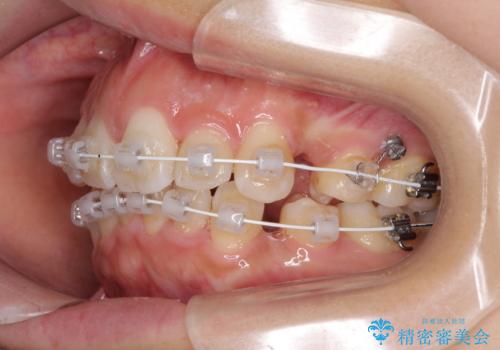
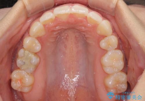
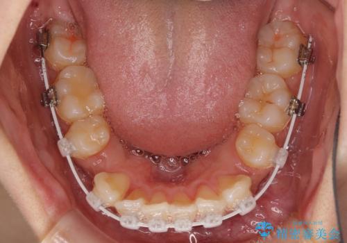
下顎の正中を上顎に合わせる処置が難航し、期間が長引きました。
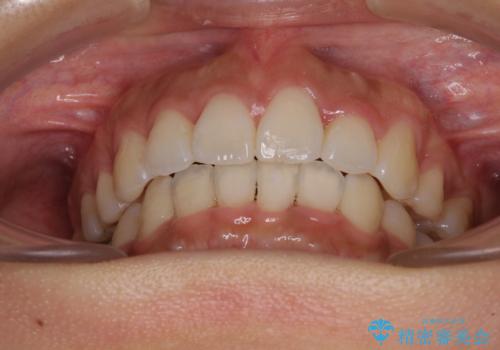
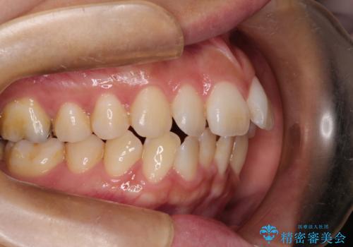
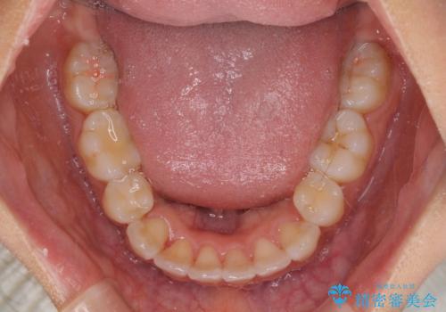
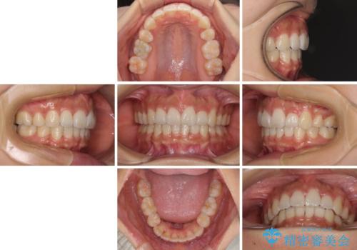
最終的には上下の正中も合い、横顔の印象が変わるほどスッキリとした口元となりました。
ワイヤー矯正の注意事項(リスク・副作用など)
- 治療中は違和感や痛みが起こることがあります
- 症状により、抜歯が必要な場合があります
- 治療中は歯磨きがしにくくなるため、虫歯や歯周病になりやすくなります
- 矯正治療後の保定が不十分だと後戻り(元の位置に戻ろうとする動き)をします
- 自費診療(保険適用外)となります
当サイトの内容、テキスト、画像等の無断転載、複製、複写、盗用を固く禁じます。




























