症例詳細
Case detail
気がついたら歯が欠けていた 奥歯のセラミック補綴
治療症例の内容
- 診療科目
- 治療カテゴリ
- 担当医
- 藤巻太一朗(ドクタープロフィール)
- 患者様
- 50代男性
- 治療期間
- 1ヶ月
- 治療回数
- 2-5回
- 治療計画
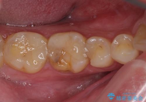
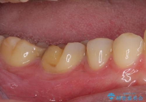
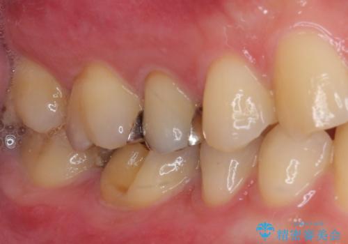
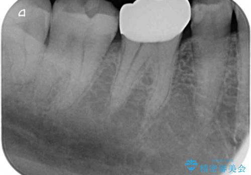
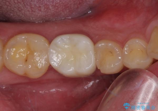
- 奥歯が欠けてしまったとのことで来院された患者様です。
おそらく歯が欠けて、装着されていた銀歯が外れてしまったと思われましたが、患者様はあまりはっきりとは覚えていないとのことでした。
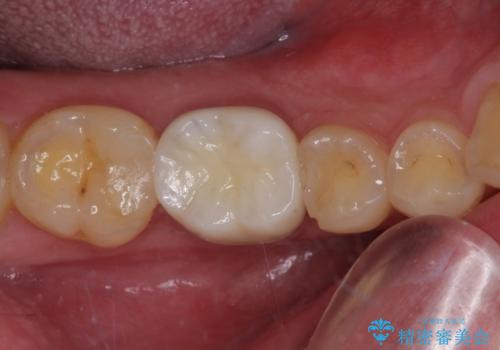
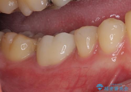
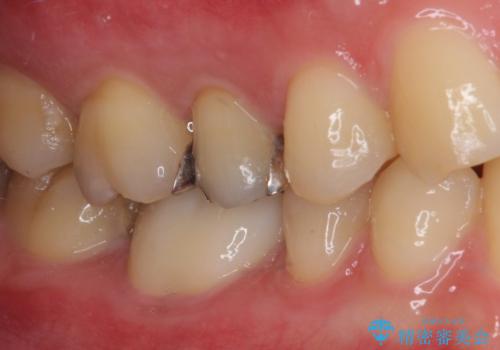
咬合力が強いため、強化セラミッククラウンでの補綴治療を行うこととしました。
- 費用(概算)
- 治療費の目安: 8万円費用は治療当時の料金となります
治療について
強化セラミッククラウンは単一素材のため、非常に高強度でありますが色調は単調なものとなり、隣在歯と調和させることは困難です。
セラミック治療の注意事項(リスク・副作用など)
- 天然歯を削ります
- 硬い素材は天然歯を傷つけてしまう場合があります
- かみ合わせや歯ぎしりが強すぎる方はセラミックが割れてしまう可能性があります
- 自費診療(保険適用外治療)となります
当サイトの内容、テキスト、画像等の無断転載、複製、複写、盗用を固く禁じます。








