症例詳細
Case detail
費用を抑えた抜歯矯正 口元の突出感の改善
治療症例の内容
- 診療科目
- 担当医
- 藤巻太一朗(ドクタープロフィール)
- 患者様
- 20代女性
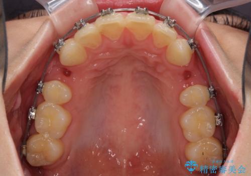
- 矯正装置
- メタルブラケット
- 治療期間
- 3年1ヶ月
- 治療回数
- 10-30回
- 治療計画
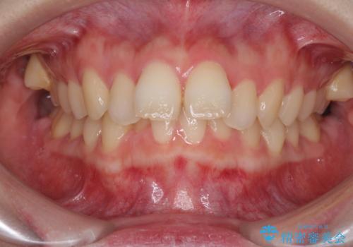
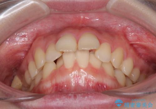
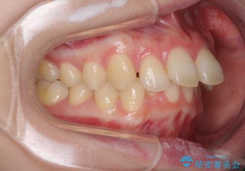
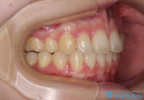
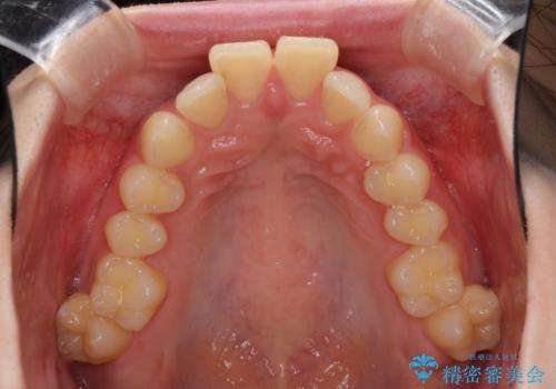
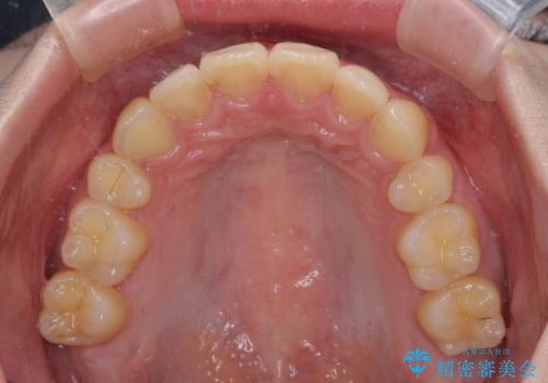
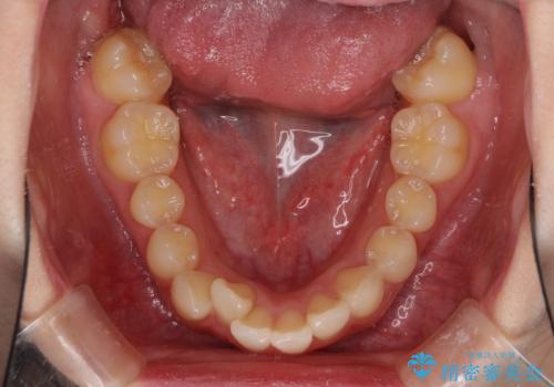
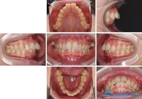
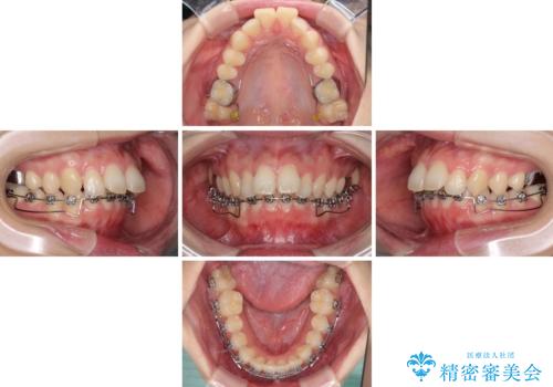
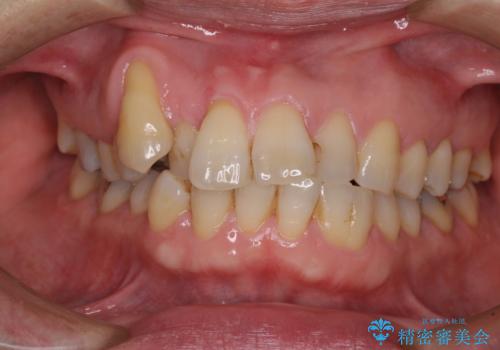
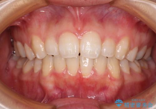
- 口元の突出感を気にして来院された患者様です。
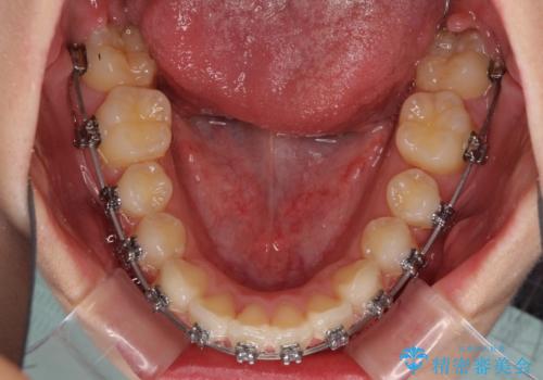
左右ともに上顎奥歯が外を向き、下顎奥歯が内側に倒れているシザーズバイトであったため、補助装置により改善することとしました。
上下の咬み合わせは、下顎に対して上顎が相対的に前方にあったため、奥歯のシザーズバイト改善後に上顎左右第一小臼歯2本を抜歯し、上顎前突を改善していくこととしました。
- 費用(概算)
- 治療費の目安: 80万円費用は治療当時の料金となります
治療について
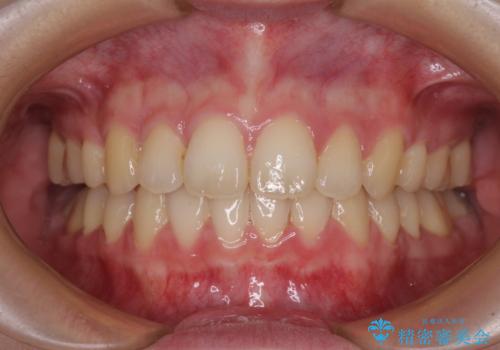
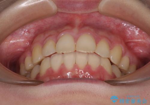
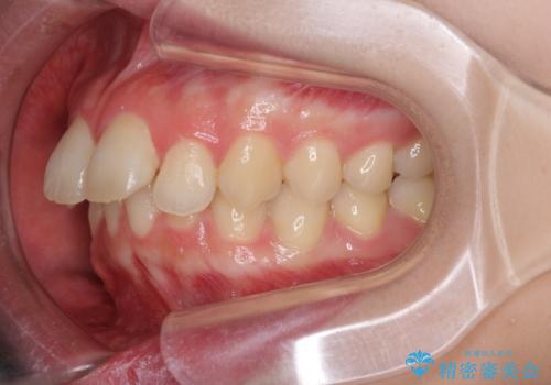
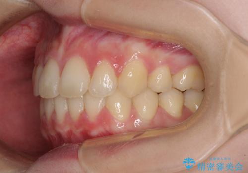
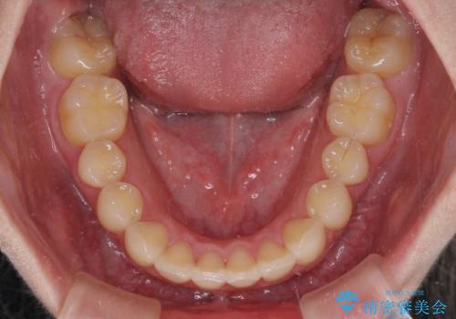
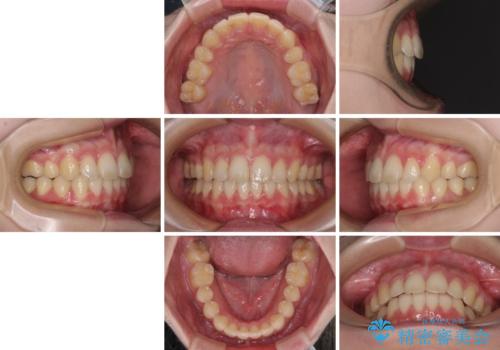
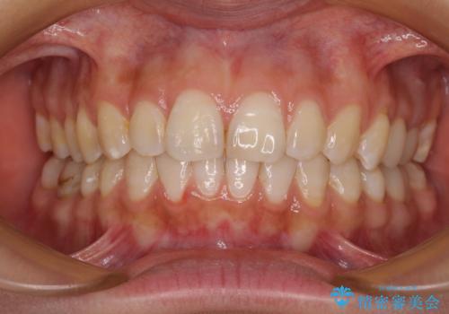
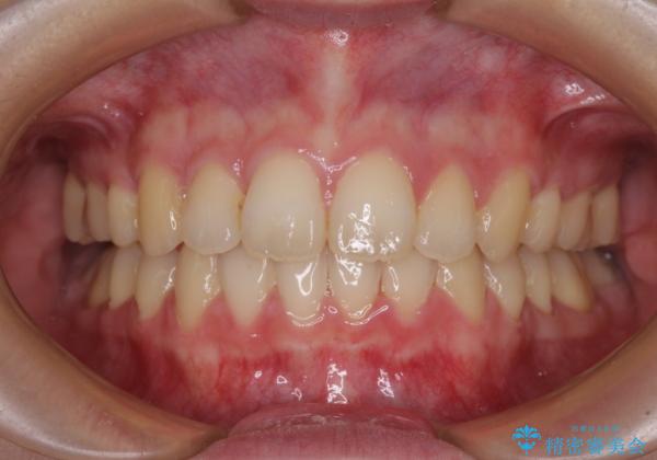
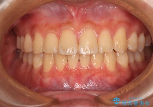
左側の咬み合わせと上下正中の位置をコントロールするために時間がかかりましたが、事前に思い描いた通りの歯列に整い、患者様には大変満足していただきました。
ワイヤー矯正の注意事項(リスク・副作用など)
- 治療中は違和感や痛みが起こることがあります
- 症状により、抜歯が必要な場合があります
- 治療中は歯磨きがしにくくなるため、虫歯や歯周病になりやすくなります
- 矯正治療後の保定が不十分だと後戻り(元の位置に戻ろうとする動き)をします
- 自費診療(保険適用外)となります
当サイトの内容、テキスト、画像等の無断転載、複製、複写、盗用を固く禁じます。





























