症例詳細
Case detail
かけて金属の見えてしまったセラミック 強化セラミックでの補綴治療
治療症例の内容
- 診療科目
- 治療カテゴリ
- 担当医
- 藤巻太一朗(ドクタープロフィール)
- 患者様
- 50代男性
- 治療期間
- 1ヶ月
- 治療回数
- 2-5回
- 治療計画
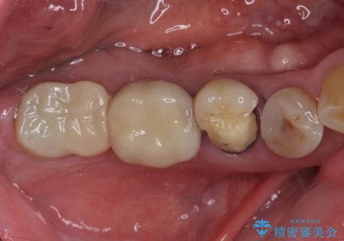
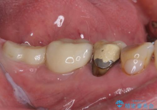
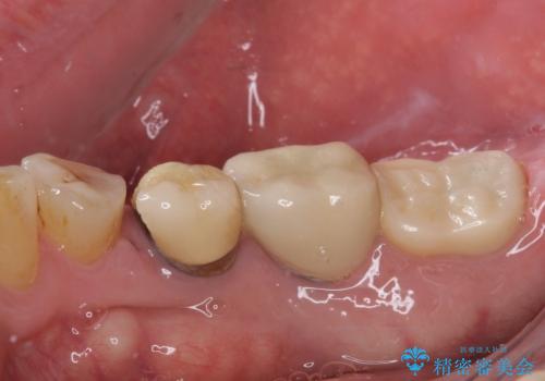
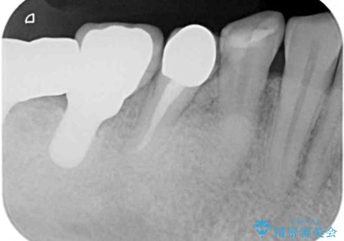
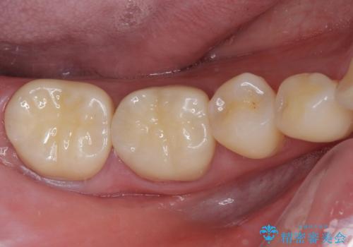
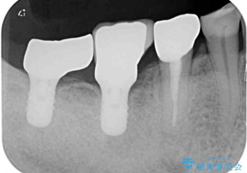
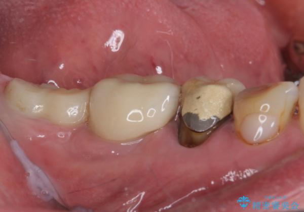
- 強い咬合力により表面のセラミックが剥がれ、裏打ちの金属が見えてしまっていることを気にして来院された患者様です。
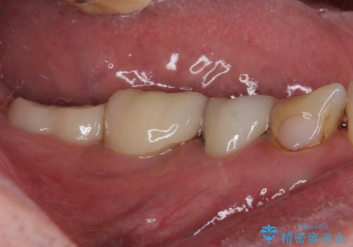
仮歯に変えた後、咬合力に耐えることを目的に強化セラミッククラウンにて補綴することとしました。
- 費用(概算)
- 治療費の目安: 8万円費用は治療当時の料金となります
治療について
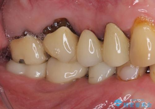
歯肉が退縮したことで見えていた歯根もセラミッククラウンで覆うことができ、清掃性も改善されました。
セラミック治療の注意事項(リスク・副作用など)
- 天然歯を削ります
- 硬い素材は天然歯を傷つけてしまう場合があります
- かみ合わせや歯ぎしりが強すぎる方はセラミックが割れてしまう可能性があります
- 自費診療(保険適用外治療)となります
当サイトの内容、テキスト、画像等の無断転載、複製、複写、盗用を固く禁じます。










