症例詳細
Case detail
虫歯治療をしたい セラミック治療
治療症例の内容
- 診療科目
- 治療カテゴリ
- 担当医
- 大元洋佑(ドクタープロフィール)
- 患者様
- 30代女性
- 治療期間
- 2ヶ月
- 治療回数
- 2-5回
- 治療計画
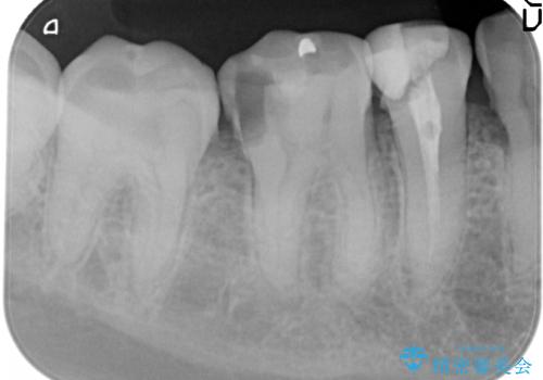
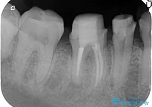
- 放置してしまった虫歯治療を希望され来院されました。
虫歯を徹底的に除去したのち、長期的に安定し審美的なジルコニアクラウンで機能回復を図ります。
- 費用(概算)
- 35万円(仮歯・ファイバーコア・ジルコニアクラウン×3)費用は治療当時の料金となります
虫歯治療について
虫歯治療を成功させる要件として、発生した虫歯の徹底的な除去と下顎的に安定した材料で精密な修復を行うことが重要です。
セラミック治療の注意事項(リスク・副作用など)
- 天然歯を削ります
- 硬い素材は天然歯を傷つけてしまう場合があります
- かみ合わせや歯ぎしりが強すぎる方はセラミックが割れてしまう可能性があります
- 自費診療(保険適用外治療)となります
当サイトの内容、テキスト、画像等の無断転載、複製、複写、盗用を固く禁じます。





