症例詳細
Case detail
八重歯を短期間で改善 ワイヤー装置による抜歯矯正
治療症例の内容
- 診療科目
- 治療カテゴリ
- 担当医
- 藤巻太一朗(ドクタープロフィール)
- 患者様
- 20代女性
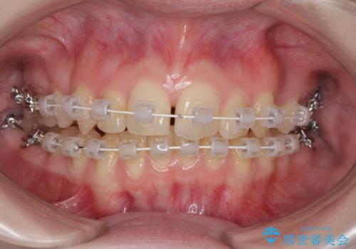
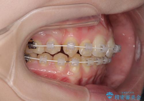
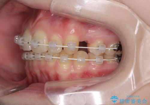
- 矯正装置
- 審美装置
- 治療期間
- 1年6ヶ月
- 治療回数
- 10-30回
- 治療計画
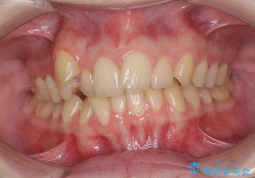
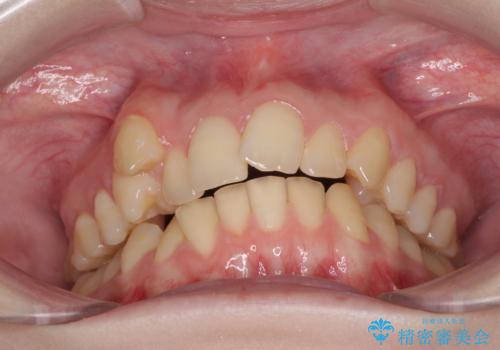
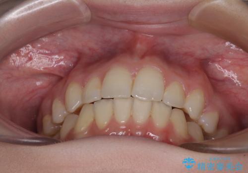
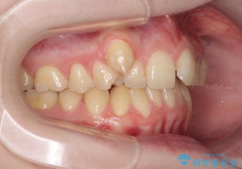
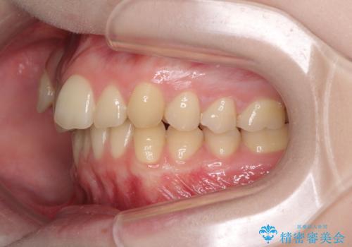
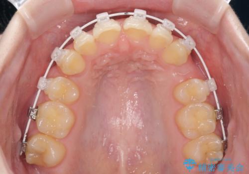
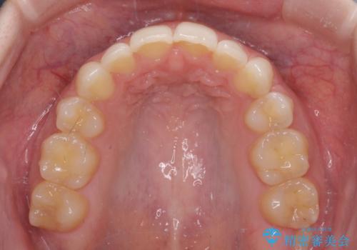
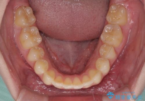
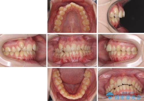
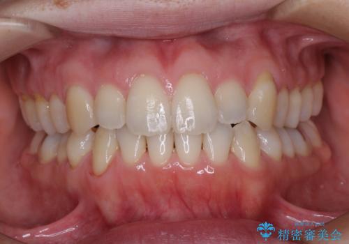
- 著しい八重歯を気にして来院された患者様です。
片側の八重歯であり上顎の正中がずれていたため、上顎左右第一小臼歯2本を抜歯して排列することとしました。
- 費用(概算)
- 治療費の目安: 90万円費用は治療当時の料金となります
治療について
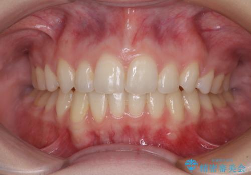
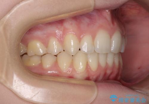
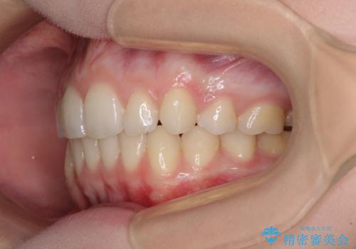
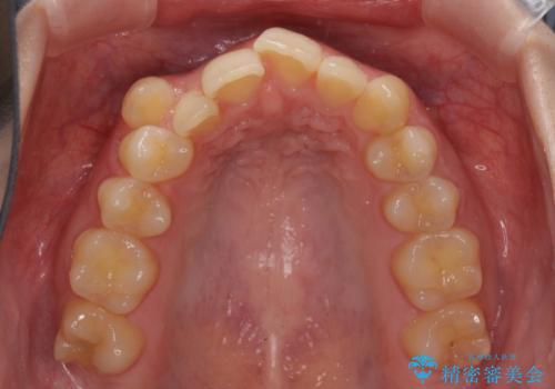
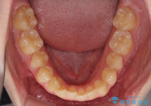
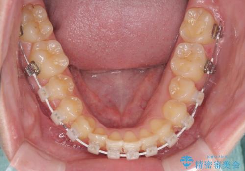
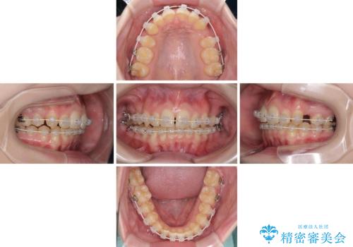
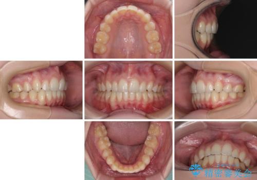
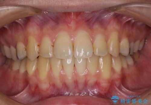
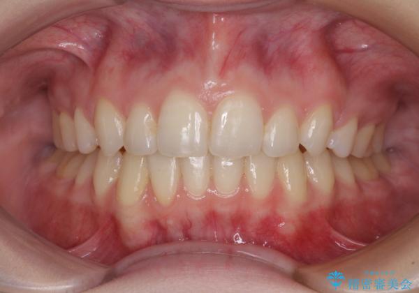
下顎の骨格的なズレが大きかったため、上下歯列のバランスが取れるか心配でしたが、上下ともに左右対称に近い歯列で治療を終えることができました。
ワイヤー矯正の注意事項(リスク・副作用など)
- 治療中は違和感や痛みが起こることがあります
- 症状により、抜歯が必要な場合があります
- 治療中は歯磨きがしにくくなるため、虫歯や歯周病になりやすくなります
- 矯正治療後の保定が不十分だと後戻り(元の位置に戻ろうとする動き)をします
- 自費診療(保険適用外)となります
当サイトの内容、テキスト、画像等の無断転載、複製、複写、盗用を固く禁じます。


























