症例詳細
Case detail
銀歯や虫歯を治したい ゴールドインレーによるむし歯治療
治療症例の内容
- 診療科目
- 担当医
- 藤巻太一朗(ドクタープロフィール)
- 患者様
- 50代男性
- 治療期間
- 2ヶ月
- 治療回数
- 2-5回
- 治療計画
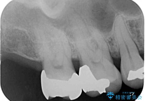
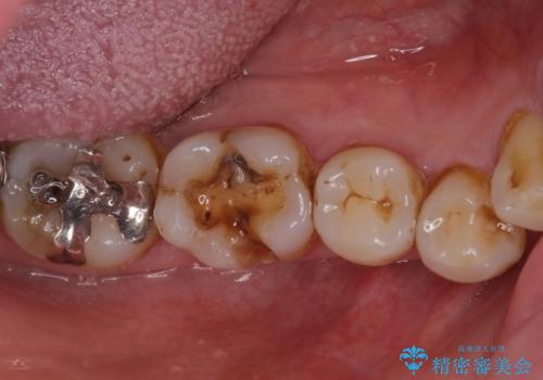
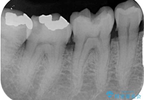
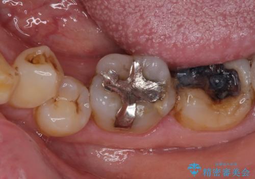
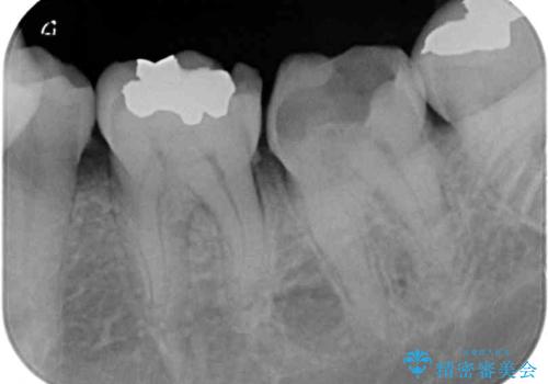
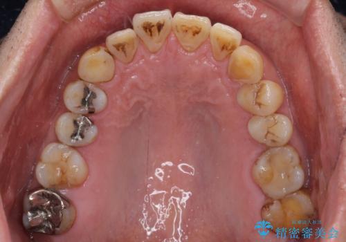
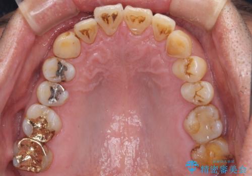
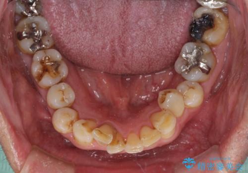
- 銀歯やインレーが外れたまま放置された奥歯の治療を希望して来院された患者様です。
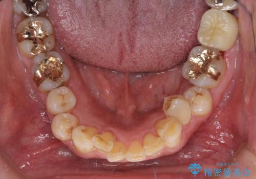
咬合力が著しく強いため、欠損の多い歯はフルジルコニアクラウンへ、その他の虫歯はゴールドインレー(PGAインレー)にて修復することとしました。
- 費用(概算)
- 治療費の目安: 43万円費用は治療当時の料金となります
治療について
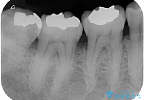
来院時は全てセラミックでの治療を希望されていましたが、歯列や咬み合わせから咬合力による破損リスクが高いと判断されたため、ゴールドインレーを選択しました。
セラミック治療の注意事項(リスク・副作用など)
- 天然歯を削ります
- 硬い素材は天然歯を傷つけてしまう場合があります
- かみ合わせや歯ぎしりが強すぎる方はセラミックが割れてしまう可能性があります
- 自費診療(保険適用外治療)となります
PGA(ゴールド)クラウン、インレーの注意事項(リスク・副作用など)
- インレーおよびクラウンは脱離するリスクがあります
- 形成量はセラミックより少ないですが、歯の形成、修復後に歯に症状が出ることがあります
- 自費診療(保険適用外治療)となります
当サイトの内容、テキスト、画像等の無断転載、複製、複写、盗用を固く禁じます。
















