症例詳細
Case detail
歯肉が腫れて出血する 奥歯の歯周病治療
治療症例の内容
- 担当医
- 藤巻太一朗(ドクタープロフィール)
- 患者様
- 50代女性
- 治療期間
- 1年1ヶ月
- 治療回数
- 2-5回
- 治療計画
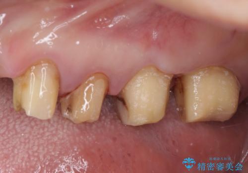
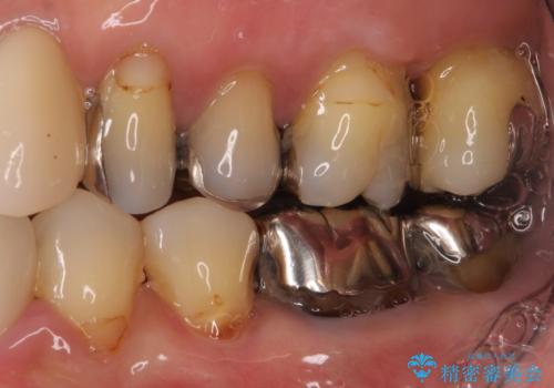
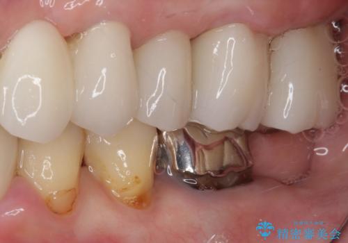
- 歯を磨く度に奥歯から出血するとのことで来院された患者様です。
歯周ポケット検査を行ったところ、6-8mmの歯周ポケットが散見され(正常では3mm以下)、歯周病治療が必要と判断されました。
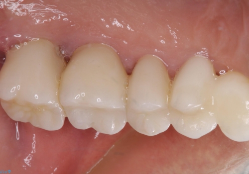
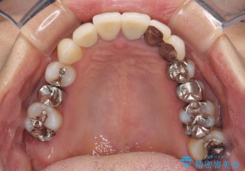
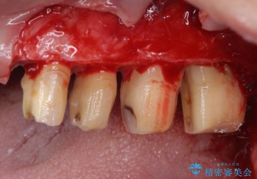
仮歯に置き替え、歯周外科処置(APF、歯肉弁根尖側移動術)による歯周ポケット除去を行った後に、オールセラミッククラウンにて補綴することとしました。
- 費用(概算)
- 治療費の目安: 70万円費用は治療当時の料金となります
治療について
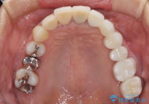
歯周外科処置により歯周ポケットを除去することができ、クラウン装着後はブラッシング時の出血や歯肉の腫れが気にならなくなりました。
セラミック治療の注意事項(リスク・副作用など)
- 天然歯を削ります
- 硬い素材は天然歯を傷つけてしまう場合があります
- かみ合わせや歯ぎしりが強すぎる方はセラミックが割れてしまう可能性があります
- 自費診療(保険適用外治療)となります
歯周病治療の注意事項(リスク・副作用など)
- 外科手術のため、術後に痛みや腫れ、違和感を伴います
- 歯周組織再生治療は患者様の状態によって術後の経過が異なります(見た目が改善しない場合もあります)
- 歯周組織再生治療は自費診療(保険適用外)となります
当サイトの内容、テキスト、画像等の無断転載、複製、複写、盗用を固く禁じます。
















