症例詳細
Case detail
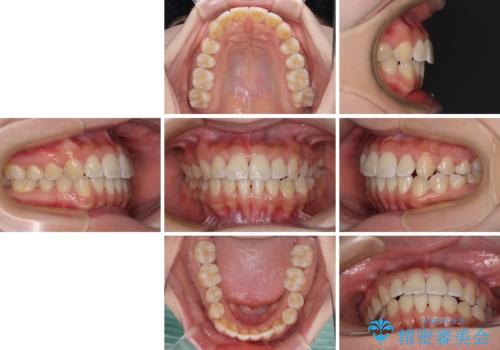
軽微な歯列不正をワイヤー矯正で整える
治療症例の内容
- 担当医
- 藤巻太一朗(ドクタープロフィール)
- 患者様
- 20代女性
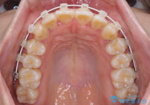
- 矯正装置
- 審美装置
- 治療期間
- 1年3ヶ月
- 治療回数
- 10-30回
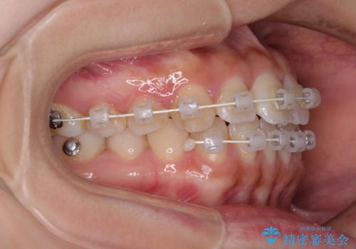
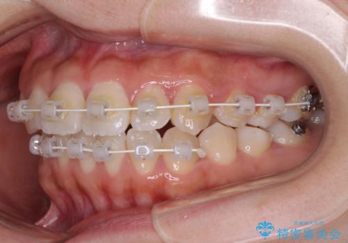
- 治療計画
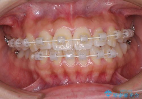
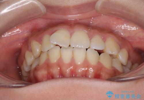
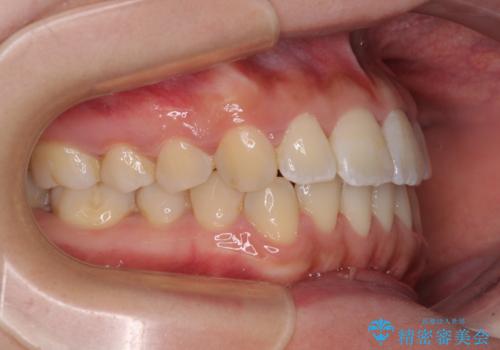
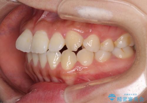
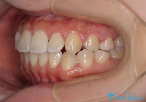
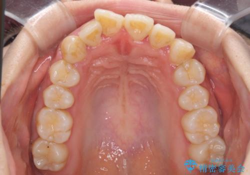
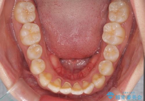
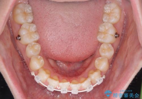
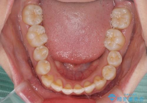
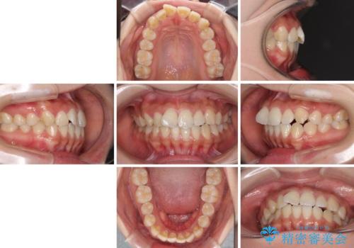
- 上顎歯列と下顎前歯の叢生を気にして来院された患者様です。
上顎からワイヤー矯正を開始し、終了間際から下顎前歯の叢生解消するよう計画しました。
- 費用(概算)
- 治療費の目安: 45万円費用は治療当時の料金となります
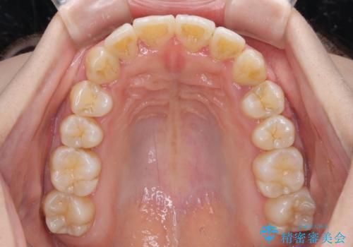
治療について
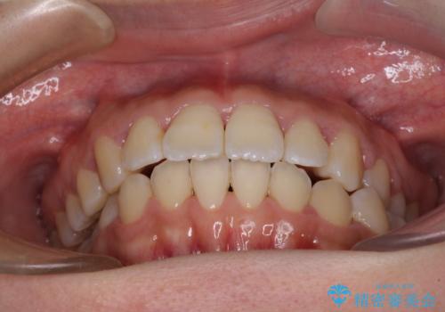
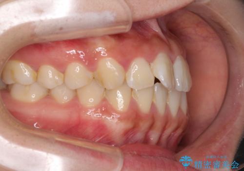
部分矯正でしたが、咬み合わせに違和感が出ることなく気になる部分を改善させることができました。
ワイヤー矯正の注意事項(リスク・副作用など)
- 治療中は違和感や痛みが起こることがあります
- 症状により、抜歯が必要な場合があります
- 治療中は歯磨きがしにくくなるため、虫歯や歯周病になりやすくなります
- 矯正治療後の保定が不十分だと後戻り(元の位置に戻ろうとする動き)をします
- 自費診療(保険適用外)となります
当サイトの内容、テキスト、画像等の無断転載、複製、複写、盗用を固く禁じます。


























