症例詳細
Case detail
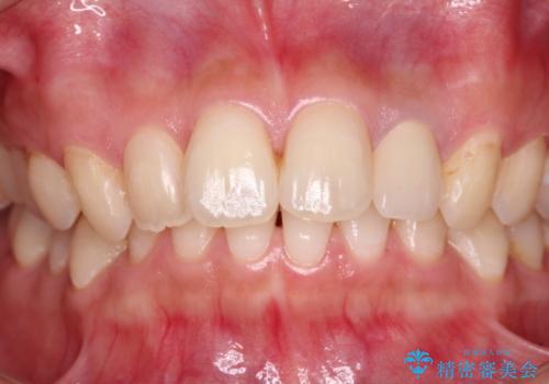
治療途中で放置した前歯 オールセラミックブリッジ
治療症例の内容
- 診療科目
- 治療カテゴリ
- 担当医
- 藤巻太一朗(ドクタープロフィール)
- 患者様
- 40代女性
- 治療期間
- 5ヶ月
- 治療回数
- 5-10回
- 治療計画
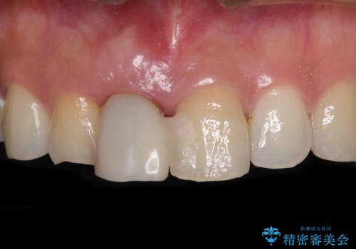
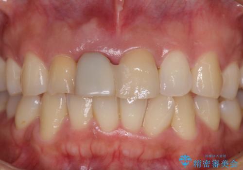
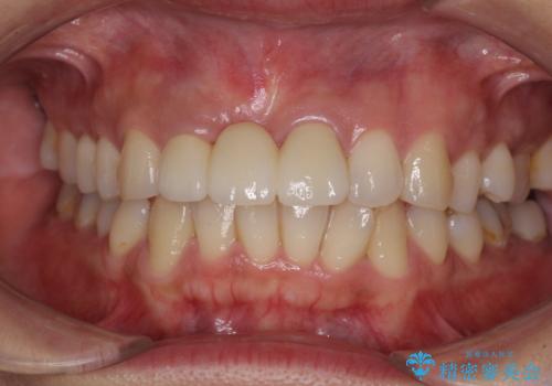
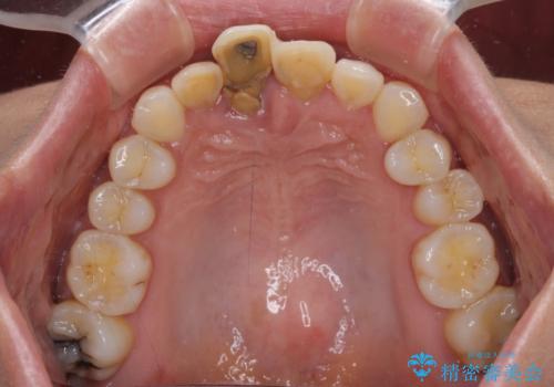
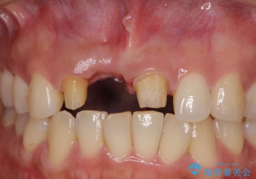
- 仮歯のまま前歯を放置しているとのことで来院された患者様です。
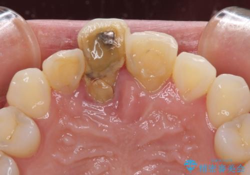
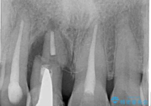
目視で確認できるほどしっかりとした破折が認められ、抜歯が必要と判断されました。
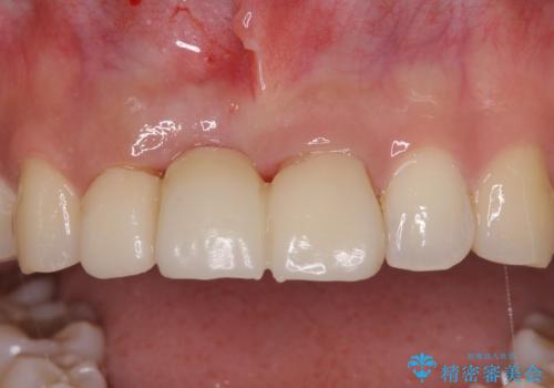
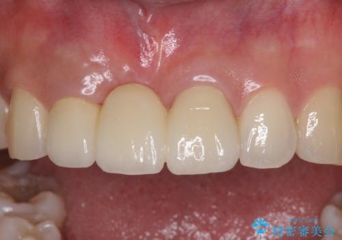
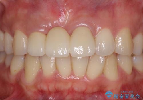
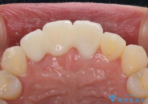
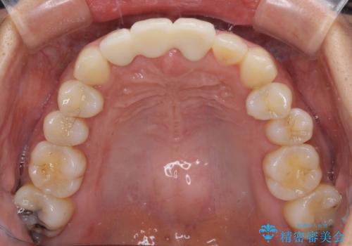
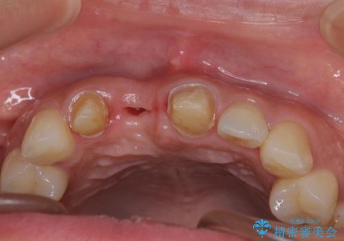
抜歯後は歯肉が痩せてしまうため、歯肉移植を行って歯肉の形態を改善した後、オールセラミックブリッジにて補綴することとしました。
- 費用(概算)
- 治療費の目安: 45万円費用は治療当時の料金となります
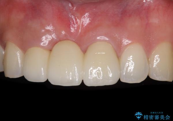
治療について
歯肉移植により歯肉ラインや歯の形態を整えることができ、ブリッジによる補綴としたことで舞えば全体の色調を整えることができました。
セラミック治療の注意事項(リスク・副作用など)
- 天然歯を削ります
- 硬い素材は天然歯を傷つけてしまう場合があります
- かみ合わせや歯ぎしりが強すぎる方はセラミックが割れてしまう可能性があります
- 自費診療(保険適用外治療)となります
歯周病治療の注意事項(リスク・副作用など)
- 外科手術のため、術後に痛みや腫れ、違和感を伴います
- 歯周組織再生治療は患者様の状態によって術後の経過が異なります(見た目が改善しない場合もあります)
- 歯周組織再生治療は自費診療(保険適用外)となります
当サイトの内容、テキスト、画像等の無断転載、複製、複写、盗用を固く禁じます。





















