症例詳細
Case detail
口元の突出感を改善 インビザラインによる非抜歯矯正
治療症例の内容
- 診療科目
- 担当医
- 藤巻太一朗(ドクタープロフィール)
- 患者様
- 30代女性
- 矯正装置
- インビザライン
- 治療期間
- 2年6ヶ月
- 治療回数
- 10-30回
- 治療計画
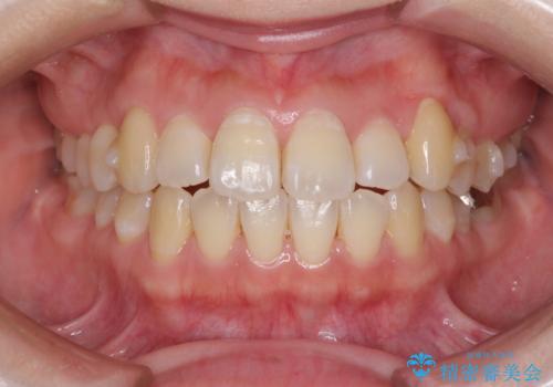
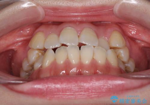
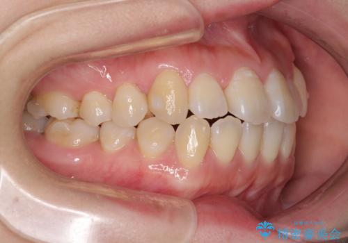
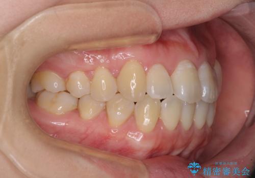
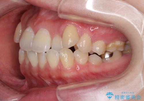
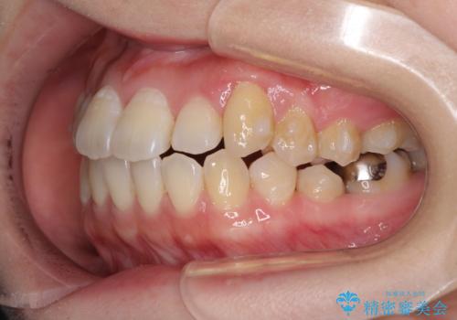
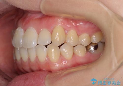
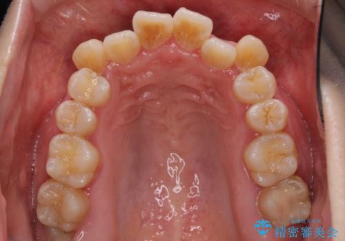
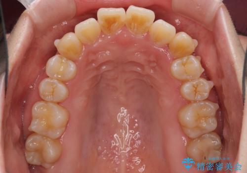
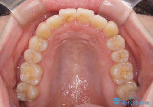
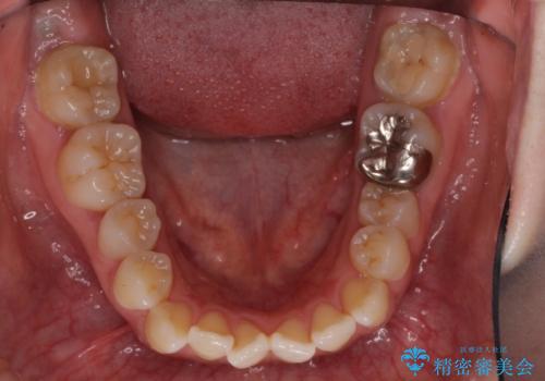
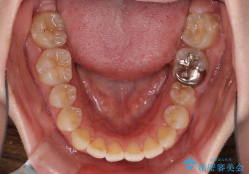
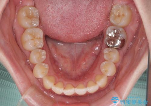
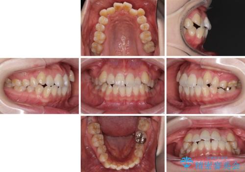
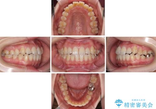
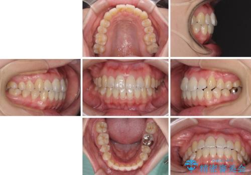
- 前歯がデコボコした上に口元が閉じにくいことを気にして来院された患者様です。
IPR(歯と歯の間を削る)と側方拡大では口の閉じにくさは改善できそうになく、一方で抜歯矯正を行うほどの突出感は認められませんでした。
親知らずを全て抜去し、歯列全体を後方に移動させることで口元の閉じにくさいを改善していくこととしました。
- 費用(概算)
- 治療費の目安: 85万円費用は治療当時の料金となります
治療について
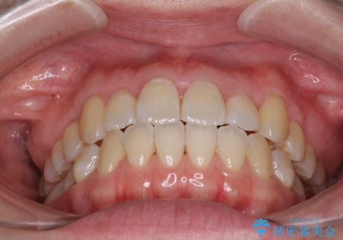
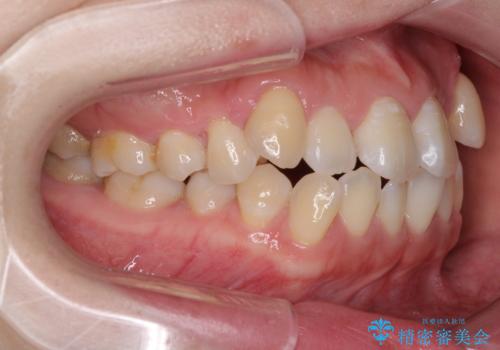
インビザラインでの歯列全体の後方移動は時間がかかりますが、しっかりと装着時間を守っていただいたので、スッキリとした口元に仕上げることができました。
マウスピース矯正の注意事項(リスク・副作用など)
- 口腔内・歯並びの状態によっては対応できない場合があります
- マウスピース型矯正装置の長時間装着(1日20時間以上)が必須です
- 治療計画通りに進めるためには、患者様の意志が重要になります
- 矯正治療後の保定が不十分だと後戻り(元の位置に戻ろうとする動き)をします
- 薬機法対象外の矯正歯科装置のため医薬品副作用被害救済制度の対象外となる場合があります
- 自費診療(保険適用外)となります
当サイトの内容、テキスト、画像等の無断転載、複製、複写、盗用を固く禁じます。




























