症例詳細
Case detail
欠けてしまった奥歯 セラミッククラウンによる補綴治療
治療症例の内容
- 診療科目
- 治療カテゴリ
- 担当医
- 藤巻太一朗(ドクタープロフィール)
- 患者様
- 50代女性
- 治療期間
- 1ヶ月
- 治療回数
- 2-5回
- 治療計画
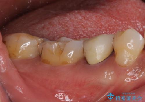
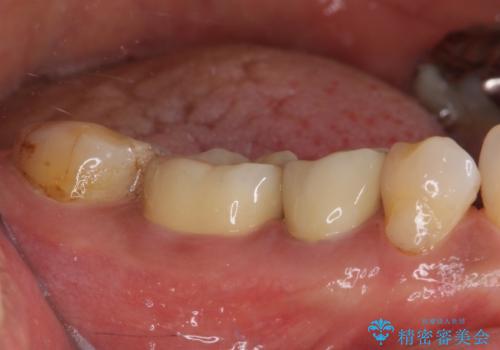
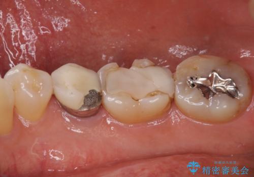
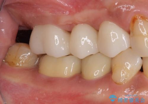
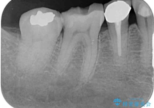
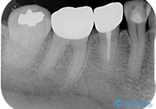
- セラミックが剥がれたり、歯質が欠けたりした奥歯を気にして来院された患者様です。
咬合力が強い方であったため、2歯をフルジルコニアクラウンにて補綴することとしました。
- 費用(概算)
- 治療費の目安: 18万円費用は治療当時の料金となります
治療について
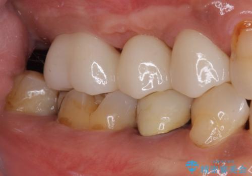
高強度のジルコニアクラウンとしたことで、強い咬合力でも壊れず、審美性を維持しやすい治療を行うことができました。
セラミック治療の注意事項(リスク・副作用など)
- 天然歯を削ります
- 硬い素材は天然歯を傷つけてしまう場合があります
- かみ合わせや歯ぎしりが強すぎる方はセラミックが割れてしまう可能性があります
- 自費診療(保険適用外治療)となります
当サイトの内容、テキスト、画像等の無断転載、複製、複写、盗用を固く禁じます。










