症例詳細
Case detail
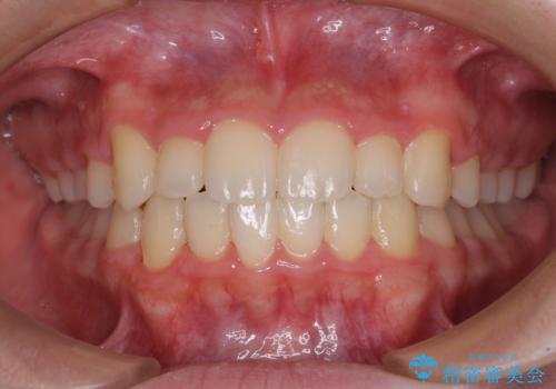
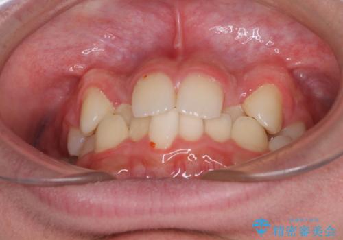
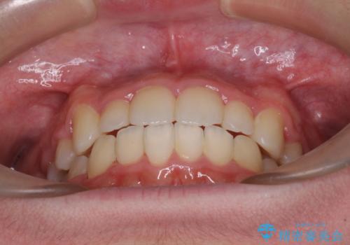
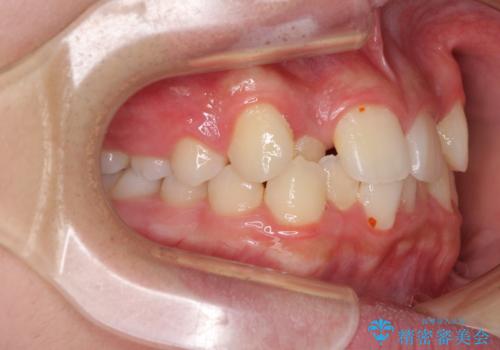
中学生のワイヤー矯正 クロスバイトを短期間で改善
治療症例の内容
- 診療科目
- 担当医
- 藤巻太一朗(ドクタープロフィール)
- 患者様
- 10代男性
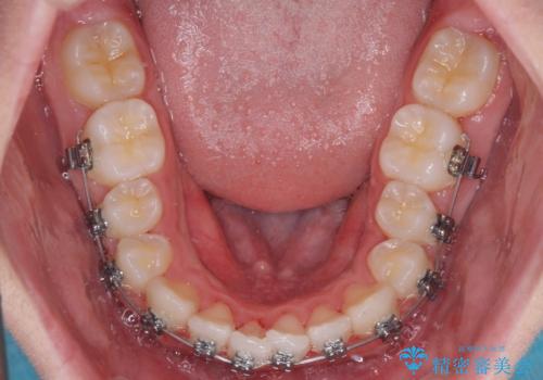
- 矯正装置
- メタルブラケット
- 治療期間
- 11ヶ月
- 治療回数
- 10-30回
- 治療計画
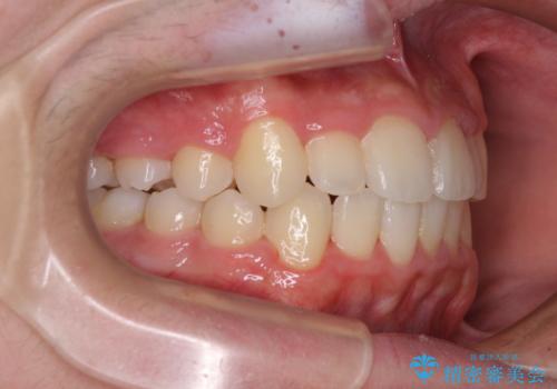
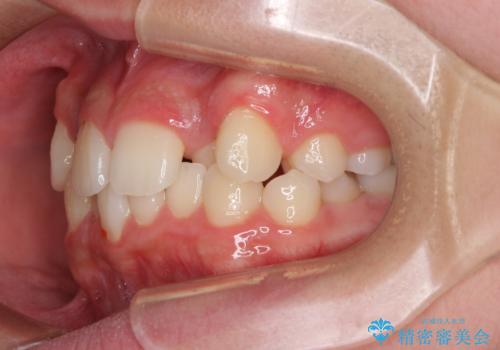
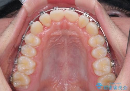
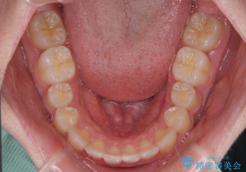
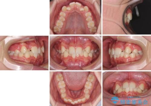
- 前歯のクロスバイトを気にして来院された患者様です。
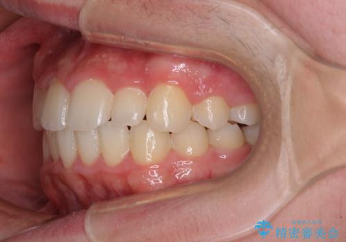
中学生であることから、治療期間を短縮できると判断し、ワイヤー矯正にて短期間で治療を行うこととしました。
- 費用(概算)
- 治療費の目安: 70万円費用は治療当時の料金となります
治療について
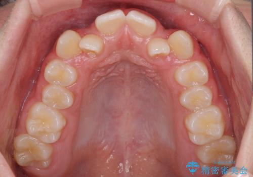
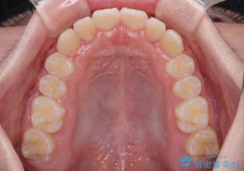
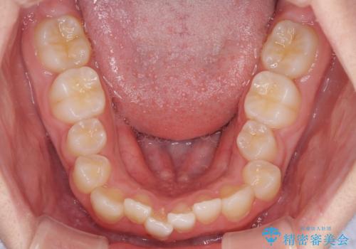
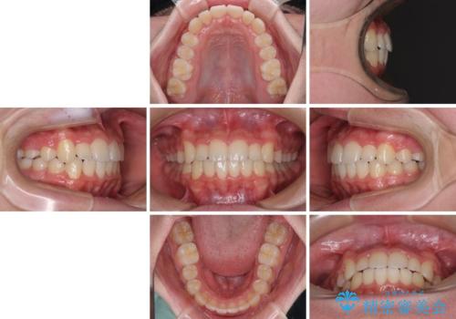
叢生のため磨き残しの多い歯列でしたが、1年弱で治療を終了でき、磨き残しや歯肉の腫れが著しく改善されました。
ワイヤー矯正の注意事項(リスク・副作用など)
- 治療中は違和感や痛みが起こることがあります
- 症状により、抜歯が必要な場合があります
- 治療中は歯磨きがしにくくなるため、虫歯や歯周病になりやすくなります
- 矯正治療後の保定が不十分だと後戻り(元の位置に戻ろうとする動き)をします
- 自費診療(保険適用外)となります
当サイトの内容、テキスト、画像等の無断転載、複製、複写、盗用を固く禁じます。


























