症例詳細
Case detail
外れてしまった銀歯の詰め物 オールセラミックブリッジにて審美補綴
治療症例の内容
- 診療科目
- 治療カテゴリ
- 担当医
- 藤巻太一朗(ドクタープロフィール)
- 患者様
- 30代男性
- 治療期間
- 1ヶ月
- 治療回数
- 2-5回
- 治療計画
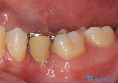
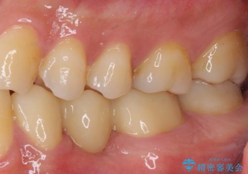
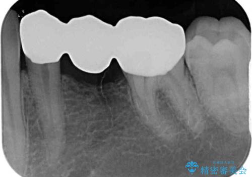
- 奥歯の銀歯が頻繁に外れるとのことで来院された患者様です。
欠損部分をインレーによるブリッジで治療してありましたが、外れやすく虫歯リスクが高いため、オールセラミックブリッジにて補綴することとしました。
- 費用(概算)
- 治療費の目安: 32万円費用は治療当時の料金となります
治療について
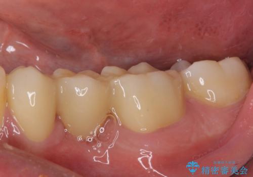
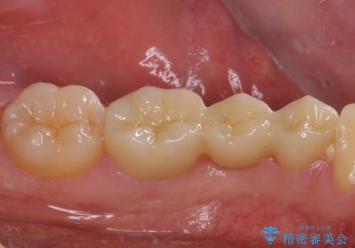
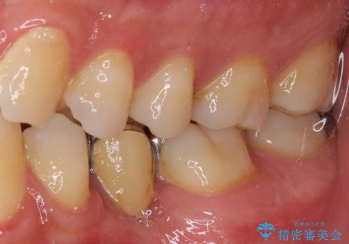
オールセラミックブリッジとしたことで、審美的かつ外れにくい補綴治療を行うことができました。
セラミック治療の注意事項(リスク・副作用など)
- 天然歯を削ります
- 硬い素材は天然歯を傷つけてしまう場合があります
- かみ合わせや歯ぎしりが強すぎる方はセラミックが割れてしまう可能性があります
- 自費診療(保険適用外治療)となります
当サイトの内容、テキスト、画像等の無断転載、複製、複写、盗用を固く禁じます。










