症例詳細
Case detail
上顎の狭窄歯列 インビザラインによる拡大矯正
治療症例の内容
- 担当医
- 藤巻太一朗(ドクタープロフィール)
- 患者様
- 40代男性
- 矯正装置
- インビザライン
- 治療期間
- 2年4ヶ月
- 治療回数
- 10-30回
- 治療計画
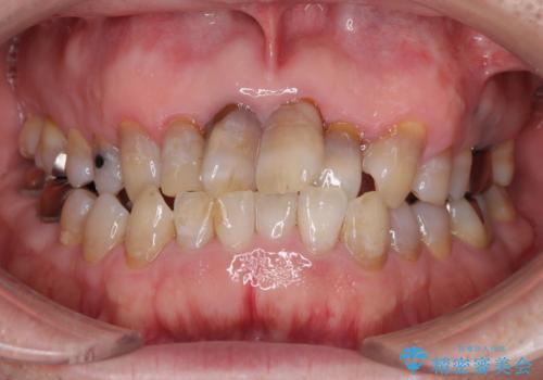
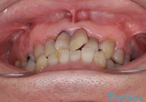
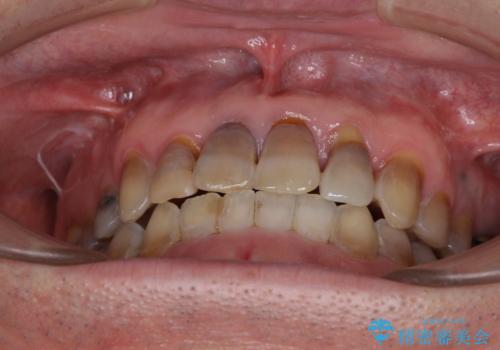
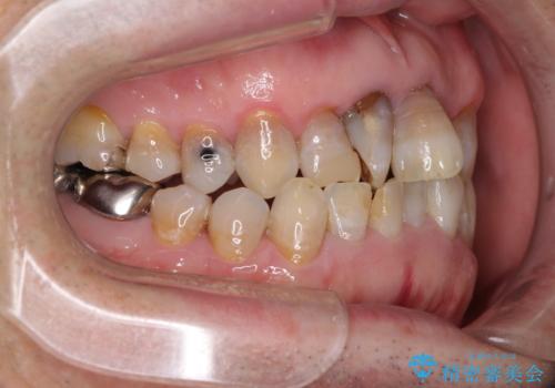
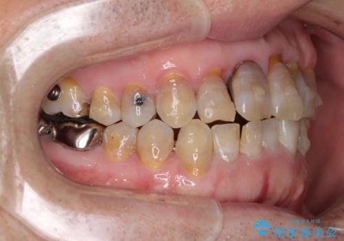
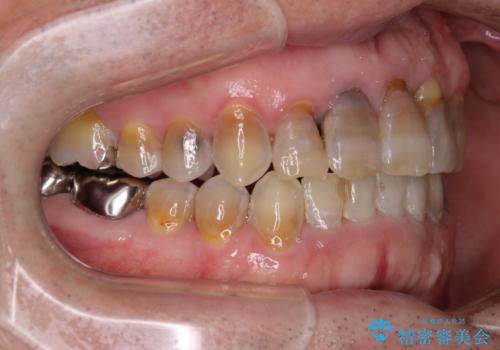
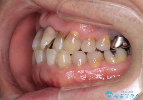
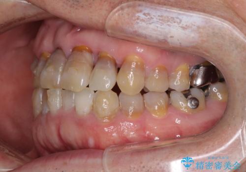
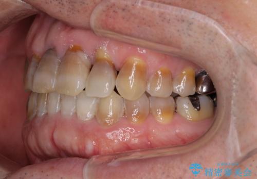
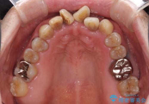
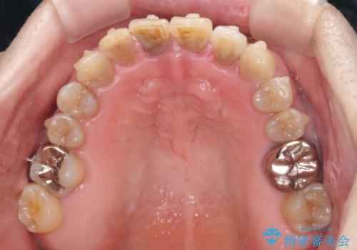
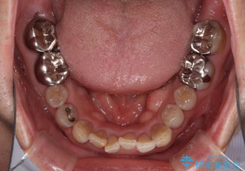
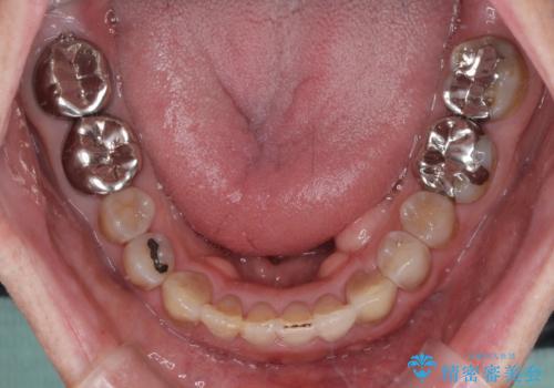
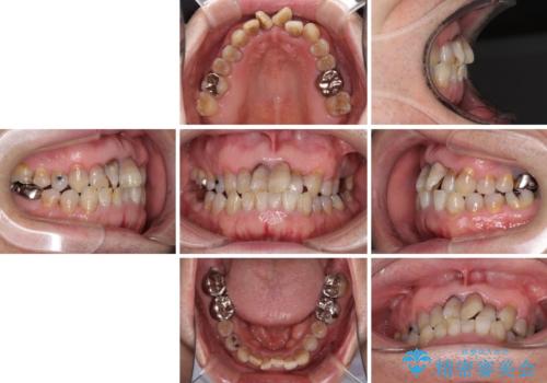
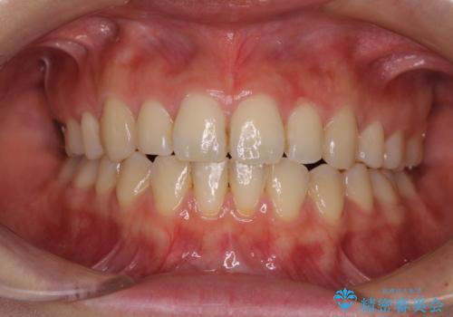
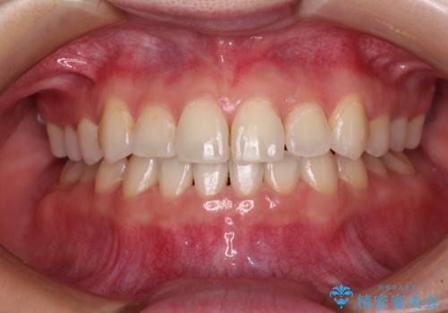
- 前歯の叢生と臼歯のクロスバイトを気にして来院された患者様です。
急速拡大装置による上顎の側方拡大を行い、その後はインビザラインより歯列を改善することとしました。
- 費用(概算)
- 治療費の目安: 85万円費用は治療当時の料金となります
治療について
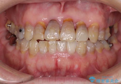
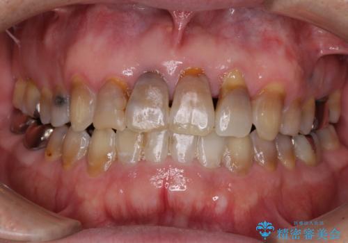
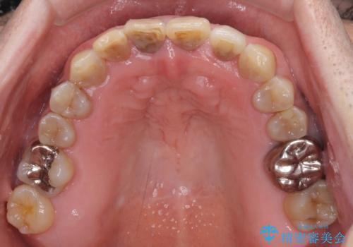
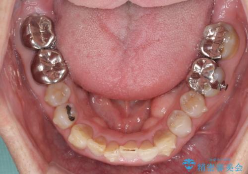
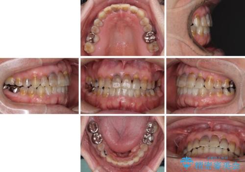
20代後半以降の男性は上顎骨の側方拡大処置の成功率が低く、今回も骨を拡大することができませんでした。
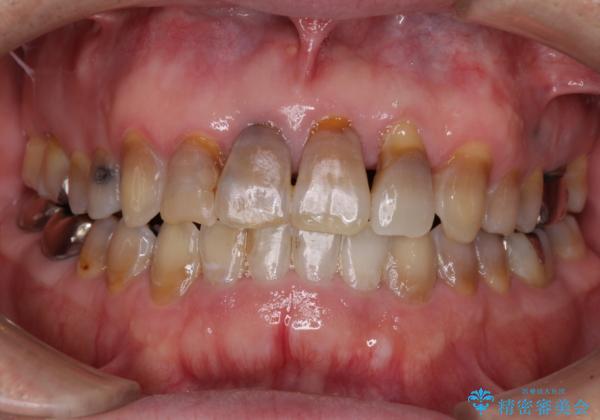
しかしながら、歯列を側方に拡大することができ、その後はインビザラインにて叢生を解消することができました。
マウスピース矯正の注意事項(リスク・副作用など)
- 口腔内・歯並びの状態によっては対応できない場合があります
- マウスピース型矯正装置の長時間装着(1日20時間以上)が必須です
- 治療計画通りに進めるためには、患者様の意志が重要になります
- 矯正治療後の保定が不十分だと後戻り(元の位置に戻ろうとする動き)をします
- 薬機法対象外の矯正歯科装置のため医薬品副作用被害救済制度の対象外となる場合があります
- 自費診療(保険適用外)となります
当サイトの内容、テキスト、画像等の無断転載、複製、複写、盗用を固く禁じます。



























