症例詳細
Case detail
【モニター】幅の狭い上顎歯列 骨幅を拡大する矯正治療
治療症例の内容
- 診療科目
- 担当医
- 藤巻太一朗(ドクタープロフィール)
- 患者様
- 20代女性
- 矯正装置
- 審美装置
- 治療期間
- 8ヶ月
- 治療回数
- 5-10回
- 治療計画
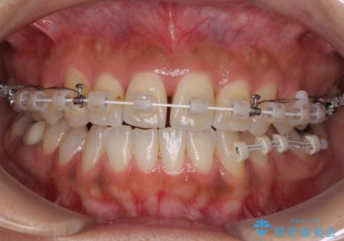
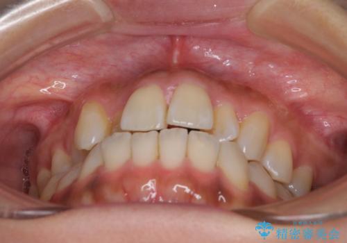
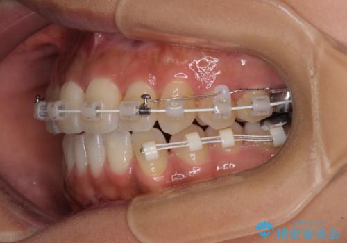
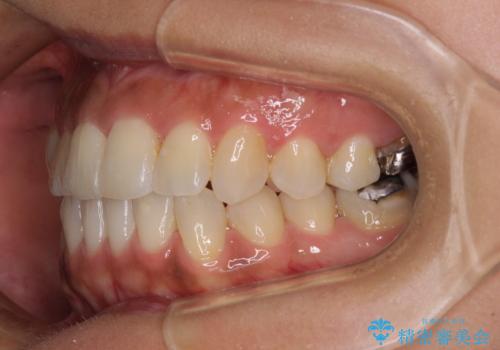
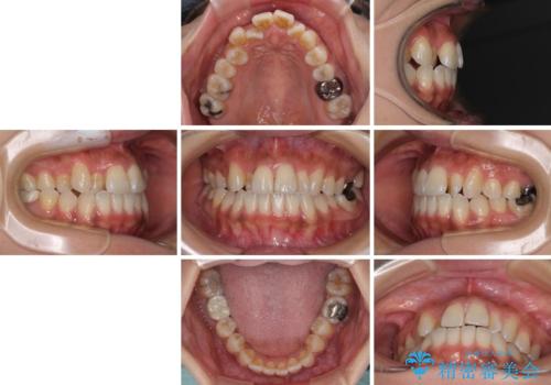
- 上の歯の歯並びを気にして来院された患者様です。
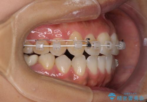
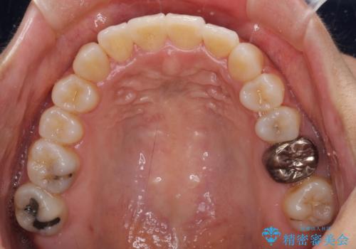
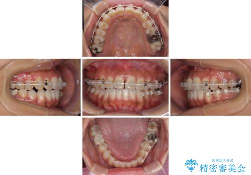
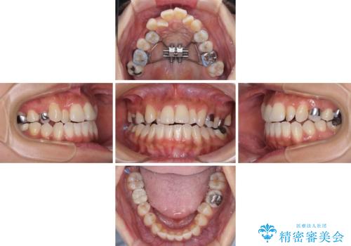
上顎骨の横幅が狭く、歯列が混み合っていたため、急速拡大装置により側方拡大し、咬み合わせと歯列を改善することとしました。
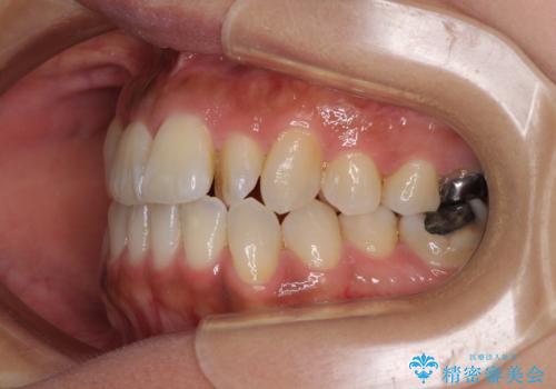
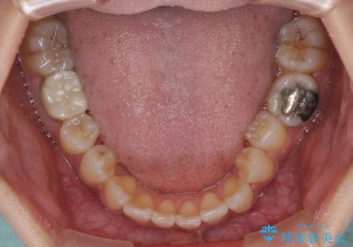
下顎は部分的に咬み合わせに問題があったため、部分的な装置を付けることとしました。
- 費用(概算)
- 治療費の目安: 50万円費用は治療当時の料金となります
※顔写真掲載にあたり、患者様の了解を得ております
治療について
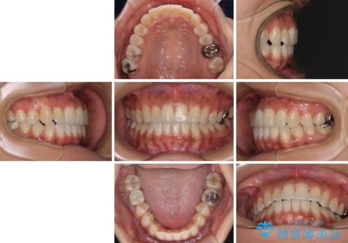
骨格的な問題を解決したことで、下顎は部分矯正で対応することができました。
ワイヤー矯正の注意事項(リスク・副作用など)
- 治療中は違和感や痛みが起こることがあります
- 症状により、抜歯が必要な場合があります
- 治療中は歯磨きがしにくくなるため、虫歯や歯周病になりやすくなります
- 矯正治療後の保定が不十分だと後戻り(元の位置に戻ろうとする動き)をします
- 自費診療(保険適用外)となります
当サイトの内容、テキスト、画像等の無断転載、複製、複写、盗用を固く禁じます。



























